Clinical Anatomical Characteristics of Patients with Rhino-Orbit-Cerebral Mucormycosis
- Authors: Kolsanov A.V.1, Zelter P.M.1, Zeleva O.V.1, Ivanova O.V.1, Lyamin A.V.1, Sidorov E.A.1, Vladimirova T.Y.1, Kozlov A.V.1, Pyshkina Y.S.1
-
Affiliations:
- Samara State Medical University
- Issue: Vol 77, No 6 (2022)
- Pages: 381-390
- Section: INFECTIOUS DISEASES: CURRENT ISSUES
- Published: 04.02.2023
- URL: https://vestnikramn.spr-journal.ru/jour/article/view/2193
- DOI: https://doi.org/10.15690/vramn2193
- ID: 2193
Cite item
Full Text
Abstract
Background. Postponed coronavirus infection (COVID-19), accompanied by an immunosuppressive state and associated with the risk of secondary diseases such as mucormycosis. Diabetes mellitus is an independent risk factor for both severe COVID-19 and mucormycosis.
Aims — our aim was to experience the diagnosis and treatment of rhino-orbitocerebral mucormycosis in post-COVID-19 patients.
Materials. A single-center, observational, non-randomized, cohort comparative study was conducted. We assessed the clinical features, risk factors, diagnosis and outcomes of mucormycosis among recovered COVID-19 patients with hospitalisation in the otorhinolaryngology department of the Samara State Medical University Clinics, Samara, from September–December 2021. CT examinations were performed on Revolution EVO CT scanner (GE, Russia) and MRI on Aera MR scanner 1.5 T (Siemens, Germany). Materials for microbiological and histopathological examination were taken from all examined patients intraoperatively.
Results. The experience of diagnosing and treating rhinoorbitocerebral mucormycosis in patients after a new coronavirus infection was analyzed, the influence of the complex use of radiation diagnostic methods, histopathological and microbiological methods on the development and effectiveness of mucormycosis treatment was determined.
Conclusions. The effectiveness of disease management directly depends on the early initiation of etiotropic treatment, while the role of complex radiological diagnostics, histopathological and microbiological methods is important for early confirmation of the fungal etiology of the disease.
Full Text
Обоснование
Мукормикоз — крайне опасное для жизни человека ангиоинвазивное заболевание, которое вызывается грибками из класса Zygomycetes, отряда Mucorales. Принадлежащие к отряду Mucorales грибы представлены шестью семействами, причем все они могут вызывать мукормикоз различных локализаций. Rhizopus Oryzae является наиболее распространенным типом (до 60% случаев мукормикоза у людей), а также составляет 90% риноорбитоцеребральной формы (РОЦМ) [1]. Заражение происходит обычно при вдыхании спор грибов.
Заболеваемость мукормикозом ранее оценивалась как 0,005–1,7 на 1 млн населения [2]. О многочисленных случаях мукормикоза, связанного с COVID-19, сообщалось из Индии с указанием на связь с неконтролируемым сахарным диабетом (СД) и его высокой распространенностью в стране [3]. Однако начиная с 2020 г. были зарегистрированы случаи за пределами Индии, включая страны Европы, Ближнего Востока, Северной и Южной Америки, с распространенностью от 0,3 до 0,8% [4]. Общие характеристики пациентов с РОЦМ включали наличие фактора риска у 95% пациентов, в основном СД (82,5%). У большинства пациентов СД был плохо- или неконтролируемым (80,3%), и 75% пациентов получали системные кортикостероиды [3, 5].
Основные причины, которые способствуют прорастанию спор Mucorales у людей, перенесших COVID-19: среда с низким содержанием кислорода (гипоксия), высоким содержанием глюкозы (диабет, впервые возникшая гипергликемия, гипергликемия, вызванная стероидами); кислая среда (метаболический ацидоз, диабетический кетоацидоз); высокий уровень железа (повышенный уровень ферритинов) и снижение фагоцитарной активности лейкоцитов из-за иммуносупрессии (опосредованные SARS-CoV-2, стероид-опосредованные или сопутствующие заболевания) в сочетании с другими факторами, включая длительную госпитализацию с аппаратом искусственной вентиляции легких или без него. Данная грибковая инфекция возникает в течение 60 дней после начала заражения COVID-19 и рассматривается как ковид-ассоциированный мукормикоз [6]. В обзоре A.K. Singh et al. [7] приводится предполагаемая схема патогенеза мукормикоза у пациентов после перенесенной новой коронавирусной инфекции (рис. 1).
Рис. 1. Предполагаемая схема патогенеза мукормикоза у пациентов после коронавирусной инфекции [7]
Преобладающий клинический фенотип инфекционного процесса, обусловленного вирусом SARS-CoV-2, проявляется поражением верхних дыхательных путей с последующим развитием пневмонии, когда вирус проникает в респираторный эпителий, связываясь с рецепторами ангиотензин-превращающего фермента. Более тяжелая вторая стадия этого заболевания вызвана системным воспалением и коагулопатией, обусловливающими прямое повреждение кровеносных сосудов. Наблюдаемая коагулопатия относится к тромботическим микроангиопатиям. Это приводит к повреждению эндотелия и тромбозу микрососудов на фоне существующей иммуносупрессии. Данные свидетельствуют о том, что SARS-CoV-2 также вызывает повреждение островков поджелудочной железы, что приводит к острому диабету и диабетическому кетоацидозу. Это объясняет возникновение СД 2 типа при новой коронавирусной инфекции. Данный факт может быть обусловлен тем, что в островках поджелудочной железы наблюдается высокая экспрессия рецепторов ангиотензин-превращающего фермента, а также существует риск развития повышенной инсулинорезистентности в случае развития «цитокинового шторма» [8]. Частое использование глюкокортикостероидов, усугубляющих метаболизм глюкозы, предрасполагает развитие у пациентов мукормикоза, так как известно, что кортикостероиды выступают ключевым фактором риска развития оппортунистических микозов [9].
На фоне появления COVID-19 наблюдается заметный рост заболеваемости мукормикозом челюстно-лицевой области и околоносовых пазух. РОЦМ возникает, когда споры грибов попадают в полость носа и пазух при дыхании. Некроз тканей — зачастую поздний признак клинических проявлений мукормикоза, возникающий в результате ангиоинвазии и тромбоза сосудов. Основной группой риска по развитию риноцеребральных форм мукормикоза являются пациенты с СД, принимающие кортикостероиды [10].
Смертность от РОЦМ высока: по данным индийских исследований, она составляет от 50 до 80% [11].
Цель исследования — проанализировать опыт диагностики и лечения риноорбитоцеребрального мукормикоза у пациентов после перенесенной новой коронавирусной инфекции.
Дизайн исследования
Проведено одноцентровое, обсервационное, нерандомизированное, когортное исследование.
Критерии включения:
- пациенты с риноорбитоцеребральной формой мукормикоза;
- возраст исследуемых старше 18 лет;
- наличие информированного добровольного согласия пациента на участие в исследовании.
Критерии исключения:
- исследуемые младше 18 лет;
- пациенты с нейтропенией, гематологическими злокачественными новообразованиями, трансплантацией стволовых клеток и другой патологией иммунной системы;
- отсутствие подписанного информированного согласия на участие в исследовании.
Гипотеза — влияние комплексного использования методов лучевой диагностики, гистопатологических и микробиологических методов на развитие и эффективность лечения мукормикоза.
Условия проведения
Исследование проводилось на базе клиник ФГБОУ ВО «Самарский государственный медицинский университет» (СамГМУ) Минздрава России, г. Самара.
Продолжительность исследования
Исследование проводилось с сентября по декабрь 2021 г.
Описание медицинского вмешательства
Мы оценили клинические особенности, предрасполагающие факторы, диагноз и исходы мукормикоза среди пациентов, перенесших COVID-19 и проходивших лечение в отделении оториноларингологии Клиник СамГМУ.
Всем обследуемым были проведены исследования околоносовых пазух и органов грудной клетки на компьютерном томографе Revolution EVO (GE, Россия), пятерым больным выполнена магнитно-резонансная томография (МРТ) околоносовых пазух и головного мозга на МР-томографе Aera (Siemens, Германия) с напряженностью магнитного поля 1,5 Tл.
У всех пациентов интраоперационно забраны материалы на микробиологическое и гистопатологическое исследование с последующим подтверждением диагноза мукормикоза. Ведение пациентов осуществлялось согласно рекомендациям Европейской конфедерации медицинской микологии и включало удаление некротизированных тканей и этиотропную противогрибковую терапию (амфотерицин В) [12].
Объемная синусовая некрэктомия проводилась под контролем видеоэндоскопической визуализации. С помощью прямого эндоскопа 0° осматривалась полость носа и носоглотки. Под контролем эндоскопа 0° с помощью прямых кусачек, щипцов Блексли и распатора удалялась единым блоком перегородка до живых тканей. Далее переходили к клеткам решетчатого лабиринта и удаляли все некротизированные ткани и фрагменты костных деструктивных изменений до здоровых участков. Резецировали измененный задний конец нижней носовой раковины и убирали некротизированную среднюю носовую раковину, переднюю стенку клиновидной пазухи и утолщенную слизистую оболочку с целью визуализации внутрипазушных структур, изменений задней и нижней стенок пазухи. Внутрипазушную перегородку скусывали угловыми кусачками. С помощью угловой оптики 45° и изогнутых кусачек удаляли медиальную стенку пораженной верхнечелюстной пазухи, убирали слизистую оболочку с участками некроза и патологическое содержимое. Вскрывали орбиту под контролем 3D-КТ-визуализации со стороны медиального угла глаза и решетчатой кости. Убирали пораженную заднюю стенку верхнечелюстной пазухи и обозревали фасцию крылонебной ямки, которая часто была поражена и также удалялась с помощью кусачек. Верхнечелюстная и нисходящая небная артерии при необходимости коагулировались с помощью биполярного коагулятора. Пораженная жировая ткань крылонебной ямки также удалялась.
В ходе хирургического вмешательства пораженные ткани и патологическое отделяемое направлялись для микроскопического и микробиологического исследований на бактериальную микрофлору и микромицеты.
Исходы исследования
В ходе исследования проанализированы данные анамнеза, течения заболевания, лучевой диагностики, гистопатологических и микробиологических методов. Лечение проводилось согласно рекомендациям Европейской конфедерации медицинской микологии [12].
Методы регистрации исходов
Всем обследуемым были проведены КТ околоносовых пазух и органов грудной клетки, пятерым больным выполнена МРТ околоносовых пазух и головного мозга. У всех пациентов интраоперационно забраны материалы на микробиологическое и гистопатологическое исследование с последующим подтверждением диагноза мукормикоза.
Этическая экспертиза
Исследование было одобрено комитетом по биоэтике ФГБОУ ВО «СамГМУ» Минздрава России (протокол № 212 от 11 сентября 2020 г.). Пациенты, включенные в исследование, подписывали информированное добровольное согласие.
Статистический анализ
Принципы расчета размера выборки. Размер выборки предварительно не рассчитывался.
Методы статистического анализа данных. Статистическую обработку результатов проводили на персональном компьютере с помощью программы Microsoft Excel. Анализировали количественные и качественные параметры.
Результаты
Объекты (участники) исследования
В исследование было включено 15 пациентов с РОЦМ, которые прошли лечение в отделении оториноларингологии Клиник СамГМУ.
Анамнез
Все пациенты имели схожий анамнез заболевания: перенесенная новая коронавирусная инфекция среднетяжелого или тяжелого течения, подтвержденная ПЦР-диагностикой; ожирение I–II степеней; лечение антибактериальными препаратами различных групп; прием кортикостероидов и моноклональных антител. У большинства обследуемых в анамнезе был СД 2 типа или СД был впервые поставлен во время госпитализации.
Жалобы
При обращении пациенты предъявляли жалобы на дискомфорт, онемение одной из сторон лица, слизисто-гнойные или гнойные выделения из одной или обеих половин носа, головную боль, снижение или потерю зрения на один глаз, асимметрию глазных щелей (рис. 2), эмоционально-тревожные расстройства (табл. 1).
Рис. 2. Асимметрия и отечность лица
Таблица 1. Анализ анамнеза, жалоб, эндоскопической картины и факторов риска у пациентов
Возраст пациента (лет), пол | Клинические симптомы | Наличие СД 2 типа |
62, Ж | Головная боль, заложенность носа, дискомфорт в области глазниц, отек век, асимметрия глазных щелей | + |
39, М | Головная боль с проекцией в лобные пазухи, заложенность носа, слепота на левый глаз, экзофтальм | + |
60, М | Слепота правого глаза, отек век, выделение жидкости из глазной щели, головная боль | + |
42, Ж | Головная боль, выделения из носа, дискомфорт в области правой верхнечелюстной пазухи и глазницы | + |
57, М | Головная боль, заложенность носа, гнойные выделения из полости носа, чувство распирания в проекции верхнечелюстных пазух, отек правой половины лица | + |
58, М | Головная боль с локализацией в проекции височной кости справа, заложенность носа, слизисто-гнойные выделения из полости носа, чувство распирания в проекции верхнечелюстных пазух | + |
48, Ж | Головная боль, затруднение носового дыхания, онемение и отек левой половины лица | + (кетоацидоз) |
69, М | Отек параорбитальной клетчатки справа, затруднение носового дыхания, гнойные выделения из носа, снижение зрения правого глаза, опущение правого века, затруднение дыхания | + |
74, Ж | Заложенность носа, слизисто-гнойные выделения из полости носа, отек параорбитальной клетчатки справа | + |
67, Ж | Головная боль, заложенность носа, выделения из носа, дискомфорт в области правого глаза | + (кетоацидоз) |
73, Ж | Заложенность носа, гнойные выделения из носа, болезненность в области левой верхнечелюстной пазухи с иррадиацией в верхнюю челюсть, отечность левой половины лица, периодические головные боли, снижение чувствительности левой половины лица | + |
56, М | Головная боль, выделения из носа, боль в области правой половины лица | + |
69, М | Головная боль в проекции лобных, верхнечелюстных пазух с иррадиацией в правую параорбитальную область, гнойное отделяемое из носа, затруднение носового дыхания | + |
66, М | Головная боль, боль в области левого глаза, снижение зрения слева, выделения из носа, параорбитальный отек слева | – |
49, Ж | Головная боль, выделения из носа, заложенность носа, болезненность в области правой половины лица и правого глаза, отечность правой половины лица | + |
Первичный осмотр
С помощью прямого эндоскопа 0° осматривалась полость носа и носоглотки. Визуализировались участки множественного некроза средних и задних отделов перегородки носа, задних концов нижних носовых раковин и средние носовые раковины, медиальная стенка верхнечелюстной пазухи с костной деструкцией на стороне поражения, некротизированные ткани в области решетчатого лабиринта и медиальной стенки орбиты. При этом противоположная сторона могла быть не изменена. Типичная эндоскопическая картина представлена на рис. 3.
Рис. 3. Видеоэндоскопический осмотр полости носа
Основные результаты исследования
Диагностическая визуализация. Проведенные комплексные исследования с помощью лучевых методов диагностики помогли выявить объем поражения и вовлечения в процесс структур глазницы и головного мозга (рис. 4–6), определить объем хирургического вмешательства и дальнейшую тактику ведения. Лучевые паттерны поражения представлены в табл. 2.
Рис. 4. КТ околоносовых пазух двух пациентов: А — аксиальная плоскость, мягкотканое электронное окно; Б — корональная плоскость, костное электронное окно. А — определяются содержимое в правой верхнечелюстной пазухе, деструкция латеральной стенки и инфильтрация мягких тканей (*) позади периантральной области за счет распространения грибкового процесса; Б — двустороннее поражение придаточных пазух с неравномерным их заполнением, субтотальное в правой верхнечелюстной пазухе и ячейках решетчатого лабиринта, деструкция кости правых отделов твердого неба и нижней стенки правой верхнечелюстной пазухи (стрелка).
Рис. 5. А — МРТ головного мозга и околоносовых пазух, аксиальная плоскость, Т2-взвешенное изображение (ВИ); Б — КТ орбит, аксиальная плоскость, мягкотканое электронное окно. А — определяется распространение воспаления из пазух носа в левую орбиту, в медиальных отделах левой орбиты — участок воспаления ретробульбарной клетчатки (*) в виде зоны изо/ гипоинтенсивного на Т2-ВИ; Б — тотальное заполнение решетчатого лабиринта с пролабированием через неизмененную медиальную стенку глазницы и инвазией в ретробульбарную клетчатку с поражением глазодвигательных мышц и зрительного нерва.
Рис. 6. МРТ головного мозга и околоносовых пазух, корональная плоскость (А), аксиальная плоскость (Б, В): А – Т2-ВИ; Б, В – FLAIR. Отмечается инвазия из пазух носа в полость черепа с вовлечением оболочек и вещества мозга. Зона менингоэнцефалита (черный контур) имеет неоднородный гиперинтенсивный МР-сигнал на Т2-ВИ и FLAIR. По периферии зоны энцефалита определяется отек вещества мозга (белый контур)
Таблица 2. КТ- и МР-паттерны у пациентов
Возраст пациент (лет), пол | Поражение периантральной клетчатки | Костная деструкция | Инвазия в глазницы | Поражение зрительного нерва | Распространение в крылонебную ямку | Вовлечение внутричерепных структур |
62, Ж | + | + | + | + | + | + |
39, М | + | + | + | + | + | – |
60, М | + | + | + | – | – | – |
42, Ж | + | + | + | – | + | – |
57, М | + | + | + | – | + | – |
58, М | + | + | – | – | + | – |
48, Ж | + | + | – | – | + | – |
69, М | + | + | + | + | – | + |
74, Ж | – | + | + | – | – | – |
67, Ж | – | + | + | – | – | + |
73, Ж | – | – | + | + | – | – |
56, М | – | – | – | – | – | – |
69, М | – | + | + | – | – | – |
66, М | + | + | + | + | – | + |
49, Ж | + | + | + | + | – | – |
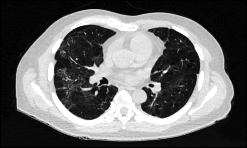
КТ органов грудной клетки выполнялась с целью исключения очагов диссеминации в легочной ткани (рис. 7).
Рис. 7. КТ органов грудной клетки, аксиальная плоскость. С обеих сторон отмечаются остаточные изменения двусторонней вирусной пневмонии — интерстициальные изменения и криволинейные уплотнения легочной ткани
Перед планируемым хирургическим вмешательством корригировались показатели уровня глюкозы крови, при необходимости компенсировались показатели кетоацидоза. Также анализировались биохимические показатели крови и гемостаза. Отделяемое из полости носа направлялось на исследование микрофлоры и определение чувствительности к антибиотикам с обязательным микроскопическим и микробиологическим исследованием на мукормикоз. Выявлялась разнообразная флора, как правило, в сочетании нескольких бактерий. Были выделены грамположительные и грамотрицательные бактерии, такие как Klebsiella pneumonia, Enterococcus faecalis, Corynebacterium striatum, Pseudomonas aeruginosa, Escherichia coli, Staphylococcus aureus, Acinetobacter baumanii, Stenotrophomonas maltophilia, Streptococcus anginosus, Klebsiella aerogenes.
Наиболее часто высевалась грамотрицательная ана- эробная Klebsiella pneumonia и чуть в меньше — Enterococcus faecalis, Corynebacterium striatum, Pseudomonasa eruginosa, Escherichia coli.
Терапия и операционное лечение. Ведение пациентов осуществлялось согласно рекомендациям Европейской конфедерации медицинской микологии и включало удаление некротизированных тканей и этиотропную противогрибковую терапию (амфотерицин В) [12].
Объемная синусовая некрэктомия проводилась под контролем видеоэндоскопической визуализации. С помощью прямого эндоскопа 0° осматривалась полость носа и носоглотки. Зачастую визуализировались участки множественного некроза средних и задних отделов перегородки носа, задних концов нижних носовых раковин и средних носовых раковин, медиальной стенки верхнечелюстной пазухи с костной деструкцией на стороне поражения, некротизированные ткани в области решетчатого лабиринта и медиальной стенки орбиты. При этом противоположная сторона могла быть не изменена (рис. 8–10).
Рис. 8. Эндоскопический осмотр правой половины полости носа. Видна пораженная средняя носовая раковина с переходом на клетки решетчатого лабиринта
Рис. 9. Дефект твердого неба
Рис. 10. Образовавшийся дефект после удаления альвеолярных отростков верхней челюсти справа и твердого неба. Также поражены все стенки правой верхнечелюстной пазухи и лобный отросток верхней челюсти
Под контролем эндоскопа 0° с помощью прямых кусачек, щипцов Блексли и распатора удалялась единым блоком перегородка до живых тканей. Далее переходили к клеткам решетчатого лабиринта и удаляли все некротизированные ткани и фрагменты костных деструктивных изменений до здоровых участков. Резецировали измененный задний конец нижней носовой раковины и убирали некротизированную среднюю носовую раковину, переднюю стенку клиновидной пазухи и утолщенную слизистую оболочку с целью визуализации внутрипазушных структур, изменений задней и нижней стенки пазухи. Внутрипазушную перегородку скусывали угловыми кусачками. С помощью угловой оптики 45° и изогнутых кусачек удаляли медиальную стенку пораженной верхнечелюстной пазухи, убирали слизистую оболочку с участками некроза и патологическое содержимое. Вскрывали орбиту под контролем 3D-КТ-визуализации со стороны медиального угла глаза и решетчатой кости. Убирали пораженную заднюю стенку верхнечелюстной пазухи и обозревали фасцию крылонебной ямки, которая часто была поражена и также удалялась с помощью кусачек. Верхнечелюстная и нисходящая небная артерии при необходимости коагулировались с помощью биполярного коагулятора. Пораженная жировая ткань крылонебной ямки также удалялась. При наличии некроза в области твердого неба и верхней челюсти приглашались челюстно-лицевые хирурги.
Микробиологическое и гистопатологическое подтверждение. В ходе хирургического вмешательства пораженные ткани и патологическое отделяемое направлялись для микроскопического и микробиологического исследований на бактериальную микрофлору и микромицеты.
Микробиологическая диагностика осуществлялась при помощи культурального исследования: проводился посев клинического материала на две чашки Петри с агаризованнной средой Сабуро с последующим культивированием в термостате при +28 °C и +37 °C в течение 7 дней. Посевы просматривались ежедневно, с детекцией роста грибов. Выросшие культуры идентифицировали по макро- и микроморфологическим признакам [13] в соответствии с определителем грибов.
При оценке макроморфологии выросших культур отмечался быстрый рост образцов, которые инкубировали при +37 °C через 24 ч культивирования. При культивировании +28 °C рост грибов отмечался через 48–72 ч. Колонии вырастали с пушистым воздушным мицелием, вначале белые, затем серые, с активной споруляцией и быстро заполняли чашку Петри (рис. 11).
Рис. 11. Чашка Петри с колонией мукора с пушистым воздушным мицелием
Для родовой идентификации исследуемых грибов применялся микроскопический метод. Препараты приготавливались методом «раздавленная капля»: на предметное стекло наносили каплю жидкости, приготовленную из равных частей глицерина, этилового спирта и дистиллированной воды, в которую помещался кусочек колонии гриба, вырезанный микологической лопаткой; далее препараты накрывались покровным стеклом и проводилась микроскопия при увеличении 100× и 400×. Дополнительно приготовленные препараты изучались методом люминесцентной микроскопии путем добавления в них калькофлюора белого, который связывается с полисахаридами клеточных стенок грибов (хитином, целлюлозой), что впоследствии проявляется свечением при микроскопии с использованием светофильтров. При оценке микроскопической картины выявлены признаки, характерные для микромицет из Mucor spp.: обнаружен широкий (до 20 мкм) несептированный мицелий, ветвящийся под прямым углом, и длинные (до 400 мкм) спорангиеносцы, оканчивающиеся шаровидными буроватыми спорангиями до 60 мкм в диаметре (рис. 12).
Рис. 12. Mucor spp.: широкий (до 20 мкм) несептированный мицелий, ветвящийся под прямым углом, и длинные (до 400 мкм) спорангиеносцы, оканчивающиеся шаровидными буроватыми спорангиями до 60 мкм в диаметре
Пораженная слизистая оболочка и некротизированные костные фрагменты направлялись на гистопатологическое исследование.
Для оценки патологического процесса исследован материал, взятый из некротизированных участков. Образец ткани фиксирован в 10%-м растворе забуференного формалина. Костные фрагменты после фиксации декальцинировались 1 сут в электролитном декальцинирующем растворе соляной и муравьиной кислот. Процессинг материала (обезвоживание, обезжиривание и пропитка парафином) осуществлен с применением автоматического вакуумного гистопроцессора Leica ASP200, образец залит в парафиновый блок с помощью станции заливки Thermo Scientific HistoStar, на ротационном микротоме Leica RM2265 изготовлены срезы с парафинового блока толщиной 4 мкм, окрашены гематоксилином-эозином по стандартной методике, а также ШИК-реакцией (PAS) и импрегнацией серебром по Грокотт для обнаружения мицелия грибов. Оценка окрашенных микропрепаратов проводилась методом световой микроскопии с использованием микроскопа Zeiss AxioLab.A1.
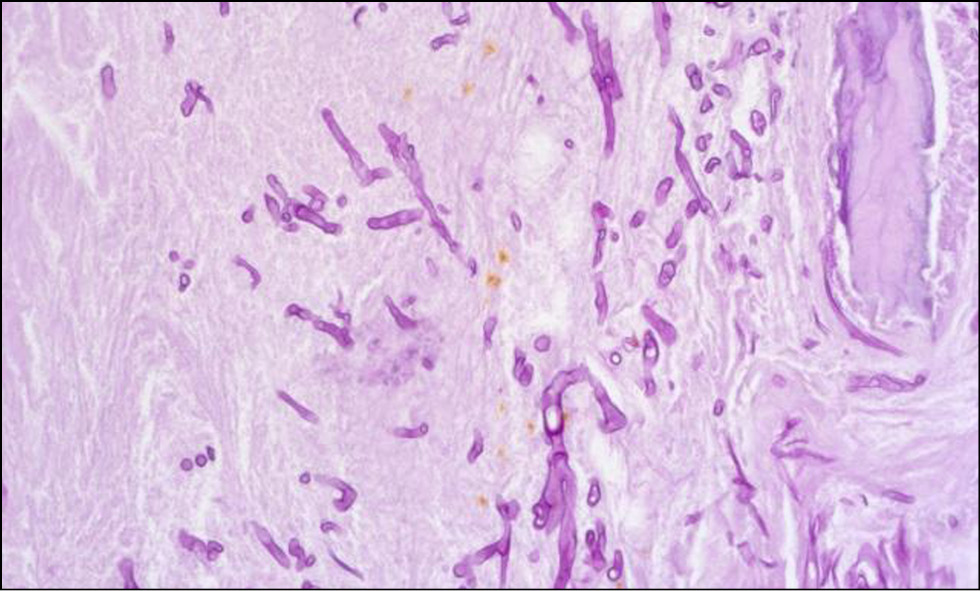
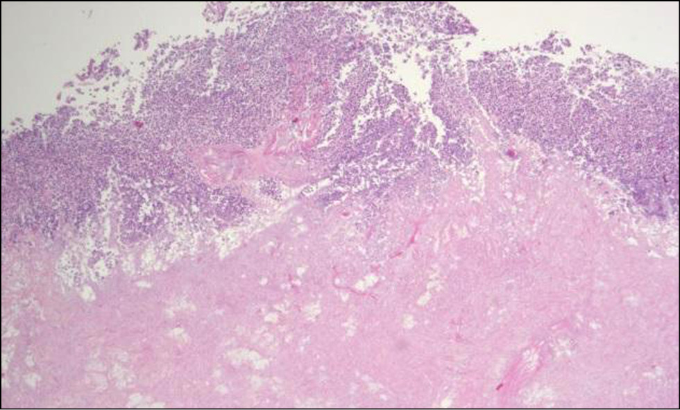
В полученных срезах визуализировались фрагменты (рис. 13) некротизированной слизистой оболочки (безъядерный эозинофильный субстрат с очертаниями предсуществующих структур) с наложениями детрита, распадающихся нейтрофилов, базофильных колоний микроорганизмов, раздробленных широких лентовидных гифов грибов, местами ветвящихся под прямым углом (рис. 14), и фрагменты костной ткани с широкими костно-мозговыми полостями, заполненными клеточно-тканевым детритом, распадающимися нейтрофилами, базофильными колониями микроорганизмов, раздробленными широкими лентовидными гифами грибов аналогичного вида (рис. 15), дающих положительную реакцию при окраске по PAS (рис. 16) и Грокотт (рис. 17).
Рис. 13. Окраска — гематоксилин и эозин. 50×. В нижней части препарата — гомогенизированная эозинофильная слизистая оболочка с некрозом и наложениями по поверхности гнойного экссудата
Рис. 14. Окраска — гематоксилин и эозин. 400×. В центральной части определяются гифы гриба среди клеточного детрита и распадающихся нейтрофильных гранулоцитов
Рис. 15. Окраска — гематоксилин и эозин. 200×. Справа имеется фрагмент разрушенной костной балки, в центральной части среди клеточно-тканевого детрита определяются мицелий гриба и гранулы гемосидерина
Рис. 16. Окраска — ШИК-реакция (PAS). 200×. В центральной части — мицелий гриба, дающий положительную реакцию
Рис. 17. Окраска — импрегнация серебром по Грокотт. 200×. В центральной части — мицелий гриба, дающий положительную реакцию
Таким образом, подтверждался диагноз мукормикоз, риноорбитоцеребральная форма. Далее назначались инфузии амфотерицина B в течение 14 дней под контролем показателей крови, функции почек и печени, ионного состава крови и гемостаза. В зависимости от этих показателей корригировалась дозировка препарата и проводились дополнительные инфузии.
Нежелательные явления
Нежелательные явления отсутствовали.
Обсуждение
Резюме основного результата исследования
В результате нашего наблюдения и проведенного лечения 14 пациентов были выписаны, у одной пациентки был летальный исход.
Обсуждение основного результата исследования
За последнее время появляется большое количество публикаций по постковидному мукормикозу околоносовых пазух. При этом большинство подобных публикаций представляет собой описание единичных случаев. В данной статье проанализирован опыт по стационарному ведению группы пациентов с подтвержденным мукормикозом, показаны особенности анамнеза, течения заболевания, его диагностики и лечения. Наш опыт свидетельствует, что пациенты относились к группе риска: сочетание перенесенного COVID-19 с необходимостью применения гормональной терапии и терапии моноклональными антителами, СД, часто неконтролируемый, с кетоацидозом.
Ограничения исследования
Выборка нашей работы ограничена обследованием 15 человек.
Заключение
Важные факторы эффективного лечения мукормикоза — комплексная диагностика и раннее начало этио-тропного лечения в тесном сотрудничестве с врачами-рентгенологами, патологоанатомами, микробиологами и инфекционистами. Для мукормикоза характерны специфические данные анамнеза и лучевой картины, только их знание позволит начать лечение до развития осложнений в виде интраорбитальной и внутричерепной инвазии, когда риск летального исхода значительно возрастает.
Дополнительная информация
Источник финансирования. Исследования выполнены, рукопись подготовлена и публикуется за счет финансирования по месту работы авторов.
Конфликт интересов. Авторы данной статьи подтвердили отсутствие конфликта интересов, о котором необходимо сообщить.
Участие авторов. А.В. Колсанов — прочел и одобрил направление рукописи на публикацию, разделил ответственность за изложенные данные с коллективом авторов; П.М. Зельтер — разработка концепции исследования, проведение и описание лучевых исследований пациентов, анализ полученных данных, написание статьи, редактирование статьи на этапе подготовки к публикации; О.В. Зелёва — дизайн исследования, набор пациентов, проведение первичного обследования, оперативного и терапевтического лечения пациентов, сбор и анализ биоматериала от пациентов, анализ полученных данных, написание статьи, редактирование статьи на этапе подготовки к публикации; О.В. Иванова — проведение гистопалогического исследования биоматериала, анализ полученных данных; А.В. Лямин — проведение микробиологических исследований биоматериала, анализ полученных данных; Е.А. Сидоров — проведение и описание лучевых исследований пациентов, анализ полученных данных, написание статьи; Т.Ю. Владимирова — дизайн исследования, проведение первичного обследования, оперативного и терапевтического лечения пациентов, анализ полученных данных; А.В. Козлов — проведение микробиологических исследований биоматериала, анализ полученных данных; Ю.С. Пышкина — дизайн исследования, проведение и описание лучевых исследований пациентов, анализ полученных данных, написание статьи, редактирование статьи на этапе подготовки к публикации. Все авторы внесли значимый вклад в проведение исследования, подготовку статьи, прочли и одобрили финальную версию перед публикацией.
About the authors
Alexander V. Kolsanov
Samara State Medical University
Email: avkolsanov@mail.ru
ORCID iD: 0000-0002-4144-7090
SPIN-code: 2028-6609
MD, PhD, Professor, Professor RAN
Russian Federation, SamaraPavel M. Zelter
Samara State Medical University
Email: pzelter@mail.ru
ORCID iD: 0000-0003-1346-5942
SPIN-code: 3678-3932
MD, PhD
Russian Federation, SamaraOlesya V. Zeleva
Samara State Medical University
Email: olesyalorik@gmail.com
ORCID iD: 0000-0003-0143-4655
SPIN-code: 8139-1391
заведующая оториноларингологическим отделением, врач-оториноларинголог
Russian Federation, SamaraOlga V. Ivanova
Samara State Medical University
Email: o.v.ivanova@samsmu.ru
ORCID iD: 0000-0002-4729-6203
SPIN-code: 8806-7177
MD, PhD
Russian Federation, SamaraArtem V. Lyamin
Samara State Medical University
Email: a.v.lyamin@samsmu.ru
ORCID iD: 0000-0002-5905-1895
SPIN-code: 6607-8990
MD, PhD, Associate Professor
Russian Federation, SamaraEgor A. Sidorov
Samara State Medical University
Email: egors9494@yandex.ru
ORCID iD: 0000-0002-2850-8768
врач-рентгенолог рентгенологического отделения клиник
Russian Federation, SamaraTatiana Yu. Vladimirova
Samara State Medical University
Email: vladimirovalor@yandex.ru
ORCID iD: 0000-0003-1221-5589
SPIN-code: 6725-4931
MD, PhD, Associate Professor
Russian Federation, SamaraAndrey V. Kozlov
Samara State Medical University
Email: a.v.kozlov2@samsmu.ru
ORCID iD: 0000-0001-9384-6854
SPIN-code: 6871-1845
врач-бактериолог клинико-диагностической лаборатории клиник
Russian Federation, SamaraYulia S. Pyshkina
Samara State Medical University
Author for correspondence.
Email: yu.pyshkina@yandex.ru
ORCID iD: 0000-0002-7241-6828
SPIN-code: 4225-1020
MD, PhD, Associate Professor
Russian Federation, 89, Chapayevskaya str., 443099, SamaraReferences
- Mandell GL, Bennett JE, Dolin R, eds. Mandell, Douglas, and Bennett’s principles and practice of infectious diseases. 5th ed. New York: Churchill Livingstone; 2000.
- Jeong W, Keighley C, Wolfe R, et al. The epidemiology and clinical manifestations of mucormycosis: a systematic review and meta-analysis of case reports. Clin Microbiol Infect. 2019;25(1):26–34. doi: https://doi.org/10.1016/j.cmi.2018.07.011
- John TM, Jacob CN, Kontoyiannis DP. When uncontrolled diabetes mellitus and severe COVID-19 converge: the perfect storm for mucormycosis. J Fungi (Basel). 2021;7(4):298. doi: https://doi.org/10.3390/jof7040298
- Hoenigl M, Seidel D, Carvalho A, et al. The emergence of COVID-19 associated mucormycosis: a review of cases from 18 countries. Lancet Microbe. 2022;3(7):e543–e552. doi: https://doi.org/10.1016/S2666-5247(21)00237-8
- Khatiwada P, Giri A, Khatiwoda P. Mucormycosis in diabetes mellitus. Journal of Advances in Internal Medicine. 2012;1(2):73–75. doi: https://doi.org/10.3126/jaim.v1i2.6531
- Chopra V, Flanders SA, O’Malley M, et al. Sixty-day outcomes among patients hospitalized with COVID-19. Ann Untern Med. 2021;174(4):576–578. doi: https://doi.org/10.7326/M20-5661
- Singh AK, Singh R, Joshi SR, et al. Mucormycosis in COVID-19: A systematic review of cases reported worldwide and in India. Diabetes Metab Syndr. 2021;15(4):102146. doi: https://doi.org/10.1016/j.dsx.2021.05.019
- Kothandaraman N, Rengaraj A, Xue B, et al. COVID-19 endocrinopathy with hindsight from SARS. Am J Physiol Endocrinol Metab. 2021; 320(1):E139–E150. doi: https://doi.org/10.1152/ajpendo.00480.2020
- Randhawa G, Hagaman S, Pourabdollah Tootkaboni M, et al. A rare case of invasive mucormycosis in a diabetic patient treated with a short course of dexamethasone. Am J Case Rep. 2021;22:e932129. doi: https://doi.org/10.12659/AJCR.932129
- Prakash H, Ghosh AK, Rudramurthy SM, et al. A prospective multicenter study on mucormycosis in India: Epidemiology, diagnosis, and treatment. Medical mycology. 2019;57(4):395–402. doi: https://doi.org/10.1093/mmy/myy060
- Roden MM, Zaoutis TE, Buchanan WL, et al. Epidemiology and outcome of zygomycosis: A review of 929 reported cases. Clin Infect Dis. 2005;41(5):634–653. doi: https://doi.org/10.1086/432579
- Cornely OA, Alastruey-Izquierdo A, Arenz D, et al. Global guideline for the diagnosis and management of mucormycosis: an initiative of the European Confederation of Medical Mycology in cooperation with the Mycoses Study Group Education and Research Consortium. Lancet Infect Dis. 2019;19(12):e405–е421. doi: https://doi.org/10.1016/S1473-3099(19)30312-3
- Хостелиди С.Н., Шагдилеева Е.В., Шадривова О.В., и др. Случай генерализованного сочетанного микоза на фоне острой респираторной вирусной инфекции // Проблемы медицинской микологии. — 2019. — Т. 21. — № 4. — С. 24–29. [Khostelidi SN, Shagdileeva EV, Shadrivova OV, et al. The case of generalized combined mycosis on the background of acute respiratory viral infection. Problemy medicinskoj mikologii. 2019;21(4):24–29. (In Russ.)]
Supplementary files





















