Neurological disorders associated with glutamic acid decarboxylase (GAD) antibodies: clinical characteristics and short-term outcomes in a Russian cohort patients
- Authors: Chekanova E.О.1, Nuzhnyi E.P.1, Fedotova E.Y.1, Shalimanova E.V.1, Golovneva E.A.1, Zakharova M.N.1
-
Affiliations:
- Research Center of Neurology
- Issue: Vol 80, No 1 (2025)
- Pages: 11-26
- Section: NEUROLOGY AND NEUROSURGERY: CURRENT ISSUES
- Published: 17.05.2025
- URL: https://vestnikramn.spr-journal.ru/jour/article/view/18025
- DOI: https://doi.org/10.15690/vramn18025
- ID: 18025
Cite item
Full Text
Abstract
Background. Glutamate decarboxylase (GAD) antibody-spectrum diseases (GAD-ASD) are a group of relatively rare immune-mediated neurological disorders that most commonly present by such syndromes as cerebellar ataxia (СA), stiff person syndrome (SPS), limbic encephalitis (LE), epilepsy (E) and variants of their combination (overlap syndromes). The domestic literature contains descriptions of individual cases of GAD-ASD; cohort studies of GAD-ASD have not been conducted in Russia previously. Aims — to analyze clinical features and short-term outcomes in different phenotypes of GAD-ASD in a one-center cohort of Russian patients. Methods. The study was conducted between 2018 and 2024 at Research Center of Neurology (Moscow, Russia). The object of the study were 40 patients with a verified diagnosis of GAD-ASD. An assessment of the clinical picture, the results of blood and cerebrospinal fluid (CSF) laboratory tests, MRI and neurophysiological studies were carried out, the data of treatment and patient’s follow-up were analyzed. Results. Most patients were female (85%). The median age at symptom onset was 54 years (range: 18–74 years), the duration of the disease was 40.5 months (range: 1 month — 14 years). The diseases phenotypes were typical for GAD-ASD: SPS (42.5%), MA (30%), LE/E (15%), overlap syndrome (12.5%). GAD antibodies were detected in 100% of the blood and CSF samples examined. 1 case (SPS) corresponded to a “probable” paraneoplastic syndrome; 3 cases (LE, SPS, MA+E) were associated with COVID-19. 62.5% of patients had another concomitant autoimmune disease. Inflammatory changes in the CSF were rare: increased protein — 3.4%, oligoclonal bands — 10%. On brain MRI, focal changes were observed in 5%, signs of atrophy — in 20%. Immunotherapy was performed in 80% patients, in 80% of them — long-term immunosuppression. Treatment response was observed in 92.1% and didn’t differ among GAD-ASD phenotypes. 65.8% of patients achieved improvement with a decrease in disability, 1 patient (2.6%) achieved complete recovery. Conclusions. In Russia, a cohort of patients with GAD-ASD has been characterized for the first time. In Russian patients, disease phenotypes were typical for GAD-autoimmunity, the most common of which was SPS. Most patients respond to immunotherapy, but recoveries are rare, indicating a chronic course of GAD-ASD.
Full Text
Обоснование
Глутаматдекарбоксилаза (GAD) — внутриклеточный фермент, функция которого заключается в декарбоксилировании глутамата до гамма-аминомасляной кислоты (ГАМК), основного ингибиторного нейромедиатора центральной нервной системы [1]. GAD экспрессируется в нейронах и бета-клетках поджелудочной железы, в меньшей степени — в печени, почках, щитовидной железе, надпочечниках и половых железах [1]. Аутоантитела к GAD (АТ-GAD), связываясь с различными эпитопами GAD в центральной нервной системе, препятствуют синтезу ГАМК и нарушают функционирование тормозных ГАМКергических путей, что приводит к повышенной возбудимости нейронов и их повреждению [2].
Первоначально АТ-GAD идентифицированы у пациентов с сахарным диабетом (СД) 1 типа и синдромом ригидного человека (СРЧ) [1, 3]. В дальнейшем АТ-GAD были обнаружены при широком спектре неврологических синдромов, которые в настоящее время объединяют термином «заболевания, ассоциированные с АТ-GAD» (GAD-АЗ): расстройства спектра СРЧ, мозжечковая атаксия (МА), лимбический (ЛЭ) и экстралимбический энцефалит, эпилепсия (Э), изолированный нистагм и/или глазодвигательные нарушения, миоклонус мягкого нёба, а также различные варианты их сочетания — перекрестные синдромы [2, 4]. Общепринятые диагностические критерии GAD-АЗ на сегодняшний день не разработаны, диагноз устанавливается на основании клинической картины заболевания и положительного результата анализа GAD-АТ в крови и цереброспинальной жидкости (ЦСЖ). Как правило, у пациентов с GAD-АЗ наблюдаются высокие титры АТ-GAD как в крови, так и в ЦСЖ. В свою очередь, у больных СД 1 типа АТ-GAD в ЦСЖ не выявляются, а сывороточные титры АТ-GAD на порядки ниже, чем при GAD-АЗ [5].
В отечественной литературе представлены описания отдельных клинических наблюдений GAD-АЗ [6, 7], когортных исследований GAD-АЗ в России ранее не проводилось.
Цель исследования — анализ клинических характеристик и краткосрочных исходов заболевания у российских пациентов с различными фенотипами GAD-АЗ.
Методы
Дизайн исследования
Основную группу исследования составили 40 пациентов с верифицированным диагнозом GAD-АЗ. Проанализированы их демографические характеристики, этио-логия заболевания, результаты определения АТ-GAD в крови и ЦСЖ, результаты клинического анализа ЦСЖ, МРТ-данные, проводимое лечение и ответ на лечение, данные катамнеза.
Дополнительно пациенты были классифицированы по подгруппам согласно клиническому фенотипу GAD-АЗ: СРЧ (n = 17), МА (n = 12), ЛЭ/Э (n = 6), перекрестный синдром (n = 5). В каждой подгруппе проанализированы демографические характеристики, направительные диагнозы, клиническая картина, результаты лабораторно-инструментального обследования, проводимое лечение, ответ на лечение, а также проведено сравнение частоты положительного ответа на лечение среди подгрупп.
Критерии соответствия
Критерии включения в исследование:
- клиническая картина заболевания, соответствующая одному из синдромов, характерных для GAD-АЗ, — СРЧ, МА, ЛЭ/Э, перекрестный синдром;
- положительный результат определения АТ-GAD в крови и/или ЦСЖ;
- полученное разрешение на обработку персональных данных и подписанное информированное согласие на участие в исследовании.
Критерий невключения — выявление в ходе обследования другого диагноза, объясняющего имеющуюся симптоматику.
Критерий исключения — отказ пациента от участия в исследовании на любом этапе.
Заболевание пациентов с более чем одним неврологическим синдромом, типичным для GAD-АЗ, определялось как «перекрестный (комбинированный) синдром». Паранеопластическая этиология GAD-АЗ определялась согласно критериям паранеопластических неврологических синдромов F. Graus (2021) [8]. Ассоциация с новой коронавирусной инфекцией (COVID-19) определялась как развитие GAD-АЗ на фоне или менее чем через 3 мес после инфекционного заболевания.
Условия проведения
Исследование проводилось на базе Федерального государственного бюджетного научного учреждения «Научный центр неврологии» (ФГБНУ НЦН), Москва.
Продолжительность исследования
Исследование проводилось в период с 2018 по 2024 г. Продолжительность периода проспективного наблюдения предварительно не определялась. Контрольной точкой служил «ответ на лечение», который определялся на основании клинических данных (объективного осмотра, катамнеза) на момент последнего визита пациента. Для пациентов с известными данными катамнеза (n = 30/40) медиана продолжительности проспективного наблюдения составила 13 мес (от 1 мес до 5 лет).
Описание медицинского вмешательства
Всем пациентам проведено подробное неврологическое обследование c оценкой по следующим шкалам: модифицированная шкала Рэнкина (Modified Rankin Scale, MRS), шкала для обследования и оценки атаксии (Scale for the Assessment and Rating of Ataxia, SARA), Монреальская шкала оценки когнитивных функций (Montreal Cognitive Assessment, MoCA).
Лабораторные исследования включали общетерапевтические анализы, клинический анализ ЦСЖ (цитоз, белок, глюкоза, олигоклональный синтез IgG), определение АТ-GAD в крови и ЦСЖ методом иммуноферментного анализа (ИФА). Часть пациентов предоставила результаты анализа АТ-GAD из сторонних лабораторий. В зависимости от фенотипа заболевания дополнительно исследовались антитела к внутриклеточным (Hu, Ri, Yo, CV2, Ма2, амфифизин) и поверхностным (NMDAR, LGI1, CASPR, AMPAR1,2, GABAR1) нейрональным антигенам, антинейрональные антитела методом непрямой реакции иммунофлуоресценции (нРИФ), другие анализы в соответствии с дифференциально-диагностическим поиском.
Инструментальные исследования включали МРТ головного мозга в стандартных режимах (Т1, Т2, T2-FLAIR, ДВИ); при наличии соответствующего клинического предположения — МРТ головного мозга с введением контрастного вещества, МРТ спинного мозга, электроэнцефалографический мониторинг, игольчатую электромиографию и электронейромиографию. Всем пациентам проводилось скрининговое онкологическое обследование с целью исключения паранеопластической этиологии заболевания (компьютерная томография органов грудной клетки, фиброгастродуоденоскопия, УЗИ щитовидной железы, органов брюшной полости, молочных желез, органов малого таза/мошонки).
Исходы исследования
Основные исходы исследования:
- клиническая характеристика когорты пациентов с GAD-АЗ — демографические, этиологические данные, данные лабораторных и инструментальных исследований, данные о проводимом лечении, данные катамнеза;
- ответ на лечение (положительный / отсутствие ответа). При положительном ответе на лечение дополнительно выделялись такие показатели, как выздоровление, оптимальный ответ, субоптимальный ответ.
Дополнительные исходы исследования:
- клиническая характеристика подгрупп пациентов с разными фенотипами GAD-АЗ — демографические данные, направительные диагнозы, клиническая картина, данные лабораторных и инструментальных исследований, данные о проводимом лечении, ответе на лечение;
- сравнение частоты положительного ответа на лечение среди подгрупп.
Анализ в подгруппах
Подгруппы сформированы на основании клинического фенотипа GAD-АЗ: СРЧ, МА, ЛЭ/Э, перекрестный синдром.
Методы регистрации исходов
Ответ на лечение определялся как положительный в случае, как минимум, стабилизации состояния и замедления прогрессирования заболевания. Выздоровление определялось как полный регресс симптоматики; оптимальный ответ — клиническое улучшение со снижением показателя по MRS (≥ 1 балла) в сравнении с исходной инвалидизацией; субоптимальный ответ — стабилизация состояния и остановка/замедление прогрессирования заболевания или частичное улучшение со стороны одного из синдромов (для группы «перекрестный синдром»). У пациентов с эпилепсией (группы «ЛЭ/Э» и «перекрестный синдром») дополнительно оценивалась частота приступов на фоне лечения — улучшением считалось снижение частоты приступов по крайней мере на 50% [9].
Этическая экспертиза
Исследование одобрено локальным этическим комитетом ФГБНУ НЦН (протокол № 3-4/21 от 24 марта 2021 г.). Все пациенты подписали установленную форму информированного согласия на участие в исследовании.
Статистический анализ
Принципы расчета размера выборки. Размер выборки предварительно не рассчитывался.
Методы статистического анализа данных. Статистическая обработка данных проводилась в пакетах Microsoft Excel 2010 и SPSS Statistics 23. Качественные данные были представлены в виде частот и процентов. Количественные переменные описывались с помощью медианы и диапазона. Для сравнения нескольких групп по качественному показателю применялся критерий χ2 Пирсона. Различия считали статистически значимыми при уровне ошибки p < 0,05.
Результаты
Объекты (участники) исследования
Всего было выявлено 40 пациентов с высокими титрами АТ-GAD в крови и/или ЦСЖ и типичными для GAD-аутоиммунитета неврологическими синдромами: СРЧ — 17 пациентов (42,5%); МА — 12 (30%); ЛЭ/Э — 6 (15%); перекрестный синдром — 5 (12,5%) (рис. 1). Среди пациентов преобладали женщины — 34/40, 85%. Медиана возраста дебюта заболевания составила 54 года (от 18 до 74 лет). Медиана длительности GAD-АЗ на момент постановки диагноза и начала лечения — 40,5 мес (от 1 мес до 14 лет), продолжительность проспективного наблюдения (30/40, 75%) — 13 мес (от 1 мес до 5 лет).
Рис. 1. Клинические фенотипы GAD-АЗ: ЛЭ — лимбический энцефалит; МА — мозжечковая атаксия; СРЧ — синдром ригидного человека; Э — эпилепсия
Основные результаты исследования
Этиология GAD-АЗ в подавляющем большинстве случаев была определена как идиопатическая. Злокачественного новообразования после развития GAD-АЗ ни у одного из пациентов обнаружено не было. Онкологическое заболевание в анамнезе имели 2 пациента: рак щитовидной железы за 1 год до дебюта GAD-СРЧ (пациентка #10), рак молочной железы за 20 лет до GAD-МА (пациентка #20). Отсутствие данных за рецидив рака, а также сравнительно «мягкое» течение заболевания с хорошим ответом на иммунотерапию не позволяют однозначно отнести данные случаи к паранеопластическим. Ассоциация с COVID-19 наблюдалась у 3 пациентов: дебют СРЧ на фоне COVID-19 (пациентка #17), ЛЭ на фоне COVID-19 (пациент #30), дебют МА через 1 мес после COVID-19 у пациентки #37 с длительным анамнезом фармакорезистентной фокальной эпилепсии. Другое аутоиммунное заболевание имели 25 пациентов (62,5%): аутоиммунный тиреоидит (21/40, 52,5%); СД 1 типа (4/40, 10%); витилиго (1/40, 2,5%); неспецифический язвенный колит (1/40, 2,5%). У 2 больных в сопутствующих заболеваниях был гепатит В, еще у 2 — гепатит С.
АТ-GAD в крови были исследованы у всех 40 пациентов, в ЦСЖ — у 27/40. В 100% случаев результат тестирования был положительным. Поскольку АТ-GAD анализировались в нескольких лабораториях, статистический анализ титров АТ-GAD не проводился. Однако даже с учетом данного ограничения можно говорить о выявлении высоких уровней АТ-GAD как в крови, так и в ЦСЖ у подавляющего большинства больных. Так, титры АТ-GAD в крови у 60% пациентов — более 10 000 МЕ/мл; 25% – более 2000 МЕ/мл (ИФА-1); 10% — от 37 до 95 МЕ/мл (ИФА-2); 5% — «АТ-GAD обнаружены» (без указания титра и метода анализа). Титры АТ-GAD в ЦСЖ: 46% — более 1000 МЕ/мл; 14% — от 61 до 339 МЕ/мл (ИФА-1); 29% — от 11,6 до 181 МЕ/мл (ИФА-2); у 11% обнаружен цитоплазматический нейрональный тип свечения в титрах от 1:16 до 1:100 (нРИФ).
Повышение уровня белка в ЦСЖ было выявлено только у 1 пациента (1/29, 3,4%) — случай острого монофазного ЛЭ. Еще у 2 пациентов (2/20, 10%) — с МА и ЛЭ/Э — обнаружен интратекальный синтез олигоклонального IgG (2-й тип) в отсутствие повышения белка и плеоцитоза ЦСЖ. При МРТ головного мозга Т2-гиперинтенсивные очаговые изменения наблюдались в 2/40 (5%) случаях (пациенты #19, #31). МР-признаки атрофического процесса выявлены у 8/40 (20%) (6 случаев МА и 2 случая ЛЭ/Э). Основные клинические характеристики пациентов с GAD-АЗ представлены в табл. 1.
Таблица 1. Характеристика пациентов с GAD-АЗ
Пациент | Возраст, пол | Длительность, мес* | Фенотип GAD-АЗ | Сопутствующие заболевания/ COVID-19 | MRS/ SARA | МРТ | Анализ ЦСЖ | Иммунотерапия | Симптоматическая терапия | Улучшение** | Катамнез |
#1 | 59, Ж | 60 | СРЧ | СД 2 типа, ХАИТ | 4 | Норма | Норма, Тип 1 | ПФ, ГКС в/в, ГКС per os | Диазепам, габапентин | + | 31 мес, улучшение и стабилизация |
#2 | 60, Ж | 120 | СРЧ | – | 2 | Норма | Норма, Тип 1 | ПФ, ГКС в/в, ГКС per os | Клоназепам, габапентин | + | Н/д |
#3 | 54, М | 24 | СРЧ | СД 1 типа, гепатит С, нейросифилис | 4 | Норма | Норма, Тип 1 | ПФ, азатиоприн, ВВИГ | Баклофеновая помпа, диазепам, габапентин | +/– | 8 мес, кратковременное улучшение на ВВИГ |
#4 | 53, Ж | 42 | СРЧ | ХАИТ | 2 | Норма | Н/д | — | Клоназепам, баклофен | +/– | 26 мес, стабилизация |
#5 | 61, Ж | 26 | СРЧ | Витилиго | 3 | Норма | Н/д | ПФ, МФМ (побочные), ГКС per os | Клоназепам | + (от ГКС и клоназнпама) | 30 мес, улучшение и стабилизация |
#6 | 44, М | 10 | СРЧ | СД 2 типа | 3 | Норма | Н/д | ГКС в/в, ГКС per os | Клоназепам | + | 14 мес, улучшение и стабилизация |
#7 | 55, Ж | 96 | СРЧ | ХАИТ | 5 | Норма | Н/д | ПФ, азатиоприн, циклофосфамид в/в | Клоназепам, габапентин, тизанидин | + (от циклофосфамида и симптоматической) | 10 мес, улучшение и стабилизация |
#8 | 42, Ж | 48 | СРЧ | ХАИТ | 4 | Норма | Н/д | ГКС в/в, ГКС per os, ПФ, ВВИГ, азатиоприн | Баклофеновая помпа, клоназепам, диазепам, габапентин, карбамазе-пин, вальпроаты, тизани-дин, баклосан, толперизон | — | 60 мес, ухудшение, зависимость от бензодиазепинов, прогрессирование |
#9 | 54, Ж | 13 | СРЧ | ХАИТ | 3 | Норма | Норма, Тип 1 | ГКС в/в, ГКС per os | Клоназепам | + | 10 мес, улучшение и стабилизация |
#10 | 52, Ж | 46 | СРЧ | СД 1 типа, РЩЖ | 2 | Норма | Н/д | — | Клоназепам | +/– | 12 мес, стабилизация |
#11 | 73, Ж | 2 | СРЧ | ХАИТ, СД 2 типа | 2 | Норма | Норма | ГКС в/в, ГКС per os | Клоназепам | + | 8 мес, улучшение и стабилизация |
#12 | 57, Ж | 168 | СРЧ | Гепатит В | 4 | Норма | Н/д | ПФ, ГКС в/в, азатиоприн, ритуксимаб | Клоназепам, габапентин | + (от ритуксимаба и клоназепама) | 18 мес, улучшение и стабилизация |
#13 | 58, Ж | 14 | СРЧ | ХАИТ | 4 | Норма | Норма | — | Клоназепам, леветирацетам | + (от клоназепама) | Н/д |
#14 | 42, Ж | 22 | СРЧ | СД 1 типа, гепатит В | 3 | Норма | Норма | ГКС per os | Клоназепам, габапентин | + (от клоназепама) | Н/д |
#15 | 49, Ж | 48 | СРЧ | — | 2 | Норма | Н/д | – запланирована ВВИГ | Клоназепам | + | 1 мес, улучшение |
#16 | 56, Ж | 42 | СРЧ | ХАИТ | 3 | Норма | Н/д | – | Клоназепам, баклофен | + (от клоназепама) | 7 мес, улучшение и стабилизация |
#17 | 43, Ж | 6 | СРЧ | Дебют на фоне СOVID-19 | 2 | Норма | Норма | ГКС в/в, ГКС per os | Клоназепам, баклофен | + (от ГКС и симптоматической) | Н/д |
#18 | 30, М | 13 | МА | – | 3/17,5 | Атрофия червя мозжечка | Норма, Тип 2 | ГКС в/в, ГКС per os | – | + | 22 мес, улучшение и стабилизация |
#19 | 59, Ж | 6 | МА | – | 2/9 | Т2-гиперинтенсивные изменения в полушарии мозжечка (с накоплением КВ), от височных долей | Норма, Тип 1 | ГКС в/в, ГКС per os, ритуксимаб | – | + | 13 мес, улучшение и стабилизация |
#20 | 53, Ж | 21 | МА | ХАИТ, РМЖ | 2/16,5 | Норма | Норма, Тип 1 | ГКС в/в, ГКС per os, ритуксимаб | – | + | 12 мес, улучшение (на ритуксимабе) |
#21 | 53, Ж | 40 | МА | СД 2 типа | 2/8,5 | Атрофия червя мозжечка | Норма, Тип 1 | ГКС в/в, ритуксимаб | – | + | 12 мес, улучшение (на ритуксимабе) |
#22 | 67, Ж | 18 | МА | ХАИТ | 2/13 | Диффузная атрофия мозжечка | Норма | ГКС в/в | – | – | Н/д |
#23 | 57, М | 66 | МА | Гепатит С | 1/7 | Гемиатрофия полушария мозжечка | Норма, Тип 1 | ГКС в/в, ПФ (по наст. время) | – | + | 48 мес, улучшение и стабилизация на ПФ |
#24 | 54, М | 108 | МА | – | 3/14 | Норма | Норма | ГКС в/в | – | – | Н/д |
#25 | 63, Ж | 60 | МА | ХАИТ, СД 2 типа | 2/13,5 | Диффузная атрофия мозжечка | Н/д | ПФ | – | +/– | 12 мес, стабилизация |
#26 | 69, Ж | 20 | МА | ХАИТ, СД 2 типа | 3/18,5 | Норма | Норма, Тип 1 | – | – | Н/д | Н/д |
#27 | 66, Ж | 44 | МА | ХАИТ, НЯК | 3/15 | Норма | Норма | ГКС в/в, ПФ, ГКС per os, ритуксимаб | – | + | 9 мес, улучшение и стабилизация (на ритуксимабе) |
#28 | 56, Ж | 48 | МА | СД 2 типа | 4/22 | Атрофия червя мозжечка | Норма, Тип 1 | ГКС в/в, ГКС per os | – | + | 6 мес, улучшение и стабилизация |
#29 | 74, Ж | 46 | МА | ХАИТ | 3/16,5 | Норма | Норма, Тип 1 | – | – | Н/д | Н/д |
#30 | 63, М | 2 | ЛЭ | Дебют на фоне СOVID-19 | 3 | Норма | Белок 0.63 г/л, Тип 1 | ПФ, ГКС в/в, ГКС per os (короткий курс) | Ламотриджин, леветирацетам (8 мес) | ++ | 13 мес, полное восстановление |
#31 | 35, Ж | 30 | ЛЭ/Э | – | 4 | Т2-гиперинтенсивность от височных долей; атрофия гиппокампов | Норма, Тип 2 | ГКС в/в, ГКС per os | Окскарбазепин, леветирацетам | +/– | Н/д |
#32 | 33, Ж | 96 | ЛЭ/Э | ХАИТ | 3 | Атрофия гиппокампов | Норма | ПФ, ГКС в/в, азатиоприн (побочные), ГКС per os, ВВИГ; ритуксимаб | Окскарбазепин, ламотриджин, клобазам | +/– | 38 мес, стабилизация |
#33 | 41, Ж | 16 | ЛЭ/Э | СД 1 типа, ХАИТ | 2 | Норма | Норма, Тип 1 | – | Леветирацетам, топирамат | + | 13 мес, улучшение и стабилизация |
#34 | 32, Ж | 68 | ЛЭ/Э | ХАИТ | 2 | Норма | Норма | ВВИГ | Леветирацетам, лакосамид | + | 6 мес, улучшение и стабилизация |
#35 | 18, Ж | 14 | ЛЭ/Э | ХАИТ | 2 | Норма | Норма, Тип 1 | ГКС в/в, ГКС per os, ритуксимаб | Окскарбазепин, леветирацетам | + | 4 мес, улучшение |
#36 | 52, Ж | 36 (до СРЧ) | СРЧ+Э (через 5 лет) | ХАИТ | 2 | Норма | Норма, Тип 1 | ПФ, ГКС в/в, ГКС per os, ВВИГ | Клоназепам, леветирацетам | + | 60 мес, улучшение и стабилизация СРЧ |
#37 | 44, Ж | 120 | Э+МА (через 9 лет) | ХАИТ/СОVID-19 за 1 мес до МА | 3/19 | Норма | Норма, Тип 1 | ГКС в/в, ГКС per os, ВВИГ | Леветирацетам, ламотриджин | + | 21 мес, улучшение и стабилизация МА |
#38 | 63, Ж | 41 | Э+МА (через 3 года) | – | 2/12 | Норма | Норма, Тип 1 | ГКС в/в, ГКС per os, ритуксимаб | Леветирацетам, лакосамид | +/– | 13 мес, улучшение и стабилизация МА |
#39 | 61, Ж | 144 | МА+ СРЧ | ХАИТ, СД 2 типа | 4/25 | Норма | Н/д | ГКС per os в малых дозах | +/– | Н/д | |
#40 | 41, Ж | 1 (до МА) | МА+Э (через 5 лет) | – | 2/5 | Норма | Норма, Тип 1 | ГКС в/в, ГКС per os, азатиоприн | Карбамазепин | +/– | 49 мес, улучшение и стабилизация МА, далее нарастание МА |
Примечание. ВВИГ — внутривенные иммуноглобулины; ГКС — глюкокортикостероиды; ЛЭ — лимбический энцефалит; МА — мозжечковая атаксия; МФМ — микофенолата мофетил; Н/д — нет данных; НЯК — неспецифический язвенный колит; ПФ — плазмаферез; РМЖ — рак молочной железы; РЩЖ — рак щитовидной железы; СД — сахарный диабет; СОVID-19 — новая коронавирусная инфекция; СРЧ — синдром ригидного человека; ХАИТ — хронический аутоиммунный тиреоидит; ЦСЖ — цереброспинальная жидкость; Э — эпилепсия; GAD-АЗ — заболевание, ассоциированное с антителами к GAD; MRS — модифицированная шкала Рэнкина; SARA — шкала для обследования и оценки атаксии; КВ — контрастное вещество. * — время от дебюта до диагностирования GAD-АЗ; ** «++» — выздоровление; «+» — оптимальный ответ; «+/–» — субоптимальный ответ; «–» — отсутствие улучшения.
Синдром ригидного человека. Расстройство спектра СРЧ диагностировано у 17 человек. Еще у 2 пациентов СРЧ наблюдался в рамках перекрестного синдрома. Большинство составили женщины (15/17, 88%), медиана возраста — 54 года (от 42 до 73 лет). Наиболее распространенными направительными диагнозами были остеохондроз (6/17, 35%), конверсионное расстройство (3/17, 18%), дистония ног, миотония и болезнь Штрюмпеля (по 2/17, 12%). Медиана времени от дебюта симптоматики до диагностирования СРЧ (задержка в постановке диагноза) составила 3,5 года (от 2 месяцев до 14 лет).
Согласно современной классификации расстройств спектра СРЧ [10], заболевания пациентов были представлены следующими фенотипами: классический СРЧ (поражение аксиальной мускулатуры и преимущественно проксимальных мышц ног) — 12/17, 70%; синдром ригидной конечности (поражение одной руки или ноги) — 2/17, 12%; «СРЧ плюс» (классические симптомы в сочетании с атаксией / бульбарными нарушениями) — 2/17, 12%; ПЭРМ-синдром (прогрессирующий энцефаломиелит с ригидностью и миоклонусом) — 1/17, 6%. На пике тяжести симптоматики пациенты, как правило, были существенно инвалидизированы (MRS = 3 [2; 4]). Клиническая картина включала мышечные спазмы (94%), нарушение ходьбы (94%), поясничный гиперлордоз (53%), гиперэкплексию (41%), психоэмоциональные нарушения (59%), вестибуло-атактический синдром (12%). У 7 (41%) пациентов наблюдались признаки миелопатии в виде симптомов поражения верхнего мотонейрона (высокие сухожильные рефлексы, патологические стопные знаки). Умеренные когнитивные нарушения (MoCA — менее 26 баллов при отсутствии признаков деменции) отмечались у 2 больных. Электрофизиологические данные, подтверждающие наличие СРЧ (двигательная активность мышечных единиц в покое), были получены в 65% случаев. Ни у одного из пациентов МРТ головного и спинного мозга не выявила изменений, которые могли бы обусловливать имеющуюся симптоматику.
Мозжечковая атаксия. МА была верифицирована у 12 пациентов в качестве единственного GAD-ассоциированного синдрома и у 4 пациентов с комбинированным фенотипом GAD-АЗ. В группе изолированной МА преобладали женщины (9/12, 75%), возраст на момент дебюта заболевания составил 58 лет (от 30 до 74 лет), задержка в постановке диагноза — 3,5 года (от 6 мес до 9 лет). Наиболее частым направительным диагнозом была дисциркуляторная энцефалопатия (8/12, 67%), у 2 пациентов (17%) предполагался рассеянный склероз.
У 5/12 (42%) пациентов МА дебютировала остро/ под-остро, у остальных отмечалось постепенное (хроническое) развитие заболевания. Тяжесть инвалидизации была вариабельной: медианный балл по шкале MRS составил 2,5 (2; 3), SARA — 14,5 (10; 17,25). Практически у всех больных МА носила прогрессирующий характер: вначале наблюдались преимущественно статико-локомоторная атаксия, нистагм и глазодвигательные нарушения, позже присоединялась динамическая атаксия. Те или иные глазодвигательные нарушения (вертикальный и горизонтальный нистагм, нарушения саккад и плавных следящих движений глаз, офтальмопарез, диплопия) присутствовали у всех пациентов. Другими частыми симптомами были дизартрия (67%), постурально-кинетический тремор рук (25%), различные формы дистонии (17%) (дистония в конечностях, дистонический тремор рук), умеренные когнитивные нарушения (17%). В 4 (33%) случаях наблюдались пароксизмальные инсультоподобные эпизоды со стволовой симптоматикой (тошнота, рвота, системное головокружение, тиннитус, диплопия, краткосрочный гемипарез). У половины пациентов МА была представлена гемиатаксией или отчетливой латерализацией симптоматики, в ряде случаев со временем симптомы распространялись и на контралатеральную сторону.
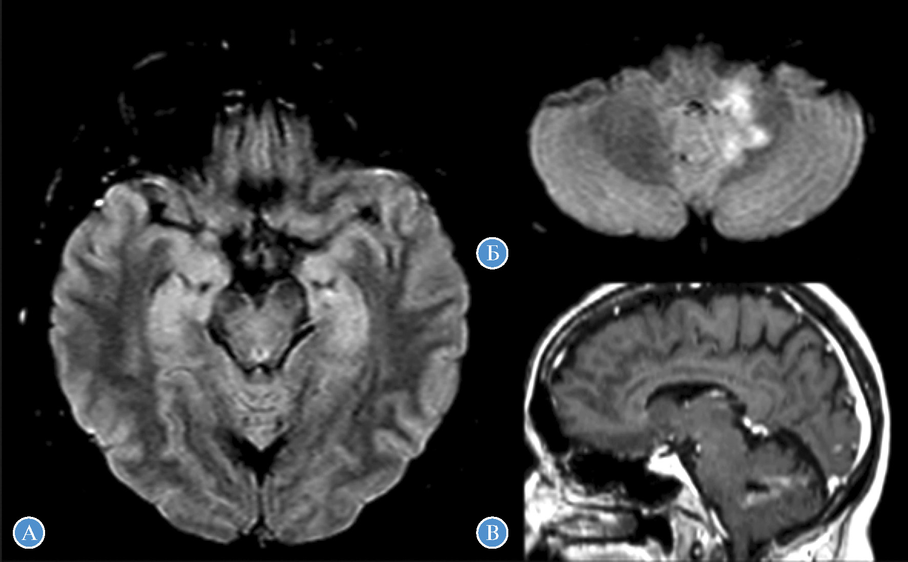
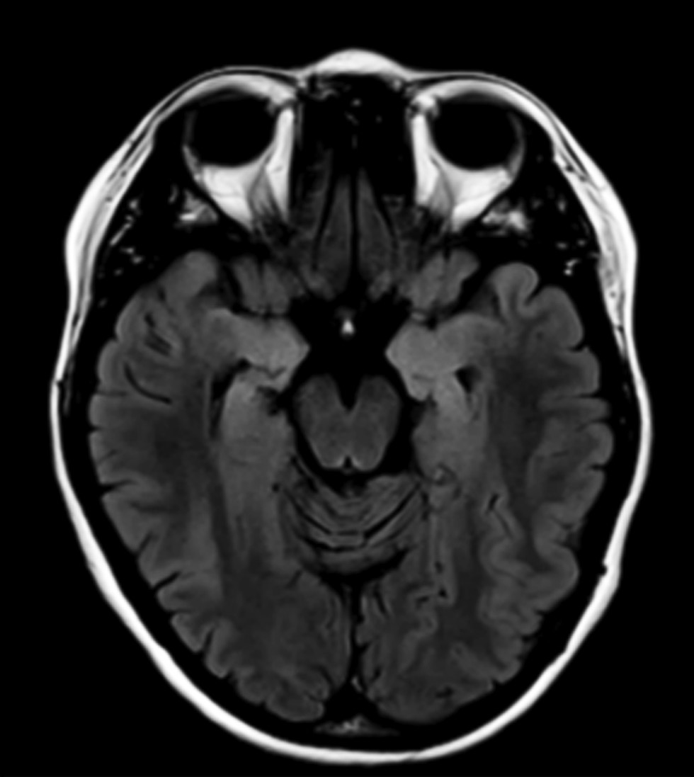
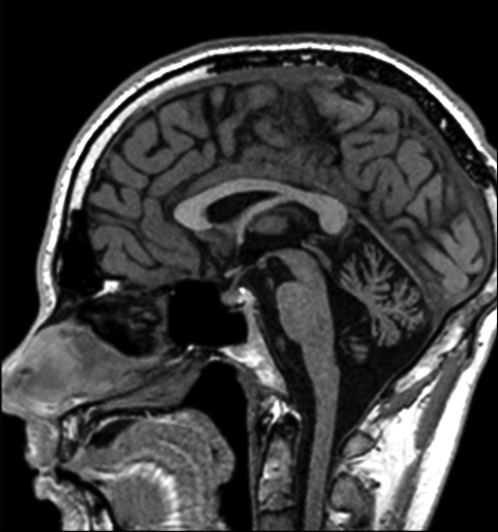
При МРТ головного мозга у 42% изменений обнаружено не было. У 6 (50%) пациентов выявлены признаки атрофии мозжечка от легкой до умеренной степени: атрофия червя мозжечка (n = 3), диффузная атрофия мозжечка (n = 2), гемиатрофия полушария мозжечка (n = 1) (рис. 2). В одном случае (пациентка #19) наблюдались Т2/T2-FLAIR-гиперинтенсивные изменения от медиальных отделов височных долей и структур мозжечка с признаками патологического накопления контрастного вещества на постконтрастных Т1 (Т1-С+) взвешенных изображениях (рис. 3). Примечательно, что, несмотря на МРТ-данные о вовлечении височных долей, клиническая картина заболевания была представлена МА и лишь легким когнитивным дефицитом (MoCA — 24 балла). С учетом нетипичной МРТ-картины пациентке проводился обширный онкологический поиск — патологии не обнаружено.
Рис. 2. МРТ головного мозга пациентки #28: Т2-FLAIR, сагитальный срез — атрофия червя мозжечка
Рис. 3. МРТ головного мозга пациентки #19: А, Б — Т2-FLAIR, аксиальные срезы; В — Т1-С+, сагитальный срез. Гиперинтенсивность от медиобазальных отделов височных долей (А), гиперинтенсивная зона неправильной формы в медиальных отделах левого полушария мозжечка с распространением на среднюю мозжечковую ножку, левые отделы червя (Б) с неоднородным патологическим накоплением контрастного вещества (В)
Лимбический энцефалит/эпилепсия. Диагноз GAD-ЛЭ/Э был установлен 6 пациентам: женщины — 5/6 (83%), возраст — 34 года (от 18 до 63 лет). Еще у 4 больных эпилепсия была одним из синдромов комбинированного GAD-АЗ. Медиана времени до диагностирования GAD-ЛЭ/Э составила 23 мес (от 2 мес до 8 лет). Наиболее частым направительным диагнозом была фокальная эпилепсия неясной этиологии (5/6, 83%). Следует отметить, что однозначно дифференцировать GAD-ЛЭ с острыми симптоматическими приступами и GAD-Э без энцефалита зачастую затруднительно. Кроме того, при GAD-ЛЭ нередко наблюдается развитие хронической эпилепсии в исходе перенесенного энцефалита [9]. Поэтому у большинства пациентов данной группы диагноз был сформулирован как GAD-ЛЭ/Э. Исключение составил пациент #30, у которого на фоне COVID-19 подостро развились фокальная эпилепсия, когнитивные, бульбарные и координаторные нарушения, полностью регрессировавшие на фоне иммунотерапии, что в совокупности с выявлением АТ-GAD позволило диагностировать энцефалит, ассоциированный с АТ-GAD (GAD-ЛЭ плюс).
Общими чертами, характерными для большинства пациентов с GAD-ЛЭ/Э, были высокая частота приступов и/ или эпилептический статус в дебюте заболевания, клиническая картина приступов, характерная для фокальной височной эпилепсии, фармакорезистентное течение эпилепсии, наличие в структуре заболевания помимо эпилептических приступов иной очаговой неврологической симптоматики, имеющей прогрессирующий характер. У 3 (50%) пациентов отмечались умеренные когнитивные нарушения (MoCA — от 21 до 23 баллов, преимущественно за счет нарушения краткосрочной памяти, исполнительных функций). Острой психотической симптоматики не было ни у одного из пациентов, но у большинства имели место легкие поведенческие нарушения, расстройства настроения. Изменения на МРТ головного мозга были обнаружены только у 2 пациентов: у пациентки #31 — Т2-гиперинтенсивные изменения в медиобазальных отделах височных долей и атрофия обоих гиппокампов (рис. 4); у пациентки #32 — атрофия обоих гиппокампов.
Рис. 4. МРТ головного мозга пациентки #31: Т2-FLAIR, аксиальный срез — гиперинтенсивность от медиобазальных отделов височных долей (S > D), признаки атрофии гиппокампов (D > S)
Среди всех случаев GAD-АЗ, сопровождавшихся эпилептическими приступами (группы «GAD-ЛЭ/Э», «перекрестный синдром», n = 10), преобладали приступы с немоторными проявлениями: déjà vu (30%), восходящее эпигастральное чувство (20%), ощущение страха и/или тревоги (20%), остановка деятельности (20%). Среди немоторных симптомов отмечались головокружение и пилоэрекция. Моторные проявления в виде автоматизмов наблюдались у 30%. У большинства (90%) в анамнезе были фокальные приступы с нарушением сознания и переходом в билатеральные тонико-клонические судороги и/или эпилептический статус. У 2 (20%) пациенток выявлен специфический провокатор эпилептических приступов в виде определенных музыкальных композиций: у пациентки #34 все приступы провоцировались исключительно музыкой, у пациентки #37 отмечались и спонтанные, и музыкогенные приступы.
Перекрестные синдромы. Перекрестный (комбинированный) синдром, ассоциированный с АТ-GAD, был диагностирован в 6 случаях. Все пациенты были женщинами, медиана возраста на момент дебюта «первого» синдрома — 52 года (от 41 до 63 лет). В одном случае оба GAD-ассоциированных синдрома (МА и СРЧ) развились одновременно, среди остальных пациентов медиана времени до присоединения «второго» фенотипа составила 5 лет (от 3 до 9 лет). Задержка в постановке диагноза составила 3,4 года (от 1 мес до 12 лет). У 2 пациенток диагноз GAD-АЗ был установлен во время манифестации «первого» синдрома, у 3 — лишь на этапе развития комбинированного GAD-АЗ.
Как правило, синдромы в составе комбинированного GAD-АЗ были классическими для GAD-аутоиммунитета: фармакорезистентная височная эпилепсия, СРЧ с поражением аксиальной мускулатуры и конечностей, МА (у 2/4 пациенток — по гемитипу). Однако в ряде случаев отмечались и несколько нетипичные клинические проявления. Так, у пациентки #36 в течение четырех лет было пять однотипных приступов: без предвестников, внезапная утрата сознания (длительностью от 20 до 40 мин), потливость, без тонического напряжения/судорог; приступы полностью амнезировала. По данным длительного электроэнцефалографического мониторинга зарегистрированы преходящее диффузное замедление дельта-диапазона, региональное замедление и эпиактивность в левой и правой височных областях. При обследовании кардиологическая патология была исключена. Состояние пациентки расценено как фокальная эпилепсия в рамках GAD-АЗ (с учетом пятилетнего анамнеза СРЧ и высоких титров АТ-GAD в крови и ЦСЖ). Умеренный когнитивный дефицит (MoCA — 21 и 24 балла) наблюдался у 2 пациенток с длительным анамнезом эпилепсии. При МРТ головного мозга ни в одном случае патологических изменений не выявлено.
Лечение и исходы
Иммунотерапия проводилась 32 (80%) пациентам. Варианты иммуносупрессии и ответ на лечение при различных фенотипах GAD-АЗ суммированы в табл. 2. Зачастую на протяжении болезни использовалось несколько видов иммунотерапии первой и/или второй линии. Наиболее часто применялись пульс-терапия метилпреднизолоном (24/32, 75%) и высокообъемный плазмаферез (ПФ) (12/32, 38%). 6 (19%) пациентов получали внутривенные иммуноглобулины (ВВИГ) в дозе 2 г/кг. При использовании ВВИГ в качестве постоянной терапии, как правило, применялась доза 1 г/кг ежемесячно или 2 г/кг каждые 2 мес. Большинство пациентов (23/32, 72%) принимали пероральный преднизолон/метилпреднизолон в различных режимах дозирования: короткий курс (до 3 мес) глюкокортикостероидов по завершении пульс-терапии метилпреднизолоном/ПФ или длительный прием малых доз глюкокортикостероидов в качестве постоянной иммуносупрессии. Последняя схема чаще всего назначалась пациентам с СРЧ — изолированно или в сочетании с азатиоприном. 14 пациентам проводилась иммунотерапия второй линии — ритуксимаб (8/32, 15%), азатиоприн (5/32, 16%); 1 (3%) пациент в разное время принимал циклофосфамид и микофенолата мофетил. 20 из 25 пациентов с известным катамнезом (80%) получали постоянную («хроническую») иммунносупрессию — курсы ВВИГ или ритуксимаба либо пероральный прием глюкокортикостероидов и/или цитостатических препаратов. Симптоматическая терапия назначалась всем пациентам с СРЧ и эпилепсией. При СРЧ наиболее часто применялись препараты бензодиазепинового ряда, при эпилепсии — комбинация нескольких противоэпилептических препаратов.
Таблица 2. Иммунотерапия, проводимая пациентам с GAD-АЗ
СРЧ (n = 17) | МА (n = 12) | ЛЭ/Э (n = 6) | Перекрестный синдром (n = 5) | р | |
Иммунотерапия (%) | 12/17 (71) | 10/12 (83) | 5/6 (83) | 5/5 (100) | — |
ГКС в/в (%) | 7/12 (58) | 9/10 (90) | 4/5 (80) | 4/5 (80) | — |
ВВИГ (%) | 2/12 (17) | 0/10 (0) | 2/5 (40) | 2/5 (40) | — |
ПФ (%) | 6/12 (50) | 3/10 (30) | 2/5 (40) | 1/5 (20) | — |
Ритуксимаб (%) | 1/12 (8) | 4/10 (40) | 2/5 (40) | 1/5(20) | — |
Азатиоприн (%) | 3/12 (25) | 0/10 (0) | 1/5 (20) | 1/5 (20) | — |
Циклофосфамид/МФМ (%) | 1/12 (8) | 0/10 (0) | 0/5 (0) | 0/5 (0) | — |
ГКС per os (%) | 9/12 (75) | 5/10 (50) | 4/5 (80) | 5/5 (100) | — |
Постоянная иммунотерапия* | 6/9 (67) | 7/8 (88) | 3/4 (75) | 4/4 (100) | — |
Длительность GAD-АЗ до начала иммунотерапии, мес (Ме, диапазон) | 25 (2–168) | 42 (6–108) | 30 (2–96) | 41 (1–144) | — |
Ответ на иммунотерапию (%) | 10/12 (83) | 8/10 (80) | 5/5 (100) | 5/5 (100) | > 0,05 |
Субоптимальный (+/–) (%) | 1/12 (8) | 1/10 (10) | 2/5 (40) | 3/5 (60) | — |
Оптимальный (+) (%) | 9/12 (75) | 7/10 (70) | 2/5 (40) | 2/5 (40) | — |
Выздоровление (++) (%) | 0/12 (0) | 0/10 (0) | 1/5 (20) | 0/5 (0) | — |
Проспективное наблюдение, мес* (Ме, диапазон) | 12 (8–60) | 12 (6–48) | 13 (4–38) | 38 (13–60) | — |
Примечание. ВВИГ — внутривенные иммуноглобулины; ГКС — глюкокортикостероиды; ЛЭ — лимбический энцефалит; МА — мозжечковая атаксия; ПФ — плазмаферез; СРЧ — синдром ригидного человека; Э — эпилепсия; GAD-АЗ — заболевание, ассоциированное с антителами к GAD. * — данные пациентов с известным катамнезом.
Ответ на лечение отмечался у подавляющего большинства пациентов с известными данными (35/38, 92,1%). 25 (65,8%) из них достигли значительного клинического улучшения: 1 (2,6%) пациент выздоровел полностью (случай энцефалита, развившегося на фоне COVID-19, пациент #30); у 24 (63,2%) отмечалось снижение исходного балла инвалидизации по шкале MRS. Еще у 10 (26,3%) ответ был «субоптимальным» — стабилизация текущего состояния и остановка/замедление прогрессирования заболевания или частичное улучшение со стороны одного из синдромов в случае комбинированного GAD-АЗ. Лечение не дало эффекта у 3 (7,9%) больных — c СРЧ (пациент #8) и МА (пациенты #22, #24). Зачастую улучшение достигалось в ответ на иммунотерапию (в сочетании с симптоматической терапией или без таковой) — 28 пациентов из 32, получавших иммуносупрессию (87,5%), достигли, как минимум, стабилизации состояния. Однако в 6 (35,3%) случаях GAD-СРЧ состояние улучшилось на фоне изолированного применения симптоматической терапии; еще в 1 случае ЛЭ/Э (пациентка #33) приступов не повторялось в течение года наблюдения на фоне приема нескольких противоэпилептических препаратов, без иммуносупрессии.
Ответ на иммунотерапию достоверно не различался среди подгрупп пациентов с разными фенотипами GAD-АЗ (p > 0,05) (см. табл. 2). Среди отдельных синдромов наиболее резистентной к терапии (как иммунной, так и симптоматической) была эпилепсия: из 10 пациентов (группы «ЛЭ/Э», «перекрестный синдром») частота приступов снизилась более чем на 50% лишь у 2 (20%). Ввиду непродолжительности наблюдения и отсутствия данных катамнеза у части больных анализ длительности иммунотерапии и стойкости ответа на нее не проводился (известные данные катамнеза представлены в табл. 1). Однако среди пациентов, наблюдавшихся в ФГБНУ НЦН в течение нескольких лет, отмечалась тенденция к нарастанию выраженности симптомов после прекращения иммуносупрессии (в особенности при МА и СРЧ), что требовало возврата к постоянной иммунотерапии.
Обсуждение
Резюме основного результата исследования
Впервые в России проведено когортное исследование GAD-АЗ. В рамках работы были проанализированы клинические характеристики и краткосрочные исходы заболевания у 40 пациентов, что позволило сделать несколько важных выводов:
- GAD-АЗ наиболее часто встречаются у женщин среднего возраста;
- GAD-АЗ у российских пациентов представлены классическими для GAD-аутоиммунитета фенотипами: СРЧ, МА, ЛЭ, Э; самый распространенный из них – СРЧ;
- «золотым стандартом» диагностики GАD-АЗ является обнаружение высоких титров АТ-GAD в крови и ЦСЖ, однако важную роль играет клинико-серологическое сопоставление;
- для фенотипов GAD-АЗ наиболее характерны следующие клинические проявления: GAD-СРЧ — поражение аксиальной мускулатуры и проксимальных мышц ног; GAD-МА — латерализация симптомов атаксии; GAD-ЛЭ/Э — хроническое течение фармакорезистентной височной эпилепсии;
- более половины пациентов имеют другие аутоиммунные заболевания, но ассоциации с опухолями (паранеопластические случаи) редки;
- большинство пациентов отвечают на иммунотерапию, однако случаи полного регресса симптомов единичны, что позволяет предполагать хронический характер GAD-АЗ;
- в России, несмотря на доступность тестирования АТ-GAD, имеет место значительная задержка в диагностировании GAD-АЗ (в среднем – 3,4 года), что, по-видимому, обусловлено низкой информированностью врачей о данном спектре заболеваний.
Обсуждение основного результата исследования
GAD-АЗ считаются редкими, оценочная распространенность GAD-СРЧ составляет 1/1 250 000 человек [10], GAD-ЛЭ — 1,9/100 000 [11]. С АТ-GAD ассоциировано 60–80% случаев СРЧ [10–13], 17% ЛЭ [11], до 21% височных эпилепсий неясной этиологии [14], около 2% спорадических прогрессирующих МА [15]. Низкие титры АТ-GAD в крови обнаруживаются у 80% больных СД 1 типа, у 5% пациентов с другими неврологическими заболеваниями и у 0,4–1,7% здоровых людей [2, 5], что подчеркивает важность интерпретации выявления АТ-GAD в крови в совокупности с клинической картиной, а также необходимость анализа АТ-GAD в ЦСЖ.
Для всех фенотипов GAD-АЗ характерно значительное преобладание среди женщин (~4:1). Средний возраст дебюта заболевания составляет 50–60 лет для СРЧ и МА и 25–45 лет для ЛЭ [11, 12, 16]. Демографические характеристики наших пациентов соответствовали этим данным. Наиболее распространенным фенотипом GAD-АЗ в нашем исследовании, как и в нескольких других [17, 18], был СРЧ (42,5%). В других когортах превалировали случаи ЛЭ/Э (39–62%) [19–21]. Сопутствующее аутоиммунное заболевание имели 62,5% пациентов нашей выборки, наиболее часто — аутоиммунный тиреоидит, что согласуется с литературными данными: аутоиммунный тиреоидит выявляется у 30–53% пациентов с GAD-АЗ, СД 1 типа — у 11–50%, витилиго — у 2–18%, ревматологические заболевания — у 6–7% [14, 17, 20, 21]. У 4 пациентов в сопутствующих заболеваниях был гепатит С или В. Известно, что для гепатита С характерно развитие сопутствующих аутоиммунных патологий, в частности, описаны случаи манифестации СД 1 типа с АТ-GAD у больных гепатитом С, в связи с чем предполагается возможность развития GAD-АЗ как внепеченочных проявлений гепатита С [22].
Этиология GAD-АЗ в большинстве случаев определяется как идиопатическая. Паранеопластические случаи составляют 4–11% [17, 18, 20, 21]. Частота ассоциации с онкологией, а также типы наиболее распространенных опухолей зависят от фенотипа GAD-АЗ: для GAD-СРЧ — 4–6% (тимома, рак молочной железы, щитовидной железы, почек, толстой кишки); для GAD-ЛЭ и GAD-МА — соответственно 26 и 9% (немелкоклеточный рак легкого, нейроэндокринные опухоли поджелудочной железы) [12, 13, 16, 23]. В нашей когорте только 1 (2,5%) случай может быть определен как «вероятный» паранеопластический (согласно критериям F. Graus (2021) [8]): пациентка #10 с раком щитовидной железы, диагностированным за 1 год до дебюта GAD-СРЧ. В то время как у пациентки #20 GAD-МА и рак молочной железы, перенесенный 20 лет назад, по-видимому, между собой не связаны. Редкость паранеопластических случаев в нашем исследовании может быть объяснена немногочисленностью выборки, преобладанием среди фенотипов СРЧ (фенотип «промежуточного» риска ассоциации с онкологией [8]), а также не столь продолжительным временем наблюдения и отсутствием в ряде случаев данных катамнеза. В условиях пандемии COVID-19 широкое распространение получили нейроиммунологические осложнения инфекции SARS-CoV-2. В частности, АТ-GAD были наиболее распространены среди всех антинейрональных антител, выявляемых при COVID-19-ассоциированных заболеваниях [24]. В нашей выборке 3 случая были определены как ассоциированные с COVID-19 (пациенты #17, #30, #37). У всех больных отмечался хороший ответ на иммунотерапию, а пациент #30 был единственным из группы GAD-ЛЭ/Э, который выздоровел полностью (у остальных эпилепсия носила хронический характер).
Синдромальные проявления у наших пациентов были типичными для GAD-АЗ [2, 4]. СРЧ наиболее часто был представлен классическим фенотипом с поражением аксиальной мускулатуры и проксимальных мышц ног. МА чаще всего проявлялась статико-локомоторной атаксией, нистагмом и глазодвигательными нарушениями. В ряде случаев МА отмечались пароксизмальные инсультоподобные эпизоды со стволовой симптоматикой, которые, согласно литературе, встречаются у четверти больных GAD-МА [16, 25]. Особенностью GAD-МА нашей выборки была гемиатаксия или выраженная латерализация симптомов атаксии, наблюдаемые более чем у половины пациентов. В большинстве случаев GAD-Э/ЛЭ эпилепсия развивалась подостро или хронически, что отличает GAD-Э от других аутоиммунных эпилепсий, обычно проявляющихся быстрее [26]. Приступы, как правило, соответствовали фокальной височной эпилепсии [11, 27]. У 2 пациенток приступы провоцировались музыкой, о чем сообщалось и в других исследованиях GAD-Э/ЛЭ, что позволяет рекомендовать тестирование АТ-GAD всем пациентам с этой редкой формой эпилепсии [28]. Зачастую эпилепсия носила фармакорезистентный характер и была более тяжелой у пациентов с изолированной GAD-Э/ ЛЭ, чем при GAD-Э в рамках перекрестного синдрома, — данная тенденция отмечалась и в других когортах [17, 27]. Ряд синдромов, условно обозначаемых как «вторичные проявления заболевания», — когнитивные нарушения, стволовая дисфункция и симптомы миелопатии — часто сопровождали случаи GAD-АЗ, но ни у одного из больных не присутствовали изолированно. Важно подчеркнуть, что у пациентов с данными синдромами и положительными АТ-GAD должны быть тщательно исключены альтернативные диагнозы, поскольку изолированно такие проявления не типичны для GAD-АЗ [17, 20, 21].
Обнаружение АТ-GAD является ключевым для диагностирования GAD-АЗ. Как правило, сывороточные титры АТ-GAD при GAD-АЗ более чем в 100 раз выше, чем при СД 1 типа или при других неврологических заболеваниях [3, 5]. Однако у пациентов с типичными для GAD-АЗ синдромами могут выявляться невысокие титры АТ-GAD, в свою очередь, у больных СД 1 типа может наблюдаться значительное повышение АТ-GAD в крови [17, 18]. При этом АТ-GAD в ЦСЖ обнаруживаются только у пациентов с GAD-АЗ [2, 17], что является весомым аргументом в пользу данного диагноза. Так, в нашей когорте у подавляющего большинства титр АТ-GAD в крови составил более 2000 МЕ/мл. В редких случаях отмечалось небольшое повышение АТ-GAD в крови, но классическая для GAD-АЗ клиническая картина в совокупности с положительными АТ-GAD в ЦСЖ служила основанием для постановки диагноза GAD-АЗ. Согласно литературе, значимых различий в титрах АТ-GAD при СРЧ, МА, ЛЭ/Э не отмечается [4, 17], не обнаружено и корреляции между титрами АТ-GAD и тяжестью заболевания [19, 29]. Однако титры АТ-GAD имеют тенденцию к снижению после иммунотерапии [5, 20, 29].
Клинический анализ ЦСЖ и нейровизуализация играют вспомогательную роль в диагностике GAD-АЗ. Общий анализ ЦСЖ у большинства пациентов демонстрирует норму или незначительное повышение белка и/или плео-цитоз. При этом интратекальный синтез олигоклонального IgG, по разным данным, обнаруживается у 40–70% [19–21]. В нашей когорте редко наблюдались не только изменения в общем анализе ЦСЖ (3,4%), но и 2-й тип синтеза олигоклонального IgG (10%), что, вероятно, может объясняться преобладанием среди фенотипов СРЧ. В других работах 2-й тип чаще всего выявлялся при GAD-ЛЭ, наиболее редко — при GAD-СРЧ, хотя это различие не достигало статистической значимости [4, 17].
МРТ головного мозга может обнаруживать изменения у пациентов с МА и ЛЭ/Э. Порядка половины случаев GAD-МА имеют МР-признаки атрофии мозжечка (наиболее часто — червя). Подобно другим иммуноопосредованным МА, церебеллярная атрофия нередко отсутствует в начале заболевания, но развивается с течением времени [15, 16, 25]. Примерно у 40% GAD-ЛЭ/Э выявляются двусторонние Т2-гиперинтенсивные изменения от медиальных отделов височных долей и гиппокампов, без патологического накопления контрастного вещества [11]. Признаки височной кортикальной атрофии, как правило, отсутствуют в дебюте GAD-ЛЭ/Э, но зачастую присоединяются спустя 6–12 мес [27]. МРТ-данные наших пациентов соответствовали описанным ранее. Однако одно наблюдение МА (пациентка #19) было нетипичным, обнаружив воспалительные изменения от височных долей и в левом полушарии мозжечка с неоднородным накоплением контрастного вещества (см. рис. 3). При МРТ в динамике (через 4 мес после инициирования терапии ритуксимабом) патологического накопления контрастного вещества не отмечалось, интенсивность и размер Т2-гиперинтенсивных зон несколько уменьшились. В литературе мы не встретили описаний GAD-МА с подобной МРТ-картиной.
Лечение GAD-АЗ состоит из трех компонентов: иммунотерапии, симптоматической терапии и лечения сопутствующих аутоиммунных расстройств и/или лежащего в основе злокачественного новообразования. У пациентов с СРЧ симптоматическое лечение часто представляет собой первую линию терапии, поскольку позволяет достичь разрешения или по крайней мере улучшения симптомов в 75–100% случаев [17, 20]. Препаратами выбора являются бензодиазепины (диазепам 5–100 мг/день, клоназепам 1–6 мг/день) и баклофен (10–100 мг/день). В качестве альтернативы возможно использование противоэпилептических препаратов (леветирацетама, габапентина, прегабалина, вальпроевой кислоты), тизанидина, дантролена и инъекций ботулинического токсина [10, 12]. Тем не менее у большинства больных симптомы со временем прогрессируют и требуют иммунотерапии [13]. В нашей когорте все пациенты с СРЧ получали симптоматическую терапию, и порядка 35% достигли улучшения именно на ней, без иммуносупрессии.
Иммунотерапию получали 80% наших пациентов, из них 80% — постоянную иммуносупрессию. При GAD-АЗ используются традиционные для аутоиммунных неврологических расстройств препараты: ВВИГ, пульс-терапия метилпреднизолоном (3–6 г), высокообъемный ПФ (2–5 сеансов) или их комбинация [2, 4]. Ритуксимаб (1000–2000 мг) и циклофосфамид (600–1000 мг/м2) применяются в случае резистентности к иммунотерапии первой линии [10, 11, 29]. Большинству больных требуется постоянная иммуносупрессия: ежемесячные курсы ВВИГ или ПФ, длительный прием малых доз глюкокортикостероидов в сочетании или без с цитостатиками (азатиоприном, микофенолата мофетилом или циклофосфамидом) или регулярные инфузии ритуксимаба/циклофосфамида [25, 27, 30]. Единого мнения относительно предпочтительных вариантов и режимов иммуносупрессии при разных фенотипах GAD-АЗ нет, поскольку рандомизированные исследования терапии GAD-АЗ пока единичны. Так, для GAD-СРЧ в нескольких исследованиях подтверждена эффективность ВВИГ [30, 31]. Данные об эффективности ритуксимаба при СРЧ противоречивы: сообщается об отдельных случаях успешного лечения СРЧ ритуксимабом, однако плацебо-контролируемое исследование не показало его преимущества (при этом нельзя исключить влияние на результат сильного эффекта плацебо) [29]. В нашей когорте ВВИГ получали только 3 пациента с СРЧ, что может быть объяснено дороговизной препарата. Стойкий положительный эффект наблюдался в одном случае — у пациентки #36 сохранялась минимальная инвалидизация (1–2 балла по MRS) на протяжении четырех лет регулярных введений ВВИГ (1–2 г/кг на курс каждые 1–4 мес). Терапия ритуксимабом проводилась только пациенту #12, и улучшение состояния было достигнуто именно в ответ на этот вариант иммуносупрессии, при этом используемые ранее ПФ, глюкокортикостероиды, азатиоприн не были эффективны. Рандомизированных исследований терапии при других фенотипах GAD-АЗ в настоящее время нет. Кроме «классических» подходов, сообщается об успешном применении тоцилизумаба при GAD-Э со сверхрезистентном эпилептическим статусом [32], обсуждаются возможные преимущества хирургического лечения в некоторых случаях GAD-Э [33]. Ввиду немногочисленности исследований и неоднородности ответа на лечение даже внутри одного фенотипа выбор терапевтических опций должен осуществляться индивидуально, с учетом тяжести состояния, сопутствующих заболеваний пациента, ответа на лечение и экономического фактора.
Ответ на лечение в виде, как минимум, стабилизации состояния и замедления прогрессирования симптомов отмечался у 92,1% пациентов, при этом улучшения со снижением инвалидизации («оптимальный» ответ) достигли 65,8%, выздоровел 1 (2,6%) пациент. Эти результаты соответствуют данными зарубежных исследований, согласно которым улучшение наблюдается у 46–95% больных GAD-АЗ, выздоровление — у 0–1% (до 16,7%) [17–21]. Существенный диапазон результатов связан с разными подходами к оценке «клинического улучшения» и разнородностью когорт (преобладанием тех или иных фенотипов). Возможным объяснением столь низкой частоты случаев полного регресса симптоматики может быть сочетание как функционального, так и структурного повреждения нейронов [4, 25] — иммунотерапия позволяет восстановить функцию клеток, но гибель клеток необратима. Другим значимым фактором, потенциально снижающим эффективность иммунотерапии, является значительная задержка в диагностировании GAD-АЗ, которая в нашей когорте составила 40,5 мес, в других исследованиях — от 5,0 до 50,5 мес [17, 21, 30]. Ввиду немногочисленности и гетерогенности выборки пациентов в рамках данной работы не анализировались результаты лечения в зависимости от ранней или поздней постановки диагноза, однако понимание иммуноассоциированной природы GAD-АЗ указывает на необходимость стремления к раннему началу патогенетического лечения. Важность раннего начала иммунотерапии иллюстрируют наблюдения комбинированных GAD-АЗ, ранее не получавших иммуносупрессии, — у пациентов #37 и #38 на фоне иммунотерапии регрессировали проявления «второго», недавно присоединившегося синдрома и не отмечалось улучшения со стороны «первого».
Статистически значимых различий в ответе на иммунотерапию среди фенотипов GAD-АЗ в нашей работе, как и в ряде других [20, 21], получено не было. При этом необходимо отметить немногочисленность пациентов с известными данными катамнеза в каждой из подгрупп (СРЧ, МА, ЛЭ/Э, перекрестный синдром), что могло повлиять на результат. В то же время во многих исследованиях GAD-АЗ отмечалось, что СРЧ реагирует на иммунотерапию лучше, чем Э и МА [17, 19, 21]. В нашей выборке частота «оптимального» ответа на лечение также была наиболее высокой при СРЧ (75%). В подгруппе GAD-МА улучшения со снижением инвалидизации достигли 70% пациентов — несколько больше, чем в других исследованиях (41–64%) [16, 17, 21, 25]. GAD-ассоциированная эпилепсия — наиболее стойкий к лечению синдром, зачастую приступы устойчивы к противоэпилептическим препаратам, и, несмотря на ограниченную эффективность иммунотерапии, ее применение повышает вероятность достижения контроля над приступами [27]. Среди наших пациентов частота приступов снизилась более чем на 50% лишь у 20%. Схожие результаты наблюдались и в других когортах [11, 20], при долгосрочном наблюдении приступы сохранялись у 80%, когнитивные нарушения — у 69% [27]. В работе N. Hansen et al. анализ исходов симптоматической эпилепсии при ЛЭ показал, что в группе «GAD-ЛЭ» приступы полностью регрессировали только у 18%, а в группе «паранеопластические ЛЭ с другими антителами» — у 55% [34]. Однако в целом паранеопластические GAD-АЗ медленнее прогрессируют и лучше отвечают на иммунотерапию, чем паранеопластические синдромы, ассоциированные с «онконевральными» антителами [8, 23].
Ограничения исследования
У исследования есть ряд следующих ограничений.
- Особенности выборки, обусловленные спецификой работы федерального центра (ФГБНУ НЦН): обращение пациентов с диагностически сложными и труднокурабельными заболеваниями; преобладание случаев/ фенотипов с хроническим течением (СРЧ, МА); редкость случаев с острым монофазным течением (ЛЭ).
- У части пациентов данные катамнеза отсутствовали или оценивались ретроспективно на основании медицинской документации.
- Ответ на лечение оценивался в относительно субъективных категориях («субоптимальный», «оптимальный»). Более объективные параметры (MRS, SARA, частота приступов, MoCA) также использовались, но преимущественно для характеристики состояния на момент первичного обращения.
- Исследование выполнено в рамках одноцентровой когорты, проспективное наблюдение было непродолжительным. Для более полной характеристики клинических особенностей и долгосрочных исходов GAD-АЗ в российской популяции необходимы многоцентровые исследования с участием большой группы пациентов.
Заключение
Необходимо подчеркнуть, что своевременная диагностика GAD-АЗ крайне важна, поскольку патогенетическое лечение — иммунотерапия — наиболее эффективна на ранних стадиях заболевания. В связи с относительной редкостью GAD-АЗ и широкой вариабельностью их клинических проявлений отмечается низкая информированность врачей о данном спектре заболеваний, и, несмотря на возрастающую доступность тестирования АТ-GAD, зачастую диагноз устанавливается со значительной задержкой.
Таким образом, накопление знаний о клинической гетерогенности GAD-АЗ, углубление понимания патофизиологических механизмов GAD-аутоиммунитета, поиск прогностических маркеров, а также стандартизация схем иммунотерапии являются важными задачами будущих исследований.
Дополнительная информация
Источник финансирования. Исследование выполнено за счет финансирования по месту работы авторов. Публикация статьи осуществлена за счет сертификата, полученного авторами в качестве награды за победу в конкурсе научных работ в рамках конгресса «Орфанный практикум–2023».
Конфликт интересов. Авторы данной статьи подтвердили отсутствие конфликта интересов, о котором необходимо сообщить.
Участие авторов. Е.О. Чеканова — дизайн исследования, проведение обследования пациентов, составление базы данных пациентов, анализ и интерпретация результатов, написание статьи, подготовка статьи к публикации; Е.П. Нужный — концепция и дизайн исследования, проведение обследования пациентов, составление базы данных пациентов, анализ и интерпретация результатов, редактирование текста статьи; Е.Ю. Федотова — проведение обследования пациентов, прочтение и анализ статьи, внесение корректировок и одобрение направления рукописи на публикацию; Е.В. Шалиманова — проведение электроэнцефалографических исследований пациентов, анализ полученных данных, участие в написании статьи, редактирование текста статьи; Е.А. Головнёва — проведение электроэнцефалографических исследований пациентов, анализ полученных данных; М.Н. Захарова — прочтение и анализ статьи, внесение корректировок и одобрение направления рукописи на публикацию. Все авторы внесли значимый вклад в проведение исследования, подготовку статьи, прочли и одобрили финальную версию перед публикацией.
About the authors
Ekaterina О. Chekanova
Research Center of Neurology
Author for correspondence.
Email: chekanova@neurology.ru
ORCID iD: 0000-0001-5442-0877
SPIN-code: 9319-8156
MD, PhD
Russian Federation, MoscowEvgeniy P. Nuzhnyi
Research Center of Neurology
Email: enuzhny@mail.ru
ORCID iD: 0000-0003-3179-7668
SPIN-code: 5571-3386
MD
Russian Federation, MoscowEkaterina Yu. Fedotova
Research Center of Neurology
Email: ekfed@mail.ru
ORCID iD: 0000-0001-8070-7644
SPIN-code: 3466-2212
MD, PhD
Russian Federation, MoscowElena V. Shalimanova
Research Center of Neurology
Email: elena.shalim@yandex.ru
ORCID iD: 0000-0003-1245-0095
SPIN-code: 6687-4334
MD, PhD
Russian Federation, MoscowEugenia A. Golovneva
Research Center of Neurology
Email: golovnyova@neurology.ru
ORCID iD: 0000-0003-3307-8472
SPIN-code: 5214-1318
MD, PhD Student
Russian Federation, MoscowMaria N. Zakharova
Research Center of Neurology
Email: zakharova@neurology.ru
ORCID iD: 0000-0002-1072-9968
SPIN-code: 4277-2860
MD, PhD, Professor
Russian Federation, MoscowReferences
- Solimena M, De Camilli P. Autoimmunity to glutamic acid decarboxylase (GAD) in Stiff–Man syndrome and insulin-dependent diabetes mellitus. Trends Neurosci. 1991;14(10):452–457. doi: https://doi.org/10.1016/0166-2236(91)90044-u
- Graus F, Saiz A, Dalmau J. GAD antibodies in neurological disorders — insights and challenges. Nat Rev Neurol. 2020;16(7):353–365. doi: https://doi.org/10.1038/s41582-020-0359-x
- Baekkeskov S, Aanstoot HJ, Christgau S, et al. Identification of the 64K autoantigen in insulin-dependent diabetes as the GABA-synthesizing enzyme glutamic acid decarboxylase. Nature. 1990;347(6289):151–156. doi: https://doi.org/10.1038/347151a0
- Dade M, Berzero G, Izquierdo C, et al. Neurological Syndromes Associated with Anti-GAD Antibodies. Int J Mol Sci. 2020;21(10):3701. doi: https://doi.org/10.3390/ijms21103701
- Nakajima H, Nakamura Y, Inaba Y, et al. Neurologic disorders associated with anti-glutamic acid decarboxylase antibodies: A comparison of anti-GAD antibody titers and time-dependent changes between neurologic disease and type I diabetes mellitus. J Neuroimmunol. 2018;317:84–89. doi: https://doi.org/10.1016/j.jneuroim.2018.01.007
- Краснов М.Ю., Павлов Э.В., Ершова М.В., и др. Спектр неврологических синдромов, ассоциированных с антителами к глутаматдекарбоксилазе // Анналы клинической и экспериментальной неврологии. — 2015. — Т. 9. — № 4. — С. 37–41. [Krasnov MYu, Pavlov EV, Ershova MV, et al. The range of neurological syndromes associated with glutamic acid decarboxylase antibodies. Annals of Clinical and Experimental Neurology. 2015;9(4):37–41. (In Russ.)] doi: https://doi.org/10.17816/psaic82
- Нужный Е.П., Краснов М.Ю., Ахмадуллина Д.Р., и др. Атаксия, ассоциированная с антителами к глутаматдекарбоксилазе // Неврология, нейропсихиатрия, психосоматика. — 2020. — Т. 12. — № 5. — С. 66–70. [Nuzhnyi EP, Krasnov MYu, Akhmadullina DR, et al. Ataxia associated with anti-glutamic acid decarboxylase antibodies. Nevrologiya, neiropsikhiatriya, psikhosomatika = Neurology, Neuropsychiatry, Psychosomatics. 2020;12(5):66–70. (In Russ.)] doi: https://doi.org/10.14412/2074-2711-2020-5-66-70
- Graus F, Vogrig A, Muñiz-Castrillo S, et al. Updated Diagnostic Criteria for Paraneoplastic Neurologic Syndromes. Neurol Neuroimmunol Neuroinflamm. 2021;8(4):e1014. doi: https://doi.org/10.1212/NXI.0000000000001014
- Rada A, Bien CG. What is autoimmune encephalitis-associated epilepsy? Proposal of a practical definition. Epilepsia. 2023;64(9):2249–2255. doi: https://doi.org/10.1111/epi.17699
- Vlad B, Wang Y, Newsome SD, et al. Stiff Person Spectrum Disorders-An Update and Outlook on Clinical, Pathophysiological and Treatment Perspectives. Biomedicines. 2023;11(9):2500. doi: https://doi.org/10.3390/biomedicines11092500
- Daif A, Lukas RV, Issa NP, et al. Antiglutamic acid decarboxylase 65 (GAD65) antibody-associated epilepsy. Epilepsy Behav. 2018;80:331–336. doi: https://doi.org/10.1016/j.yebeh.2018.01.021
- McKeon A, Robinson MT, McEvoy KM, et al. Stiff-man syndrome and variants: clinical course, treatments, and outcomes. Arch Neurol. 2012;69(2):230–238. doi: https://doi.org/10.1001/archneurol.2011.991
- Wang Y, Hu C, Aljarallah S, et al. Expanding clinical profiles and prognostic markers in stiff person syndrome spectrum disorders. J Neurol. 2024;271(4):1861–1872. doi: https://doi.org/10.1007/s00415-023-12123-0
- Falip M, Carreño M, Miró J, et al. Prevalence and immunological spectrum of temporal lobe epilepsy with glutamic acid decarboxylase antibodies. Eur J Neurol. 2012;19(6):827–833. doi: https://doi.org/10.1111/j.1468-1331.2011.03609.x
- Hadjivassiliou M, Martindale J, Shanmugarajah P, et al. Causes of progressive cerebellar ataxia: prospective evaluation of 1500 patients. J Neurol Neurosurg Psychiatry. 2017;88(4):301–309. doi: https://doi.org/10.1136/jnnp-2016-314863
- Aguiar TS, Fragoso A, Albuquerque CR, et al. Clinical characteristics of patients with cerebellar ataxia associated with anti-GAD antibodies. Arq Neuropsiquiatr. 2017;75(3):142–146. doi: https://doi.org/10.1590/0004-282X20170011
- Budhram A, Sechi E, Flanagan EP, et al. Clinical spectrum of high-titre GAD65 antibodies. J Neurol Neurosurg Psychiatry. 2021;92(6):645–654. doi: https://doi.org/10.1136/jnnp-2020-325275
- Kuo YC, Lin CH. Clinical spectrum of glutamic acid decarboxylase antibodies in a Taiwanese population. Eur J Neurol. 2019;26(11):1384–1390. doi: https://doi.org/10.1111/ene.14005
- Madlener M, Strippel C, Thaler FS, et al. Glutamic acid decarboxylase antibody-associated neurological syndromes: Clinical and antibody characteristics and therapy response. J Neurol Sci. 2023;445:120540. doi: https://doi.org/10.1016/j.jns.2022.120540
- Muñoz-Lopetegi A, de Bruijn MAAM, Boukhrissi S, et al. Neurologic syndromes related to anti-GAD65: Clinical and serologic response to treatment. Neurol Neuroimmunol Neuroinflamm. 2020;7(3):e696. doi: https://doi.org/10.1212/NXI.0000000000000696
- Bai L, Ren H, Liang M, et al. Neurological disorders associated with glutamic acid decarboxylase 65 antibodies: Clinical spectrum and prognosis of a cohort from China. Front Neurol. 2022;13:990553. doi: https://doi.org/10.3389/fneur.2022.990553
- Shiba T, Morino Y, Tagawa K, et al. Onset of diabetes with high titer anti-GAD antibody after IFN therapy for chronic hepatitis. Diabetes Res Clin Pract. 1995;30(3):237–241. doi: https://doi.org/10.1016/0168-8227(95)01188-9
- Ariño H, Höftberger R, Gresa-Arribas N, et al. Paraneoplastic Neurological Syndromes and Glutamic Acid Decarboxylase Antibodies. JAMA Neurol. 2015;72(8):874–881. doi: https://doi.org/10.1001/jamaneurol.2015.0749
- Saffari P, Aliakbar R, Haritounian A, et al. A Sharp Rise in Autoimmune Encephalitis in the COVID-19 Era: A Case Series. Cureus. 2023;15(2):e34658. doi: https://doi.org/10.7759/cureus.34658
- Ariño H, Gresa-Arribas N, Blanco Y, et al. Cerebellar ataxia and glutamic acid decarboxylase antibodies: immunologic profile and long-term effect of immunotherapy. JAMA Neurol. 2014;71(8):1009–1016. doi: https://doi.org/10.1001/jamaneurol.2014.1011
- Dubey D, Pittock SJ, McKeon A. Antibody Prevalence in Epilepsy and Encephalopathy score: Increased specificity and applicability. Epilepsia. 2019;60(2):367–369. doi: https://doi.org/10.1111/epi.14649
- Joubert B, Belbezier A, Haesebaert J, et al. Long-term outcomes in temporal lobe epilepsy with glutamate decarboxylase antibodies. J Neurol. 2020;267(7):2083–2089. doi: https://doi.org/10.1007/s00415-020-09807-2
- Jesus-Ribeiro J, Bozorgi A, Alkhaldi M, et al. Autoimmune musicogenic epilepsy associated with anti-glutamic acid decarboxylase antibodies and Stiff-person syndrome. Clin Case Rep. 2019;8(1):61–64. doi: https://doi.org/10.1002/ccr3.2538
- Dalakas MC, Rakocevic G, Dambrosia JM, et al. A double-blind, placebo-controlled study of rituximab in patients with stiff person syndrome. Ann Neurol. 2017;82(2):271–277. doi: https://doi.org/10.1002/ana.25002
- Yi J, Dalakas MC. Long-term Effectiveness of IVIg Maintenance Therapy in 36 Patients with GAD Antibody-Positive Stiff-Person Syndrome. Neurol Neuroimmunol Neuroinflamm. 2022;9(5):e200011. doi: https://doi.org/10.1212/NXI.0000000000200011
- Dalakas MC, Fujii M, Li M, et al. High-dose intravenous immune globulin for stiff-person syndrome. N Engl J Med. 2001;345(26):1870–1876. doi: https://doi.org/10.1056/NEJMoa01167
- Jaafar F, Haddad L, Koleilat N, et al. Super refractory status epilepticus secondary to anti-GAD antibody encephalitis successfully treated with aggressive immunotherapy. Epilepsy Behav Rep. 2020;14:100396. doi: https://doi.org/10.1016/j.ebr.2020.100396
- Dimova P, Minkin K. Case Report: Multisystem Autoimmune and Overlapping GAD65-Antibody-Associated Neurological Disorders with Beneficial Effect of Epilepsy Surgery and Rituximab Treatment. Front Neurol. 2022;12:756668. doi: https://doi.org/10.3389/fneur.2021.756668
- Hansen N, Widman G, Witt JA, et al. Seizure control and cognitive improvement via immunotherapy in late onset epilepsy patients with paraneoplastic versus GAD65 autoantibody-associated limbic encephalitis. Epilepsy Behav. 2016;65:18–24. doi: https://doi.org/10.1016/j.yebeh.2016.10.016
Supplementary files








