The Role of Endocrine Cells of the Colon, Secreting Vasoactive Intestinal Polypeptide, Somatostatin and Motilin, in Irritable Bowel Syndrome, Occurring with Diarrhea and Constipation
- Authors: Maev I.V.1, Osadchuk M.A.2, Burdina V.O.3, Mironova E.D.2, Osadchuk M.M.4
-
Affiliations:
- A.I. Yevdokimov Moscow State University of Medicine and Dentistry
- I.M. Sechenov First Moscow State Medical University (Sechenov University)
- CLINIC LMS
- Moscow City Polyclinic No. 52
- Issue: Vol 77, No 2 (2022)
- Pages: 79-86
- Section: GASTROENTEROLOGY: CURRENT ISSUES
- Published: 26.05.2022
- URL: https://vestnikramn.spr-journal.ru/jour/article/view/2030
- DOI: https://doi.org/10.15690/vramn2030
- ID: 2030
Cite item
Full Text
Abstract
Background. Disorders in the production of neuroendocrine peptides in the digestive tract can cause changes in, intestinal motility and the formation of visceral hypersensitivity, characteristic of patients with irritable bowel syndrome (IBS). From this standpoint, of particular interest is the study of the role of a number of major endocrine cells (EC) of the colon, secreting motilin, vasoactive intestinal polypeptide, and somatostatin, in IBS. Aims — to evaluate the density of ECs with different hormonal activities that secrete motilin, vasoactive intestinal polypeptide and somatostatin in the mucosa of the sigmoid colon in patients with IBS that occurs with constipation and diarrhea. Materials and methods. 85 patients with IBS were examined. The first group included 44 patients with diarrhea (IBSd), the second group included 41 patients with constipation (IBSc). The comparison group consisted of 36 practically healthy people. The diagnosis of IBS was based on the Rome IV criteria. Patients and healthy people were examined according to a single program, including clinical, instrumental (colonoscopy, ultrasound examination of the abdominal organs), laboratory (clinical blood test, feces for calprotectin and antibodies to gliadin in the presence of diarrhea), morphological and immunohistochemical methods. Results. The clinical picture of IBS corresponded to the classical manifestations of this pathology. Among patients with IBSc, there was a more frequent feeling of incomplete emptying of the intestine after defecation, compared with patients with IBSd (p < 0.05). Among patients with IBSd, there was a statistically significant increase in the number of ECs producing motilin and vasoactive intestinal polypeptide, as well as a lower density of ECs secreting somatostatin, compared with the control group (p < 0.05). In the IBSc group, there was a decrease in the number of ECs producing motilin, vasoactive intestinal polypeptide and an increase in the number of ECs producing somatostatin, compared with the control group (p < 0.05). Conclusions. An increase in the number of cells producing motilin, vasoactive intestinal polypeptide and a decrease in the number of cells observed for the production of somatostatin in the mucosa of the sigmoid colon is characteristic of the manifestation of IBSd. At the same time, an increase in ECs secreting motilin, vasoactive intestinal polypeptide and an increase in cellular elements producing somatostatin reveals manifestations of IBSс.
Full Text
Обоснование
Синдром раздраженного кишечника (СРК) является одним из наиболее часто встречающихся функциональных заболеваний, которое значительно снижает качество жизни пациентов и связано с огромными экономическими затратами для общества в результате чрезмерного потребления ресурсов здравоохранения и низкой производительности труда [1–3]. Так, в метаанализе, включающем 81 исследование с выборкой 260 960 человек, частота встречаемости СРК варьировала в зависимости от страны от 1,1 до 45,0%, а совокупная распространенность составила 11,2% [4].
На данном этапе развития клинической медицины большинство гипотез указывает на ось «кишечник–мозг» как на ключевой фактор при СРК [5]. Поэтому данная патология традиционно описывается в виде расстройства висцеральной гиперчувствительности и двигательных нарушений желудочно-кишечного тракта (ЖКТ) в контексте дисфункции оси «кишечник–мозг» [6, 7]. Она включает в себя нейроэндокринную систему кишечника, гипоталамо-гипофизарно-надпочечниковую и центральную нервную (ЦНС) системы [8]. Связь между кишечником и ЦНС является двунаправленной и базируется на нервных, эндокринных и нейроиммунных путях [9]. На физиологическом уровне нейроэндокринная система ЖКТ посылает сигналы в головной мозг, что приводит к изменениям иммунной функции, секреции и подвижности кишечника [10]. Таким образом, кишечно-мозговая ось служит ключевым коммуникационным механизмом в регулировании пищеварения и адекватном контроле над деятельностью кишечника и его опорожнением. Структурные и функциональные нарушения оси «кишечник–мозг» формируют висцеральную гиперчувствительность, дисфункцию микробиоты, избыточный бактериальный рост в тонком кишечнике, измененную чувствительность к пище, мальабсорбцию углеводов, способствуют манифестации минимального воспаления слизистой кишечника, изменяют рефлекторные и перцептивные реакции нервной системы, что приводит к клиническим проявлениям СРК [11–14].
Известно, что ЭК кишечника взаимодействуют и интегрируются друг с другом, а также с кишечной нервной системой, афферентными и эфферентными нервными волокнами вегетативной и ЦНС [15, 16]. При этом они регулируют большинство функций ЖКТ, включая висцеральные ощущения, моторику, секрецию, всасывание, местную иммунную защиту и прием пищи [15–17]. Нарушения в продукции нейроэндокринных пептидов в пищеварительном тракте могут вызывать изменения в пищеварении и перистальтике ЖКТ, а также формируют висцеральную гиперчувствительность, характерную для больных с СРК. С этих позиций особый интерес представляет изучение роли ряда основных ЭК толстой кишки, секретирующих мотилин, вазоактивный кишечный полипептид и соматостатин, в возникновении и рецидивировании клинических проявлений СРК. Так, мотилин регулирует моторно-эвакуаторную функцию пищеварительного тракта и опосредует фазу III межпищеварительного мигрирующего двигательного комплекса [18]. В то же время вазоактивный кишечный полипептид, помимо стимуляции моторной функции кишечника, управляет секрецией ионов, абсорбцией и участвует в формировании противовоспалительного ответа в пищеварительном тракте [19]. С другой стороны, соматостатин обладает подавляющим воздействием на перистальтику ЖКТ, увеличивает интервал между мигрирующими миоэлектрическими комплексами [20, 21] и участвует в координации продукции большинства пептидов пищеварительного тракта [22, 23]. В связи с этим модуляция оси «кишечник–мозг» привлекает особое внимание, поскольку она является перспективной мишенью для разработки новых направлений в терапии СРК [24–26].
Цель исследования — оценить плотность ЭК с разной гормональной активностью, секретирующих мотилин, вазоактивный кишечный полипептид и соматостатин, в слизистой оболочке сигмовидной кишки у пациентов с СРК, протекающим с запором и диареей.
Методы
Дизайн исследования
Проведено одномоментное, контролируемое, нерандомизированное исследование.
Критерии соответствия
Критерии включения:
- возраст участников старше 18 лет;
- установленный диагноз СРК согласно Римским критериям IV;
- отсутствие других воспалительных и органических заболеваний кишечника, психических, а также заболеваний, которые могут потребовать стационарного лечения в профильном стационаре и привести к невозможности выполнения протокола исследования;
- наличие добровольного письменного согласия на участие в исследовании.
Критерии исключения:
- наличие тяжелой сопутствующей патологии, требующей медикаментозной коррекции;
- наличие психических заболеваний;
- отказ от участия в исследовании.
Условия проведения
Набор материала производился с 2017 по 2021 г. на базе ФГБУ г. Москвы поликлиники № 3 ЦКБ РАН, г. Москва, и ГБУЗ «Диагностический центр № 5 с поликлиническим отделением» ДЗМ, которые являются базой кафедры поликлинической терапии Института клинической медицины ФГАОУ ВО Первый МГМУ им. И.М. Сеченова Минздрава России (Сеченовский Университет).
Продолжительность исследования
Период проведения исследования — с 2017 по 2021 г.
Описание медицинского вмешательства
Постановка диагноза СРК осуществлялась на основании Римских критериев IV, которые определяют данную патологию как функциональное кишечное расстройство, сопровождающееся циклической абдоминальной болью, связанной с актом дефекации, и характеризующейся изменениями частоты последней и/или формы стула (запор и/или диарея, смешанный вариант), при персистенции симптомов на протяжении трех месяцев при общей продолжительности нарушений в течение шести месяцев.
Больные и здоровые обследованы по единой программе, включающей клинические (анамнез и объективный статус), инструментальные (колоноскопия, ультразвуковое исследование органов брюшной полости), лабораторные (клинический анализ крови, кал на кальпротектин и антитела к тканевой трансглутаминазе IgG при наличии диареи), морфологические и иммуногистохимические методы.
Забор биопсийного материала, а также прижизненные патологоанатомические исследования осуществлялись в соответствии с приказом Министерства здравоохранения Российской Федерации от 24.06.2016 № 179н «О правилах проведения патологоанатомических исследований».
Исходы исследования
Основным исходом исследования была оценка количества нейроэндокринных клеток в слизистой оболочке сигмовидной кишки, продуцирующих мотилин, вазоактивный кишечный полипептид и соматостатин, у пациентов с СРК.
Методы регистрации исходов
Визуализацию толстой кишки проводили с помощью колонофиброкопа Olympus-GF40L и набора инструментария к нему. Морфологический материал брался из средней трети сигмовидной кишки. Для иммуногистохимического окрашивания серийные парафиновые срезы толщиной 4–6 мкм помещали на предметные стекла, покрытые поли-L-лизином. Исследования проводились на депарафинизированных и дегидратированных срезах с использованием авидин-биотинового иммунопероксидазного метода. Иммуногистохимическое исследование базировалось на использовании моноклональных мышиных антител к соматостатину (1:100, Novocastra), вазоактивному кишечному полипептиду (1:150, Novocastra) и мотилину (1:100, Novocastra). В качестве вторых антител применяли универсальный набор, содержащий биотинилированные антимышиные иммуноглобулины. Морфологические изображения, поступающие через оптическую систему микроскопа Nikon Eclipse 400, регистрировались цифровой цветной видеокамерой Nikon DXM 1200. Количество иммунопозитивных клеток автоматически подсчитывалось в пяти рандомизированных полях зрения при указанном увеличении, цифровые данные пересчитывались на 1 мм2 с помощью пакета прикладных морфометрических программ «Видеотест-Морфология 5.2».
Этическая экспертиза
Исследование одобрено локальным этическим комитетом ФГАОУ ВО Первый МГМУ им. И.М. Сеченова (Сеченовский Университет) Минздрава России от 9 декабря 2021 г. (выписка из протокола № 22-21).
Статистический анализ
Принципы расчета размера выборки. Размер выборки предварительно не рассчитывался.
Методы статистического анализа данных. Статистический анализ проводился в соответствии с поставленной целью. Для оценки нормальности распределения переменных использовался критерий Шапиро–Уилка. Для числовых переменных были рассчитаны средний показатель и среднеквадратичное отклонение. В случае подтвержденного нормального распределения совокупностей способом оценки статистической значимости различий между средними величинами использовался t-критерий Стьюдента для несвязанных выборок. В случаях когда распределение хотя бы одной из совокупностей не являлось нормальным, для сравнения использовался метод непараметрического анализа U-критерий Манна–Уитни. Данные, представленные в номинальной шкале, сравнивались при помощи таблиц сопряженности с вычислением критерия χ2 Пирсона. В случае если в любой из ячеек четырехпольной таблицы было менее 10, для оценки уровня значимости различий использовался точный критерий Фишера. Для проведения статистического анализа использовалась программа SPSS 22.0 (SPSS Inc, США) для Windows (Microsoft Corporation, США), причем р < 0,05 считался статистически значимым.
Результаты
Объекты (участники) исследования
В исследование было включено 85 больных с СРК. Пациенты были разделены на две группы: первая — 44 больных СРКд; вторая — 41 больной с СРКз. Группу сравнения составили 36 практически здоровых человек.
Основные результаты исследования
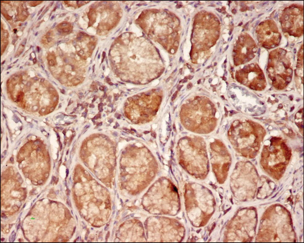
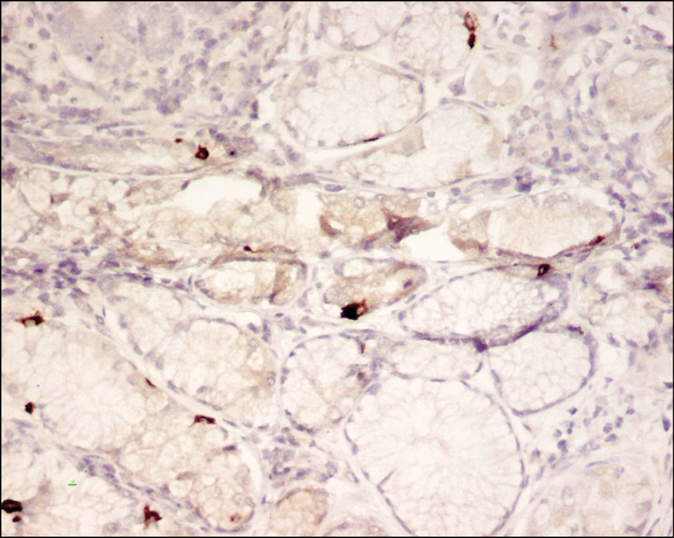
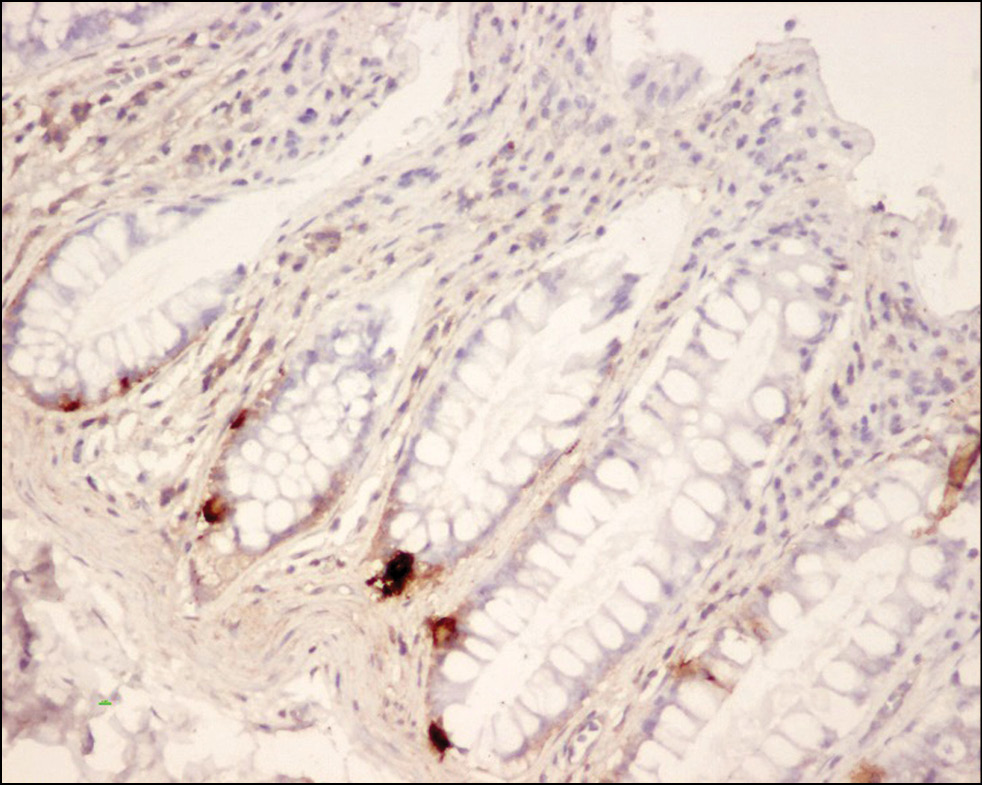
На основании иммуногистохимического анализа (рис. 1) было установлено, что иммуноморфологические данные пациентов с СРКд и СРКз статистически значимо отличались от группы контроля по плотности распределения ЭК в толстом кишечнике, продуцирующих мотилин, вазоактивный кишечный полипептид и соматостатин (p < 0,05). Так, среди пациентов первой группы с СРКд было зафиксировано статистически значимое увеличение числа ЭК, продуцирующих мотилин и вазоактивный кишечный полипептид, а также более низкие значения количества ЭК, секретирующих соматостатин, по сравнению с группой контроля (p < 0,05). В то же время в группе пациентов с СРКз было отмечено уменьшение плотности клеток, отвечающих за продукцию мотилина, вазоактивного кишечного полипептида, и увеличение количества клеточных элементов, секретирующих соматостатин (рис. 2–4), по сравнению с группой контроля (p < 0,05).
Рис. 1. Количество эндокринных клеток в слизистой оболочке сигмовидной кишки, продуцирующих мотилин (А), вазоактивный кишечный полипептид (Б) и соматостатин (В), на 1 мм2. Первая группа — пациенты с синдромом раздраженного кишечника с диареей (n = 44); вторая группа — пациенты с синдромом раздраженного кишечника с запором (n = 41); группа контроля — n = 36. * p < 0,05 между первой и второй группами; ** p < 0,05 между первой и третьей группами; ^ p < 0,05 между второй и третьей группами.
Рис. 2. Сигмовидная кишка больного с синдромом раздраженного кишечника с запором. Иммуногистохимический метод (× 200). Вазоактивный кишечный полипептид в клетках слизистой оболочки толстого кишечника
Рис. 3. Сигмовидная кишка больной с синдромом раздраженного кишечника с запором. Иммуногистохимический метод (× 200). Мотилин в клетках слизистой оболочки толстого кишечника
Рис. 4. Сигмовидная кишка больного с синдромом раздраженного кишечника с запором. Иммуногистохимический метод (× 200). Соматостатин в клетках слизистой оболочки толстого кишечника
Дополнительные результаты исследования
Средний возраст пациентов с СРКз составил 56,92 ± 10,16 года, с СРКд — 46,81 ± 11,09 и в группе сравнения — 44,86 ± 9,66 года. Оценка гендерного распределения показала, что группы больных с СРК в основном были представлены лицами женского пола (СРКд — 70,5%, СРКз — 73%).
Проведенный анализ данных свидетельствует о том, что клиническая картина СРК соответствовала классическим проявлениям данной патологии (рис. 5). Пациенты с СРК вне зависимости от вариантов течения заболевания жаловались на боль по ходу толстого кишечника, связанную с дефекацией. Также к одним из наиболее частых жалоб относились: чувство неполного опорожнения кишечника после дефекации, метеоризм, болезненность при пальпации по ходу толстой кишки. Анализ клинических симптомов показал, что среди пациентов с СРКз значительно чаще встречалось чувство неполного опорожнения кишечника после дефекации по сравнению с группой больных с СРКд (61 против 38,6%; p < 0,05).
Рис. 5. Анализ степени выраженности клинических симптомов синдрома раздраженного кишечника в исследуемых группах, %. Первая группа — пациенты с синдромом раздраженного кишечника с диареей (n = 44); вторая группа — пациенты с синдромом раздраженного кишечника с запором (n = 41). * p < 0,05 между первой и второй группами
Нежелательные явления
Нежелательные явления отсутствовали.
Обсуждение
Резюме основного результата исследования
Полученные результаты свидетельствуют о том, что у больных с СРКд отмечается увеличение числа ЭК, продуцирующих мотилин, вазоактивный кишечный полипептид, и уменьшение плотности клеток, отвечающих за выработку соматостатина. В то же время снижение количества ЭК, секретирующих мотилин, вазоактивный кишечный полипептид, и увеличение соматостатинпродуцирующих клеточных элементов являются характерным проявлением СРКз.
Обсуждение основного результата исследования
Известно, что самые высокие показатели заболеваемости СРК типичны для лиц молодого и среднего возраста с доминированием женского пола [27], что соответствует полученным нами результатам. Также в настоящем исследовании было установлено, что больные с СРКз относятся к более старшей возрастной группе по сравнению с больными с СРКд.
Важную роль в этиологии СРК играет нарушение моторики ЖКТ, которое связано с изменением продукции кишечных пептидов [25, 26]. Известно, что мотилин воздействует на моторную функцию ЖКТ, регулируя мигрирующий двигательный комплекс [28]. Снижение числа ЭК, секретирующих мотилин, может привести к развитию запоров [29] и диареи при увеличении перистальтики кишечника в случае повышении его концентрации. С этих позиций становится понятным факт разнонаправленного содержания ЭК, секретирующих мотилин, у лиц с СРКд и СРКз.
В литературе приводятся данные, что повышенный уровень мотилина в крови связан с дискоординацией нижних отделов кишечника, а не с расстройствами верхних отделов кишечника. Например, сообщается о повышении уровня мотилина в крови у пациентов с доминированием СРК [30], особенно подвергающихся психологическому стрессу [31, 32]. Представляют интерес сведения о том, что изменения уровня мотилина в плазме крови зависит от концентрации грелина, что позволяет предположить, что, если мотилин играет определенную роль в механизмах развития СРК, он, вероятно, будет действовать вместе с грелином [33, 34].
Полученные нами данные по содержанию ЭК, секретирующих вазоактивный кишечный полипептид при СРК, находят подтверждение и в литературе. Известно, что вазоактивный кишечный полипептид принимает участие в регулировании секреции ионов, процессах абсорбции, сокращении и расслаблении гладких мышц ЖКТ [19]. Изменение продукции данного гормона способствует развитию нервной дисрегуляции, ведущей к нарушению опорожнения кишечника у больных с СРК [19]. Интересен и тот факт, что нарушения нервно-мышечного восприятия формируют висцеральную гиперчувствительность, которая является важным патофизиологическим компонентом болевого синдрома при СРК [35]. В то же время под влиянием соматостатина происходит расслабление кишечной мускулатуры, ассоциированное с пресинаптическим торможением высвобождения ацетилхолина за счет ингибирующего воздействия на 3’,5’-циклический аденозинмонофосфат [20]. В литературе приводятся данные, что плотность клеток толстой кишки у лиц с СРК может служить потенциальным биомаркером с хорошей чувствительностью и специфичностью для диагностики СРК [36]. Важно отметить, что соматостатин ингибирует высвобождение или действие многих гормонов кишечника. В экспериметальных исследованиях было обнаружено, что введение соматостатина значительно снижает уровень мотилина в плазме крови [22] и оказывает неконкурентное ингибирование стимулирующего действия вазоактивного кишечного полипептида [23]. Так, было зафиксировано снижение числа ЭК, продуцирующих мотилин и вазоактивный кишечный полипептид, на фоне увеличения плотности клеточных элементов, секретирующих соматостатин, у больных с СРКз.
Заслуживают внимания данные о том, что барьерная дисфункция может быть связана с активацией сигнальных механизмов вазоактивного кишечного полипептида [37], которые усиливаются при СРКд. Интересен и тот факт, что вазоактивный кишечный полипептид относится к противовоспалительным пептидам, поскольку снижает содержание цитокинов и медиаторов, таких как фактор некроза опухоли-α (TNF-α), интерлейкин-6 (IL-6), IL-12, оксид азота и хемокинов [38]. В литературе приводятся данные, что для ЭК ЖКТ характерна динамичность их содержания в слизистой оболочке кишечника, ассоциированная с влиянием ряда внешних и внутренних факторов. В связи с этим анализ ЭК в слизистой оболочке кишечника может выступать важным прогностическим фактором, определяющим возможность смены того или иного варианта течения СРК, что довольно часто наблюдается в клинической практике.
Представляется оправданным инициация исследований по персонализированному подходу к характеру питания больных с СРК, ведущему к нормализации числа ЭК в слизистой оболочке толстой кишки и нивелированию клинических проявлений данной патологии. Проведенные единичные исследования в последние годы продемонстрировали значимый эффект снижения приема фруктов и овощей, богатых FODMAPs (ферментируемые олигосахариды, дисахариды, моносахариды и полиолы), на нормализацию плотности ЭК, секретирующих соматостатин, у больных с СРК [39]. С другой стороны, поиск и синтез лекарственных препаратов с возможной направленностью на восстановление функционального состояния нейроэндокринной системы кишечника являются задачей ближайшего будущего [24, 26].
Ограничения исследования
Основной фактор, способный повлиять на выводы, — недостаточно большой объем выборки. Следует подчеркнуть, что количество ЭК может не коррелировать с сывороточными концентрациями гормонально активных молекул и с чувствительностью таргетных тканей к ним. В связи с этим необходимо проведение дополнительных клинических исследований по выявлению возможных корреляций между плотностью ЭК, секретирующих те или иные гормоны, с их уровнем в плазме крови и таргетностью тканей. Проводимые исследования должны базироваться на большем количестве клинического материала как с определением нейроэндокринных клеток в слизистой оболочке кишечника, так и с изучением их плотности в энтеральной нервной системе. Это даст возможность уточнить диагностическую и прогностическую значимость плотности ЭК в толстой кишке в возникновении и прогнозировании течения СРК с разными клиническими проявлениями с учетом сывороточных концентраций биологически активных соединений.
Заключение
Таким образом, можно сделать вывод о важной роли мотилина, вазоактивного кишечного полипептида и соматостатина при СРК. Увеличение плотности клеток, продуцирующих мотилин, вазоактивный кишечный полипептид, и снижение числа клеток, отвечающих за выработку соматостатина, характерны для клинических проявлений СРКд. В то же время снижение плотности ЭК, секретирующих мотилин, вазоактивный кишечный полипептид, и увеличение клеточных элементов, продуцирующих соматостатин, определяют клинические проявления СРКз.
Дополнительная информация
Источник финансирования. Исследования выполнены, рукопись подготовлена и публикуется за счет финансирования по месту работы авторов.
Конфликт интересов. Авторы данной статьи подтвердили отсутствие конфликта интересов, о котором необходимо сообщить.
Участие авторов. И.В. Маев — концепция и дизайн исследования; М.А. Осадчук — сбор и обработка материала, статистическая обработка, написание текста, редактирование; В.О. Бурдина — сбор и обработка материала, редактирование; Е.Д. Миронова — сбор и обработка материала, редактирование. Все авторы внесли существенный вклад в проведение исследования и подготовку статьи, прочли и одобрили финальную версию до публикации.
About the authors
Igor' V. Maev
A.I. Yevdokimov Moscow State University of Medicine and Dentistry
Email: igormaev@rambler.ru
ORCID iD: 0000-0001-6114-564X
Russian Federation, Moscow
Mikhail A. Osadchuk
I.M. Sechenov First Moscow State Medical University (Sechenov University)
Email: osadchuk.mikhail@yandex.ru
ORCID iD: 0000-0003-0485-6802
Russian Federation, Moscow
Valeriya O. Burdina
CLINIC LMS
Email: valeria18_86@mail.ru
Russian Federation, Moscow
Ekaterina D. Mironova
I.M. Sechenov First Moscow State Medical University (Sechenov University)
Email: yek.mironova1995@yandex.ru
ORCID iD: 0000-0003-3268-2408
Russian Federation, Moscow
Maksim M. Osadchuk
Moscow City Polyclinic No. 52
Author for correspondence.
Email: maxlife2004@mail.ru
ORCID iD: 0000-0002-8417-5849
Russian Federation, Moscow
References
- Enck P, Aziz Q, Barbara G, et al. Irritable bowel syndrome. Nat Rev Dis Primers. 2016;2:16014. doi: https://doi.org/10.1038/nrdp.2016.14
- Fukudo S, Okumura T, Inamori M, et al. Evidence-based clinical practice guidelines for irritable bowel syndrome 2020. J Gastroenterol. 2021;56(3):193–217. doi: https://doi.org/10.1007/s00535-020-01746-z
- Маев И.В., Черемушкин С.В., Сутугина Е.А., и др. Синдром раздраженного кишечника. Современный взгляд на проблему // Терапевтичекий архив. — 2013. — Т. 85. — № 8. — С. 95–100. [Maev IV, Cheremushkin SV, Sutugina EA, et al. Irritable bowel syndrome: The present view of the problem. Terapevticheskij Arhiv. 2013;85(8):95–100 (In Russ.)]
- Lovell RM, Ford AC. Global prevalence of and risk factors for irritable bowel syndrome: a meta-analysis. Clin Gastroenterol Hepatol. 2012;10(7):712–721.e4. doi: https://doi.org/10.1016/j.cgh.2012.02.029
- Gros M, Gros B, Mesonero JE, et al. Neurotransmitter Dysfunction in Irritable Bowel Syndrome: Emerging Approaches for Management. J Clin Med. 2021;10(15):3429. doi: https://doi.org/10.3390/jcm10153429
- Talley NJ, Spiller R. Irritable bowel syndrome: a little understood organic bowel disease? Lancet. 2002;360(9332):555–564. doi: https://doi.org/10.1016/S0140-6736(02)09712-X
- Drossman DA. The functional gastrointestinal disorders and the Rome III process. Gastroenterology. 2006;130(5):1377–1390. doi: https://doi.org/10.1053/j.gastro.2006.03.008
- Collins SM, Bercik P. The relationship between intestinal microbiota and the central nervous system in normal gastrointestinal function and disease. Gastroenterology. 2009;136(6):2003–2014. doi: https://doi.org/10.1053/j.gastro.2009.01.075
- Mulak A, Bonaz B. Irritable bowel syndrome: a model of the brain-gut interactions. Med Sci Monit. 2004;10(4):RA55–62.
- Mayer EA, Knight R, Mazmanian SK, et al. Gut microbes and the brain: paradigm shift in neuroscience. J Neurosci. 2014;34(46):15490–15496. doi: https://doi.org/10.1523/JNEUROSCI.3299-14.2014
- Tang HY, Jiang AJ, Wang XY, et al. Uncovering the pathophysiology of irritable bowel syndrome by exploring the gut-brain axis: a narrative review. Ann Transl Med. 2021;9(14):1187. doi: https://doi.org/10.21037/atm-21-2779
- Occhipinti K, Smith JW. Irritable bowel syndrome: a review and update. Clin Colon Rectal Surg. 2012;25(1):46–52. doi: https://doi.org/10.1055/s-0032-1301759
- Clarke G, Quigley EMM, Cryan JF, et al. Irritable bowel syndrome: towards biomarker identification. Trends Mol Med. 2009;15(10):478–489. doi: https://doi.org/10.1016/j.molmed.2009.08.001
- Кучерявый Ю.А., Андреев Д.Н., Маев И.В. Распространенность синдрома избыточного бактериального роста в тонкой кишке у пациентов с функциональной диспепсией: метаанализ // Терапевтический архив. — 2020. — Т. 92. — № 12. — С. 53–58. [Kucheryavyy YuA, Andreev DN, Maev IV. Prevalence of small bowel bacterial overgrowth in patients with functional dyspepsia: a meta-analysis. Terapevticheskij Arhiv. 2020;92(12):53–58. (In Russ.)] doi: https://doi.org/10.26442/00403660.2020.12.200433
- Seim I, El-Salhy M, Hausken T, et al. Ghrelin and the brain-gut axis as a pharmacological target for appetite control. Curr Pharm Des. 2012;18(6):768–775. doi: https://doi.org/10.2174/138161212799277806
- El-Salhy M, Seim I, Chopin L, et al. Irritable bowel syndrome: the role of gut neuroendocrine peptides. Front Biosci (Elite Ed). 2012;4(8):2783–2800. doi: https://doi.org/10.2741/e583
- Böhn L, Störsrud S, Törnblom H, et al. Self-reported food-related gastrointestinal symptoms in IBS are common and associated with more severe symptoms and reduced quality of life. Am J Gastroenterol. 2013;108(5):634–641. doi: https://doi.org/10.1038/ajg.2013.105
- Al-Missri MZ, Jialal I. Physiology, Motilin. In: StatPearls. StatPearls Publishing; 2021. Available from: http://www.ncbi.nlm.nih.gov/books/NBK545309/ (accessed: 10.12.2021).
- Iwasaki M, Akiba Y, Kaunitz JD. Recent advances in vasoactive intestinal peptide physiology and pathophysiology: focus on the gastrointestinal system. F1000Res. 2019;8:F1000 Faculty Rev-1629. doi: https://doi.org/10.12688/f1000research.18039.1
- Wiley J, Owyang C. Somatostatin inhibits cAMP-mediated cholinergic transmission in the myenteric plexus. Am J Physiol. 1987;253(5Pt1):G607–612. doi: https://doi.org/10.1152/ajpgi.1987.253.5.G607
- Krejs GJ. Physiological role of somatostatin in the digestive tract: gastric acid secretion, intestinal absorption, and motility. Scand J Gastroenterol Suppl. 1986;119:47–53. doi: https://doi.org/10.3109/00365528609087431
- Shan YS, Sy ED, Tsai ML, et al. Effects of somatostatin prophylaxis after pylorus-preserving pancreaticoduodenectomy: increased delayed gastric emptying and reduced plasma motilin. World J Surg. 2005;29(10):1319–1324. doi: https://doi.org/10.1007/s00268-005-7943-5
- Segura JJ, Guerrero JM, Goberna R, et al. Somatostatin inhibition of VIP- and isoproterenol-stimulated cyclic AMP production in rat peritoneal macrophages. Neuropeptides. 1992;23(1):39–43. doi: https://doi.org/10.1016/0143-4179(92)90008-k
- Soares RLS. Irritable bowel syndrome: a clinical review. World J Gastroenterol. 2014;20(34):12144–12160. doi: https://doi.org/10.3748/wjg.v20.i34.12144
- Свистунов А.А., Осадчук М.А., Киреева Н.В., и др. Синдром раздраженного кишечника с сопутствующими заболеваниями желудка и пищевода (синдром перекреста): клинические и иммуноморфологические особенности // Медицинский вестник Северного Кавказа. —2018. — Т. 13. — № 2. — С. 325–329. [Svistunov AA, Osadchuk MA, Kireeva NV, et al. Irritable bowel syndrome with concomitant diseases of the stomach and esophagus (overlap syndrome): clinical and immunomorphological characteristics. Medicinskij vestnik Severnogo Kavkaza. 2018;13(2):325–329. (In Russ.)] doi: https://doi.org/10.14300/mnnc.2018.13041
- Осадчук М.А., Бурдина В.О. Синдром раздраженного кишечника с внекишечными проявлениями с позиции нейроэндокринной патологии // Экспериментальная и клиническая гастроэнтерология. — 2015. — Т. 2. — № 114. — С. 29–34. [Osadchuk MA, Burdina VO. Irritable bowel syndrome withextraintestinal manifestations from a position of neuroendocrine pathology. Eksperimental’naya i klinicheskaya gastroenterologiya. 2015;2(114):29–34. (In Russ.)]
- Jones R, Latinovic R, Charlton J, et al. Physical and psychological co-morbidity in irritable bowel syndrome: a matched cohort study using the General Practice Research Database. Aliment Pharmacol Ther. 2006;24(5):879–886. doi: https://doi.org/10.1111/j.1365-2036.2006.03044.x
- Knowles CH, Farrugia G. Gastrointestinal neuromuscular pathology in chronic constipation. Best Pract Res Clin Gastroenterol. 2011;25(1):43–57. doi: https://doi.org/10.1016/j.bpg.2010.12.001
- Preston DM, Adrian TE, Christofides ND, et al. Positive correlation between symptoms and circulating motilin, pancreatic polypeptide and gastrin concentrations in functional bowel disorders. Gut. 1985;26(10):1059–1064. doi: https://doi.org/10.1136/gut.26.10.1059
- Simrén M, Björnsson ES, Abrahamsson H. High interdigestive and postprandial motilin levels in patients with the irritable bowel syndrome. Neurogastroenterol Motil. 2005;17(1):51–57. doi: https://doi.org/10.1111/j.1365-2982.2004.00582.x
- Fukudo S, Suzuki J. Colonic motility, autonomic function, and gastrointestinal hormones under psychological stress on irritable bowel syndrome. Tohoku J Exp Med. 1987;151(4):373–385. doi: https://doi.org/10.1620/tjem.151.373
- Simrén M, Abrahamsson H, Björnsson ES. An exaggerated sensory component of the gastrocolonic response in patients with irritable bowel syndrome. Gut. 2001;48(1):20–27. doi: https://doi.org/10.1136/gut.48.1.20
- Sjölund K, Ekman R, Wierup N. Covariation of plasma ghrelin and motilin in irritable bowel syndrome. Peptides. 2010;31(6):1109–1112. doi: https://doi.org/10.1016/j.peptides.2010.03.021
- Sanger GJ, Wang Y, Hobson A, et al. Motilin: towards a new understanding of the gastrointestinal neuropharmacology and therapeutic use of motilin receptor agonists. Br J Pharmacol. 2013;170(7):1323–1332. doi: https://doi.org/10.1111/bph.12075
- Mertz H, Naliboff B, Munakata J, et al. Altered rectal perception is a biological marker of patients with irritable bowel syndrome. Gastroenterology. 1995;109(1):40–52. doi: https://doi.org/10.1016/0016-5085(95)90267-8
- El-Salhy M, Gundersen D, Hatlebakk JG, et al. Abnormal rectal endocrine cells in patients with irritable bowel syndrom. Regul Pept. 2014;188:60–65. doi: https://doi.org/10.1016/j.regpep.2013.11.005
- Bednarska O, Walter SA, Casado-Bedmar M, et al. Vasoactive Intestinal Polypeptide and Mast Cells Regulate Increased Passage of Colonic Bacteria in Patients with Irritable Bowel Syndrome. Gastroenterology. 2017; 153(4):948–960.e3. doi: https://doi.org/10.1053/j.gastro.2017.06.051
- Delgado M, Gonzalez-Rey E, Ganea D. VIP/PACAP preferentially attract Th2 effectors through differential regulation of chemokine production by dendritic cells. FASEB J. 2004;18(12):1453–1455. doi: https://doi.org/10.1096/fj.04-1548fje
- Mazzawi T, Hausken T, Gundersen D, et al. Dietary guidance normalizes large intestinal endocrine cell densities in patients with irritable bowel syndrome. Eur J Clin Nutr. 2016 Feb;70(2):175–181. doi: https://doi.org/10.1038/ejcn.2015.191
Supplementary files









