Molecular Genetic Characteristic of Pulmonary Tuberculosis Associated with ABCB1 Gene Expression of Multidrugresistance Protein P-gp
- Authors: Ergeshov A.E.1,2, Erokhina M.V.1,3, Pavlova E.N.3, Lepekha L.N.1, Tarasov R.V.1, Tarasova E.K.1
-
Affiliations:
- Central Tuberculosis Research Institute
- Russian University of Medicine
- Lomonosov Moscow State University
- Issue: Vol 79, No 5 (2024)
- Pages: 463–473
- Section: PHTHISIOLOGY: CURRENT ISSUES
- Published: 13.12.2024
- URL: https://vestnikramn.spr-journal.ru/jour/article/view/17984
- DOI: https://doi.org/10.15690/vramn17984
- ID: 17984
Cite item
Full Text
Abstract
Background. Tuberculous inflammation is mediated by a complex molecular signaling pathway, the analysis of which makes it possible to identify promising biomarkers and targets for the development of new diagnostic, prognostic and pharmacological approaches in order to improve the effectiveness of anti-tuberculosis chemotherapy. Determining the relationship between key inflammatory cytokines, the multidrug-resistant protein P-gp and the activity of specific inflammation in the surgical material of patients with pulmonary tuberculosis may prove to be a novel tool in the development of pathogenetic therapy and personalized medicine.
Aims — to characterize molecular and genetic profiles of tuberculomas and identify genes that correlate with the expression of the ABCB1 gene of the P-gp protein in the surgical material of patients with pulmonary tuberculosis. Research objectives: 1) to obtain molecular and genetic characteristics of tuberculosis by real-time PCR and compare it with the activity of tuberculous inflammation; 2) to carry out a correlation analysis between the expression of the ABCB1 gene and key cytokines of the tuberculosis process: IL-6, IL-10, IFN-γ, TGF-β, TNF-α, IL-1β.
Methods. A prospective cohort study was conducted on the basis of the FSBI CTRI. The object of the study was the surgical material of 35 patients diagnosed with multiple pulmonary tuberculomas. Histological examination methods were used for the morphological assessment of the surgical material. A real-time quantitative PCR method was used to analyze gene expression. Statistical processing was performed using the GraphPad Prism Version 7.04 software package (GraphPad Software, USA). The data is presented as a median with an interquartile range. The nonparametric Mann–Whitney U-test was used to compare the two groups. All p-values were two-sided and p < 0.05 was considered statistically significant. The correlation between the variables was estimated using the Spearman correlation coefficient. The correlation analysis was carried out in the Microsoft Office Excel 2010 Software.
Results. The study revealed that the highest level of expression of ABCB1 gene of the P-gp protein is observed in tuberculomas with high activity of tuberculous inflammation, and its expression is correlated with the expression of the IL6 gene (p < 0.001) and the expression of the IL10 gene (p < 0.01). Tuberculomas of this group are also characterized by higher expression of the TGFB1, TNF and IL1B genes, compared with the group of moderate activity of specific inflammation.
Conclusions. The data obtained indicate that in addition to pro-/anti-inflammatory cytokines, the P-gp protein plays an important role in the pathogenesis of tuberculous inflammation, especially with its high activity. Further clarification of the P-gp role in tuberculous inflammation may be an important step for the development of new approaches to treat tuberculosis using methods of HDT and personalized medicine.
Full Text
Обоснование
По данным Всемирной организации здравоохранения, туберкулез является одной из 10 ведущих причин смертности в мире, и, несмотря на успех антибактериальной терапии, наблюдается рост числа случаев лекарственно устойчивого туберкулеза. С 2014 г. в разных регионах мира растет доля туберкулеза, вызываемого штаммами возбудителей с лекарственной устойчивостью [1], что приводит к ежегодному повышению финансовых расходов на борьбу с туберкулезом [2]. К противотуберкулезному препарату претоманиду, одобренному к использованию только в 2019 г., случаи устойчивости были зафиксированы уже в мае 2023 г. [3]. Также зафиксирована устойчивость возбудителя и к одному из современных противотуберкулезных препаратов для лечения лекарственно устойчивого туберкулеза — бедаквилину [4]. В связи с этим как дополнение к традиционной химиотерапии туберкулеза, направленной на возбудитель, разрабатывается подход, называемый Host-directed therapy (HDT), т.е. терапия, направленная на организм «хозяина» — самого пациента [5]. HDT рассматривается в качестве актуального направления, посредством которого предполагается повысить эффективность противотуберкулезной терапии [6]. В рамках этого направления осуществляется поиск новых прогностических биомаркеров и перспективных мишеней для фармакологического воздействия в клетках «хозяина» при туберкулезе легких [7]. Предполагается, что таким образом можно будет повысить эффективность клеточных механизмов борьбы с патогеном и влиять на регуляцию специфического воспаления. Одним из кандидатов для фармакологического влияния в рамках HDT является белок-транспортер из группы мультилекарственных транспортеров P-гликопротеин (P-gp), кодируемый геном ABCB1 (MDR1).
P-gp относится к семейству АТФ-связывающих белков-транспортеров и обеспечивает экспорт соединений различной химической природы из цитоплазмы во внеклеточную среду. Это препятствует накоплению в клетках лекарственных препаратов, которые являются субстратами для P-gp и число которых, по данным ресурса Drugbank, уже достигает более 400 наименований: к ним относятся и противотуберкулезные препараты рифампицин, этамбутол, моксифлоксацин [8]. Предполагается, что P-gp может изменять фармакокинетику противотуберкулезных препаратов, снижая их накопление в легких и инфицированных Mycobacterium tuberculosis макрофагах. Помимо этого, за счет транспорта про-/противовоспалительных цитокинов P-gp является участником и регулятором воспаления [9]. P-gp высокоэкспрессирован в клетках легких, а также в большинстве типов иммунных клеток [10]. Таким образом, P-gp, с одной стороны, выступает как белок-экспортер, взаимодействующий с противотуберкулезными препаратами, а с другой — может быть участником воспалительного процесса. При этом изменения в экспрессии ABCB1 и функция P-gp при разной активности туберкулеза не изучены.
Цель исследования — молекулярно-генетическая характеристика туберкулем и выявление генов, которые коррелируют с экспрессией гена ABCB1 в операционном материале.
Для реализации цели поставлены следующие задачи:
1) провести молекулярно-генетическую характеристику туберкулем методом ПЦР в реальном времени и сопоставить ее с активностью специфического воспаления;
2) осуществить корреляционный анализ между экспрессией гена ABCB1 и ключевыми цитокинами туберкулезного процесса — IL-6, IL-10, IFN-γ, TGF-β, TNF-α, IL-1β.
Методы
Дизайн исследования
Исследование являлось открытым, когортным, проспективным.
Критерии соответствия
Критериями включения пациентов в основную группу исследования являлись:
- диагноз «множественные туберкулемы легких» («Туберкулема легких» МКБ-10: А15.0);
- возраст — от 25 до 60 лет;
- длительность заболевания до операции — не более 5 лет;
- отсутствие сахарного диабета и аутоиммунных заболеваний.
Условия проведения
Настоящее исследование выполнено на базе Центрального научно-исследовательского института туберкулеза (г. Москва) с частичным использованием приборной базы Биологического факультета МГУ им. М.В. Ломоносова (г. Москва), согласно договору о некоммерческом сотрудничестве от 25 мая 2022 г. № НС-2022/1.
Все больные в предоперационном периоде получали противотуберкулезное лечение, продолжительность которого варьировала в широких пределах — от 4 мес до 5,5 года. Все исследования одобрены этическим комитетом ЦНИИT (протокол № 1 от 15 января 2017 г.) и проводились в соответствии с принципами, изложенными в Хельсинкской декларации. От каждого пациента, участвовавшего в этом исследовании, было получено письменное информированное согласие.
Продолжительность исследования
Получение образцов операционного материала проводилось с 2018 по 2019 г.
Описание медицинского вмешательства
Каждому пациенту выполнялось комплексное обследование, включающее в себя сбор анамнеза, осмотр, инструментальные исследования: рентгенологические (РГ и КТ ОГК), спирометрию — до и через 3 мес после операции. У всех 35 пациентов операция носила лечебный характер.
На момент поступления в хирургический стационар 12 (34,3%) пациентов получали лечение по I режиму противотуберкулезной терапии; 5 (14,3%) — по II режиму; 11 (31,4%) — по IV режиму; 7 (20%) пациентов — по V режиму.
Всем 35 пациентам в зависимости от размера и расположения образования были выполнены следующие хирургические вмешательства: 26 (74,3%) сегментарных резекций (атипичных и с анатомической обработкой корня), в том числе 1 (2,8%) ререзекция; 2 (5,7%) лобэктомии; 7 (20%) комбинированных резекций. При этом резекция проводилась слева у 17 (48,6%), справа — у 18 (51,4%) пациентов (p > 0,05).
Во всех случаях послеоперационный период протекал без осложнений, швы были сняты на 14-е сут, больные выписаны из стационара на 15 ± 3,7 сут после операции. Сроки лечения после операции — 6–18 мес в зависимости от полученного в операционном материале спектра чувствительности возбудителя.
Исходы исследования
Основной исход исследования. Образцы операционного материала фиксировали в 10% забуференном формалине («Биовитрум», Россия). Дегидратацию проводили по стандартному протоколу в ряду спиртов от 70 до 96%, затем в изопропиловом спирте на 2 ч. После дегидратации образцы помещали в смесь парафина и хлороформа (1:1) на 2 ч при температуре 56 ˚С, затем заливали в парафин (Hystomix «Биовитрум», Россия). Гистологические срезы толщиной 4–5 мкм окрашивали гематоксилином и эозином и заключали в канадский бальзам.
Для проведения молекулярно-генетического анализа образцы легких (около 25–50 мг) брали во время операции на расстоянии не более 0,5 см от стенки туберкулемы, так называемой перифокальной области. Образцы немедленно замораживали в азоте и хранили при температуре –70 ˚С для последующего ПЦР-анализа. Для выделения РНК каждый образец помещали в 1 мл TRIReagent (MRC, Великобритания), добавляли 100 мкл 1-бром-3-хлорпропана (Sigma-Aldrich, США) и инкубировали, периодически встряхивая, в течение 15 мин. Далее смесь центрифугировали на оборотах 12 000 g 15 мин, водную фракцию отбирали, перемешивали с изопропанолом (1:1) и инкубировали 15 мин, после чего центрифугировали 20 мин на 12 000 g при температуре 4 ˚С. Далее спирт удаляли, оставляя осадок РНК. Преципитат выделенной РНК еще дважды промывали 80% этанолом, высушивали и разводили в воде без РНКаз в объеме 20–30 мкл. Для оценки количества выделенной РНК использовали спектрофотометр Nanodrop 8000 (Thermo Fisher Scientific, США) и для дальнейшего синтеза кДНК брали образцы с соотношением абсорбции на длинах волн 260/280 в диапазоне с 1,9 до 2,1. Целостность РНК дополнительно оценивали с помощью гель-электрофореза, для анализа брали образцы с видимыми полосами 28S и 18S РНК. 1 мкг тотальной РНК обрабатывали с помощью ДНКазы I (Thermo Fisher Scientific, США) согласно протоколу производителя. Обратную транскрипцию проводили с использованием набора MMLV RT («Евроген», Россия) в соответствии с предоставленными инструкциями и с использованием случайных гексамерных праймеров. Полученную кДНК использовали для количественного ПЦР-анализа. Для ПЦР в реальном времени использовали коммерческую смесь qPCRmix-HS SYBR и Low-Rox («Евроген», Россия), содержащую полимеразу, буфер и смесь нуклеотидов, согласно инструкции производителя. В реакцию брали 250 нг синтезированной кДНК с последующим добавлением прямого и обратного праймеров в конечной концентрации 1 мкМ.
Методы регистрации исходов
Для световой микроскопии использовали микроскоп ЦКП Института биологии развития РАН Biozero BZ-9000E от Keyence (Keyence, Осака, Япония).
ПЦР в реальном времени для образцов проводили с использованием апмлификатора CFX96 Touch (Bio-Rad, США) с праймерами, перечисленными в табл. 1.
Таблица 1. Пары праймеров, использованные для ПЦР в реальном времени
Ген | Прямой праймер | Обратный праймер | Длина продукта, п.о. |
B2M | GGGTTTCATCCATCCGACATTG | ACACGGCAGGCATACTCATCTTTT | 161 |
ABCB1 | TTGCTGCTTACATTCAGGTTTCA | AGCCTATCTCCTGTCGCATTA | 105 |
IL1B | TTACAGTGGCAATGAGGATGAC | TGTAGTGGTGGTCGGAGATTC | 131 |
IL6 | ACTCACCTCTTCAGAACGAATTG | CCATCTTTGGAAGGTTCAGGTTG | 149 |
IL10 | CGCTGTCATCGATTTCTTCCC | AGAGTCGCCACCCTGATGTC | 185 |
TNF | TCAGCAAGGACAGCAGAGGA | GTCAGTATGTGAGAGGAAGAGAACC | 128 |
IFNG | TCGGTAACTGACTTGAATGTCCA | TCGCTTCCCTGTTTTAGCTGC | 93 |
TGFB1 | AACAATTCCTGGCGATACCTCA | AAGCCCTCAATTTCCCCTCC | 125 |
Примечание. П.О. — пары оснований.
Каждый образец амплифицировали в двух технических повторностях, используя следующий профиль циклов ПЦР: 95 ˚С — в течение 3 мин; затем 40 циклов при 95 ˚С — в течение 15 с; 60 ˚С — в течение 60 с. Относительные уровни экспрессии определяли количественно с использованием метода ∆Ct, а условные единицы (у.е.) рассчитывали как 2 – ∆Ct × 104, где ∆Ct — разница между пороговыми циклами целевого гена и гена домашнего хозяйства B2M.
Этическая экспертиза
Все исследования были одобрены этическим комитетом ЦНИИT (протокол № 1 от 15 января 2017 г.) и проводились в соответствии с принципами, изложенными в Хельсинкской декларации. От каждого пациента, участвовавшего в этом исследовании, было получено письменное информированное согласие.
Статистический анализ
Принципы расчета размера выборки. Размер выборки предварительно не рассчитывался.
Методы статистического анализа данных. Статистическую обработку проводили с помощью программного пакета GraphPad Prism Version 7.04 (GraphPad Software, США). Данные представлены в виде медианы с межквартильными размахами. Для сравнения двух групп использовали непараметрический U-критерий Манна–Уитни, а для множественных сравнений — непараметрический критерий Краскела–Уоллиса c post-hoc-критерием Данна. Все значения p были двусторонними, и p < 0,05 считалось статистически значимым. Корреляцию между переменными оценивали с помощью коэффициента корреляции Спирмена. Корреляционный анализ проведен в программе Microsoft Office Excel 2010.
Результаты
Основные результаты исследования
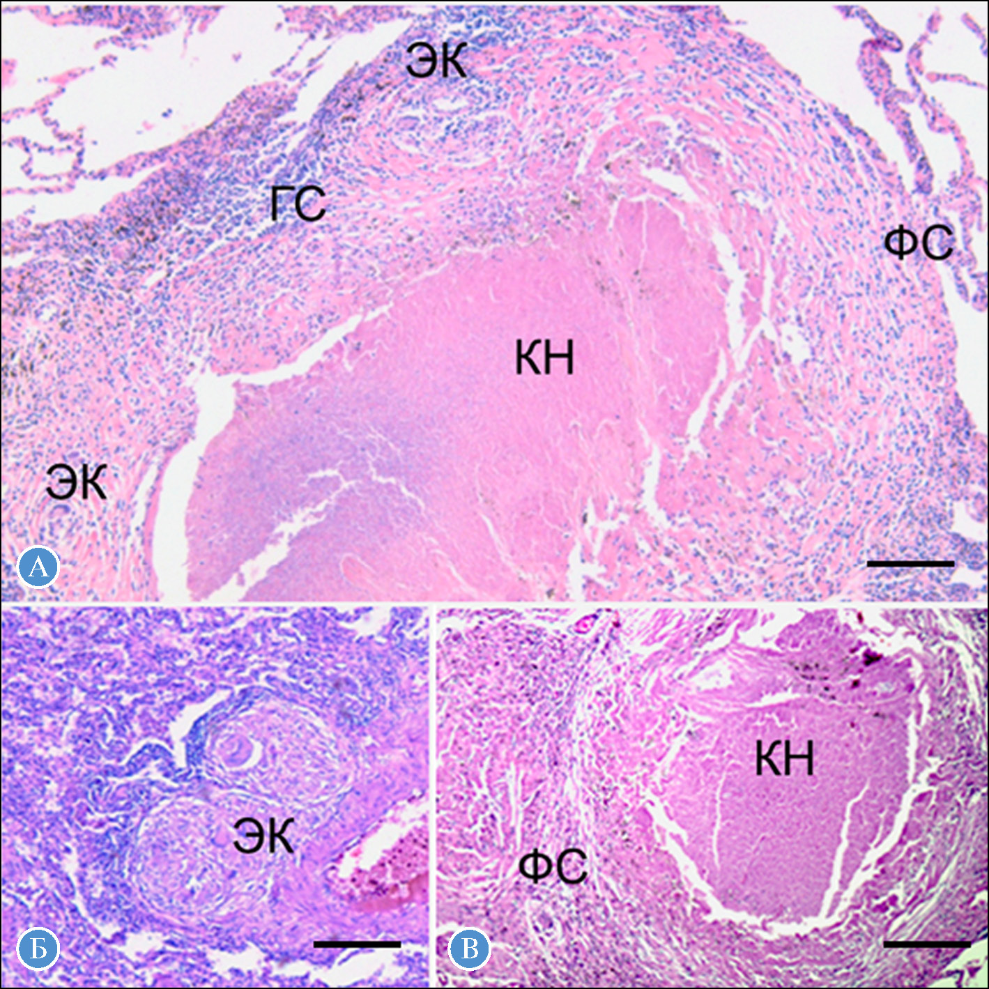
Гистологическая характеристика туберкулем. Для туберкулемы легкого с признаками умеренной активности воспалительного процесса характерны следующие морфологические особенности: в центре имеется область уплотненного казеозного некроза, который окружен двухслойной капсулой, состоящей из грануляционного (внутреннего) и фиброзного (наружного) слоев (рис. 1, А). Фиброзный слой капсулы хорошо выражен и сформирован компактно расположенными волокнами соединительной ткани. Грануляционный слой может быть фрагментарным, содержит клеточные элементы воспаления, среди которых преобладают макрофаги, лимфоциты, определяются отдельные нейтрофилы, эпителиоидные клетки, клетки Пирогова–Лангханса. В отдельных случаях выявляются эпителиоидно-клеточные гранулемы без некроза (см. рис. 1, А). В перифокальной зоне, на значительном протяжении сохраняющей воздушную паренхиму, определяются немногочисленные эпителиоидно-клеточные гранулемы без некроза (рис. 1, Б), а также очаги казеозного некроза с признаками организации (рис. 1, В). Последние содержат уплотненный казеоз, фрагменты грануляционной ткани, окруженные формирующимся фиброзным слоем.
Рис. 1. Туберкулемы с признаками умеренной активности воспалительного процесса: А — общий вид; Б, В — очаги отсева в виде гранулем или казеозного некроза с признаками организации. Окраска гематоксилином и эозином. Масштабный отрезок — 100 мкм
Примечание. КН — казеозный некроз; ГС — грануляционный слой; ФС — фиброзный слой; ЭК — эпителиоидно-клеточная гранулема.
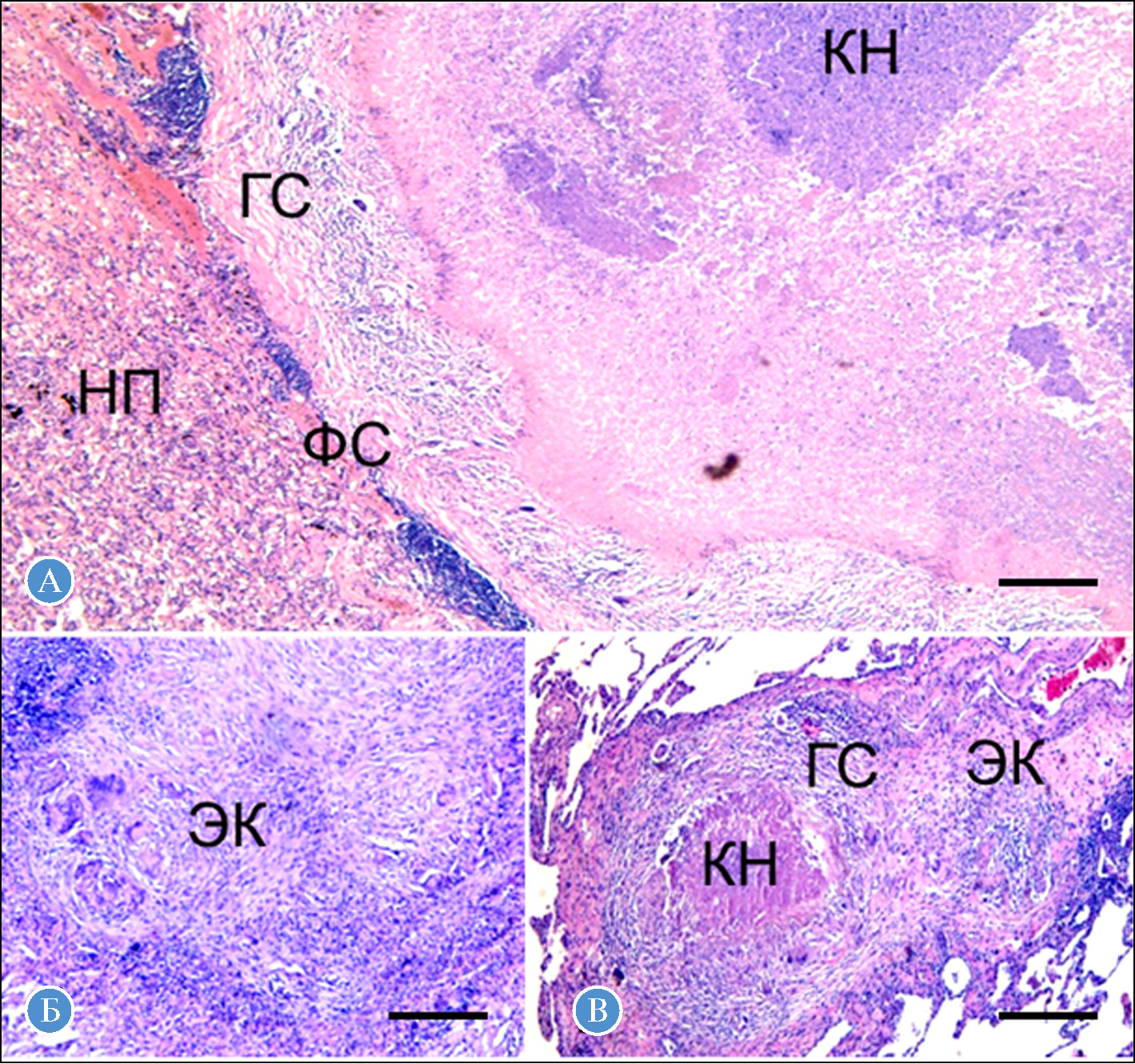
Для туберкулем с высокой активностью воспалительного процесса характерно наличие рыхлого казеозного некроза с признаками расплавления (рис. 2, А). Грануляционный слой широкий, содержит многочисленные клеточные элементы воспаления, в том числе нейтрофилы, а также сформированные эпителиоидно-клеточные гранулемы без некроза (см. рис. 2, А). Наблюдаются клеточная инфильтрация всей толщи капсулы, ее распространение на окружающую легочную ткань и формирование участков неспецифической пневмонии (см. рис. 2, А). На прогрессирование туберкулезного процесса указывает наличие очагов отсева в виде сливающихся между собой эпителиоидно-клеточных гранулем с некрозом и без (рис. 2, Б), а также фокусов казеозного некроза, окруженных грануляционной тканью без выраженных признаков организации (рис. 2, В).
Рис. 2. Туберкулемы легкого с признаками высокой активности воспалительного процесса: А — казеозный некроз с признаками расплавления, окруженный широким слоем грануляционной ткани, содержащей клеточные элементы воспаления и эпителиоидно-клеточные гранулемы; Б — очаг отсева в виде сливающихся между собой эпителиоидно-клеточных гранулем с некрозом и без; В — фокус казеозного некроза, окруженный грануляционной тканью без выраженных признаков организации. Окраска гематоксилином и эозином. Масштабный отрезок — 100 мкм
Примечание. КН — казеозный некроз; ГС — грануляционный слой; ФС — фиброзный слой; НП — участок неспецифической пневмонии; ЭК — эпителиоидно-клеточная гранулема.
Анализ экспрессии гена ABCB1 и генов цитокинов IL6, IL10, IFNG, TGFB1, TNF, IL1B в разных группах туберкулем. Сравнение экспрессии генов анализа выявило более высокий уровень экспрессии в группе туберкулем с высокой активностью (ВА) специфического воспаления для генов ABCB1, IL1B, TNF, TGFB1, IL6 по сравнению с группой умеренной активности (УА) (табл. 2). При этом для генов ABCB1, IL1B, IL6 в группе ВА показан также и наибольший разброс диапазона данных (рис. 3), что свидетельствует о значительной гетерогенности туберкулем этой группы по данному параметру. Наиболее высокий разброс данных характерен для гена IL6 — от минимальных значений, сравнимых с группой УА, до максимальных значений в группе ВА, которые возрастают более чем в 400 раз по сравнению с группой УА.
Рис. 3. Гистограммы, демонстрирующие высокий уровень экспрессии генов ABCB1, IL6, IL1B, TGFB1 в туберкулемах с высокой активностью специфического воспаления
Таблица 2. Анализ экспрессии генов в туберкулемах с умеренной и высокой активностью
Ген | Туберкулемы | ||
Все образцы | С умеренной активностью | С выраженной активностью | |
IL1B | 23,70 (13,7–67,2) | 13,48 (9,86–25,0) | 41,98* (21,51–99,9) |
IL6 | 4,94 (1,7–54,7) | 2,89 (1,79–6,19) | 33,64** (1,6–265,65) |
IL10 | 1,14 (0,67–2,2) | 1,01 (0,74–1,73) | 1,68 (0,67–4,24) |
IFNG | 3,84 (2,43–5,68) | 3,16 (2,30–5,94) | 3,96 (2,83–5,24) |
TNF | 10,02 (7,40–16,36) | 8,03 (5,49–10,24) | 11,83*(9,25–18,78) |
TGFB1 | 78,40 (66,9–112,4) | 69,20 (52,3–81,95) | 86,48* (70,3–128,2) |
АВСВ1 | 63,5 (34,25–125,78) | 25,00 (23,87–47,95) | 102,65* (38,43–148,12) |
Примечание. Даны значения медианы и квартилей 1–3 (25–75%). N (УА) = 15; N (ВА) = 20, где N — число пациентов. Статистически значимые различия между группами туберкулем с разной активностью воспаления: * p < 0,01; ** p < 0,05.
Корреляционный анализ экспрессии генов. Проведенный корреляционный анализ показал, что наибольшее значение коэффициентов положительной корреляции экспрессии выявлено между генами IL6 и IL10 (r = 0,83) и генами ABCB1 и IL6 (r = 0,78) (рис. 4). Экспрессия ABCB1 имеет также положительную умеренную корреляцию с IL10 (r = 0,55) и умеренно отрицательную — с IFNG (r = –0,41). Слабая корреляция характерна для гена ABCB1 с генами IL1B и TGFB1 (r = 0,29 и r = 0,34 соответственно).
Рис. 4. Матрица значимых коэффициентов корреляции Спирмена (r) между относительными уровнями экспрессии генов в легких больных с диагнозом «множественные туберкулемы»
Примечание. Значение коэффициента r = 0,2–0,39 — слабая корреляция; 0,40–0,59 — умеренная; 0,6–0,79 — сильная; 0,8–1,0 — очень сильная корреляция. Цвет ячеек указывает на достоверные различия: р < 0,01 — зеленый; р < 0,001 — темно-зеленый.
Нежелательные явления
Нежелательные явления в ходе проведения исследования отсутствовали.
Обсуждение
В результате проведенного исследования выявлено, что:
1) ген ABCB1 белка P-gp демонстрирует наивысший уровень экспрессии в туберкулемах с высокой активностью специфического воспаления;
2) экспрессия ABCB1 в наибольшей степени коррелирует с экспрессией гена IL6;
3) группа туберкулем ВА характеризуется большей гетерогенностью значений экспрессии генов анализа, чем группа УА;
4) в группе ВА для гена IL6 характерен выраженный разброс значений.
Для цитокина IL-6 показано, что его повышенные уровни выявляются в плазме крови у больных туберкулезом, у которых в легких регистрируются обширные зоны туберкулезных очагов [11]. В данной статье авторы не приводят клинические формы туберкулеза легких, а оперируют показателем «площадь поражения легких» по данным рентгенологического исследования. Эти данные согласуются с нашими данными, что повышенные уровни экспрессии IL-6 характерны для высокой активности воспаления. Повышенный уровень IL-6 характеризует преобладание в зоне специфического воспаления макрофагов, рекрутируемых из моноцитов и продуцирующих IL-6, а не резидентных макрофагов (гистиоцитов). Эти данные были получены методом транскриптомного анализа клеток (single cell RNA seq), выделенных из образцов бронхоальвеолярного лаважа у пациентов с туберкулезом легких [12]. Предполагается, что IL-6 является ключевым фактором патогенеза туберкулеза, так как влияет на выработку других цитокинов, как провоспалительных, так и противовоспалительных.
Животные с дефицитом IL-6, инфицированные M.tb, демонстрируют измененную реакцию Т-хелперов 1-го типа и повышение бактериальной нагрузки, что указывает на важную роль IL-6 в обеспечении защитной реакции организма к инфицированию M.tb [13]. Макрофаги, инфицированные M.tb, секретируют IL-6, который подав-ляет восприимчивость неинфицированных макрофагов к IFN-γ, необходимому для борьбы с возбудителем [14].
Заражение M.tb мышей с нокаутными генами белков IL-1α и IL-1β или их рецептора IL-1R1 выявило высокий уровень их смертности, сопровождавшийся увеличением бактериальной нагрузки и обширными повреждениями легких [15]. Повышенные концентрации цитокинов IL-6, IL-1β и IL-11 в легких в значительной степени коррелируют с прогрессированием туберкулеза у генетически восприимчивых мышей [16]. Это позволяет предположить, что и у человека совместное действие IL-6 и IL-1β способствует развитию более активного специфического воспаления, так как в нашей работе была обнаружена повышенная экспрессия обоих цитокинов, которая также имела умеренную корреляцию между собой.
Основными источниками IL-1β являются клетки врожденного иммунитета: моноциты, макрофаги и дендритные клетки усиливают выработку IL-1 при аэрозольном инфицировании мышей M.tb [17]. Нейтрофилы также проникают в легкие и фагоцитируют M.tb, но их вклад в выработку IL-1, по-видимому, значительно ниже. Альвеолярные макрофаги также продуцируют IL-1β in vivo при инфицировании M.tb [18].
Терапевтическая блокада IL-1 связана с риском развития туберкулеза, что подтверждает защитную роль IL-1 при этом заболевании [19]. Однако было показано, что повышенные уровни IL-1β и соотношения IL-1β/IL-1RA связаны с некрозом тканей и образованием полостей у больных туберкулезом [20].
У больных туберкулезом с двусторонним или кавернозным поражением легких наблюдались достоверно более высокие уровни цитокинов TNF-α и IL-1β в плазме крови по сравнению с больными с односторонними или некавернозными поражениями [21]. Это свидетельствует о высоких уровнях данных цитокинов при активном туберкулезном процессе и согласуется с обнаруженной нами повышенной экспрессией генов IL1B и TNF у больных с высокой активностью воспаления по сравнению с больными с умеренной активностью воспаления.
Секреция IL-1β может модулироваться также и самим возбудителем. Было обнаружено, что белок M.tb, кодируемый геном zmp1, предотвращает активацию инфламмасом и выработку IL-1β в макрофагах мышей. Мыши, инфицированные нокаутными по zmp1 микобактериями, демонстрировали более высокие уровни выработки IL-1β, более низкую бактериальную нагрузку на легкие и более быстрое абацилирование, что приводило к положительному исходу заболевания [22]. Как у нечеловекообразных приматов, так и у восприимчивых к инфицированию мышей применение ингибитора IL-1β анакирна через 2 нед после их заражения M.tb в качестве дополнения к лечению линезолидом уменьшило интенсивность воспаления и повреждений тканей легких, вызванных этим антибиотиком [23].
Морфологическая картина, характерная для высокой активности воспаления, согласуется с обнаруженным повышенным уровнем экспрессии IL1B в образцах. Возможно, что повышенная экспрессия IL1B обусловливает преобладание провоспалительных реакций, которые в итоге приводят к повреждению тканей легких. Повреждения, индуцированные избыточным провоспалительным действием цитокина, могут также быть усилены действием возбудителя заболевания и способствовать нарушению регуляции воспалительных механизмов, приводящему в итоге к неблагоприятному исходу.
IL-10 — продукт клонов T-хелперов 2-го типа после стимуляции антигеном, который блокирует выработку цитокинов клонами T-хелперов 1-го типа. IL-10 подавляет способность макрофагов и дендритных клеток активировать T-хелперы 1-го типа [24]. IL-10 вырабатывается не только Th2-клетками, но и большинством, если не всеми, CD4+Т-клеточными субпопуляциями, включая T-хелперы 17, В-клетки, нейтрофилы, макрофаги и некоторые субпопуляции дендритных клеток [25]. Регуляторные Т-клетки (Treg) в контексте инфекционных заболеваний также служат основным источником IL-10 [25]. Индукция IL-10 при туберкулезе может быть не просто реакцией, инициируемой организмом с целью ограничить распространение патогена. Данные, полученные при вирусных инфекциях, таких как вирус Эпштейна–Барр, свидетельствуют о том, что выработка IL-10 приводит к ослаблению иммунного ответа и развитию хронического воспаления. Как и в случае с вирусами, эти наблюдения также были отмечены при туберкулезной инфекции [24].
Предполагается, что выработка IL-10 макрофагами после фагоцитоза микобактерий происходит как ответ организма-хозяина на инфицирование или может быть индуцирована бактериями, так как IL-10 блокирует созревание фаголизосом, что способствует внутриклеточному выживанию возбудителя внутри органеллы [22].
Было показано, что у больных туберкулезом легких уровень IL-10 повышен в клетках тканей легких, выделенных из образцов мокроты, плазме [26] и сыворотке крови [27].
При исследовании бронхоальвеолярного лаважа пациентов с туберкулезом легких обнаружено, что уровни IL-10 и TGF-β повышены [26, 28]. Также наблюдалось повышение уровня IL-10 в мокроте пациентов с туберкулезом легких [29]. Опираясь на сильные противовоспалительные свойства IL-10, стоило бы ожидать повышение его экспрессии в группе с умеренной активностью воспаления. Однако в нашей работе уровень экспрессии гена IL10 статистически значимо не отличался в группах с высокой и умеренной активностью воспаления. Подобное наблюдение может быть связано с нарушением баланса про- и противовоспалительных цитокинов. Согласно данным, полученным на больных COVID-19, повышение соотношения IL-6/IL-10 в сторону первого говорило о более негативном прогнозе и высокой вероятности летального исхода [30].
Среди полученных нами результатов также необходимо отметить высокую корреляцию между экспрессией IL6 и IL10, что также может свидетельствовать в пользу того, что при специфическом туберкулезном воспалении важно учитывать соотношение значений экспрессии их генов или цитокинов в организме пациента.
Передача сигналов IL-6 в основном осуществляется по пути JAK/STAT, преимущественно через STAT3 [31]. Ранее нами было показано, что STAT3 также является ключевым геном, связанным с экспрессией гена ABCB1 [32]. Наличие общих сигнальных каскадов может объяснить их высокую корреляцию между собой в туберкулемах и ставит вопрос о роли и значимости STAT3 при туберкулезе легких, что требует дальнейшего исследования.
Как IL-6, так и IL-10 активируют STAT3 и повышают экспрессию SOCS3 в макрофагах. SOCS3, в свою очередь, ингибирует передачу сигналов IL-6 посредством связывания с gp130. Таким образом, активация STAT3 через IL-6 является кратковременной. В то же время SOCS3 не блокирует активацию STAT3 через IL-10, который индуцирует длительную активацию STAT3. Считается, что IL-6, вызывающий кратковременную активацию STAT3, отвечает за его провоспалительный ответ, в то время как IL-10 индуцирует длительную активацию STAT3. Длительная активация STAT3, в свою очередь, ингибирует воспалительные реакции в макрофагах [33, 34].
На сегодняшний день данных о роли белка P-gp (ген ABCB1) в туберкулезном воспалении исключительно мало. Показано, что экспрессия гена ABCB1 в легких больных туберкулезом по сравнению с генами других белков множественной лекарственной устойчивости (МЛУ) находится на более высоком уровне [32]. Экспрессия ABCB1 возрастает в макрофагах человека при инфицировании штаммами M.tb [35], действии провоспалительных цитокинов IL-6, IL-1β, TNF-α [36] или противотуберкулезного препарата рифампицина [37]. При этом информация о влиянии других противотуберкулезных препаратов именно на экспрессию гена ABCB1 отсутствует или требует уточнения.
Непосредственно субстратами P-gp являются противотуберкулезные препараты рифампицин, этамбутол, моксифлоксацин [8]. Для бедаквилина на инфицированных M.tb мышах показано, что ингибирование P-gp верапамилом приводит к значительному снижению бактерицидной концентрации препарата [38]. Эти данные указывают на роль P-gp в снижении эффективности действия бедаквилина, хотя в настоящее время нет данных о его прямом взаимодействии с P-gp. Ингибиторы P-gp верапамил и резерпин демонстрируют снижение бактериальной нагрузки и повышение чувствительности M.tb к рифампицину в инфицированных M.tb мышах [39], что также указывает на важность разработки подходов для ингибирования P-gp при туберкулезном воспалении.
С другой стороны, сам P-gp может регулировать иммунный ответ: мыши с нокаутом по генам Mdr1a/Mdr1b характеризуются сниженной секрецией провоспалительных цитокинов и меньшим количеством иммунных клеток в зоне воспаления по сравнению с контролем [40]. P-gp также участвует в транспорте цитокинов из иммунных клеток: фармакологическое ингибирование P-gp снижает секрецию TNF-α, IL-2, IL-4, IL-12, INF-γ [41]. А именно эти цитокины играют важную роль в патогенезе туберкулеза.
Наиболее подробно экспрессия ABCB1 и функции P-gp изучены в рамках исследования происхождения и развития злокачественных опухолей, их резистентности к противоопухолевой терапии и при некоторых других заболеваниях.
В экспериментах in vitro с использованием клеточной линии аденокарциномы HCT-8 и лимфоцитов периферической крови здоровых доноров было показано, что в присутствии ингибиторов P-gp (верапамил) секреция клетками IL-12 прекращается [41]. Также авторы отмечают этот феномен и для других цитокинов — IL-2, IFN-γ и IL-1β. IL-12 необходим для выработки IFN-γ дендритными клетками, а выработка IL-12 во время Т-клеточных реакций, индуцированных дендритными клетками, может влиять на индукцию ими иммунного ответа Th1 или Th2, что, в свою очередь, может быть причиной наблюдаемого снижения уровней IFN-γ. Эти данные напрямую свидетельствуют о способности P-gp транспортировать цитокины, что может являться причиной наблюдаемого в нашей работе дисбаланса в экспрессии IL6 и IL10.
Проведенный на здоровых мышах линии C57BL/6 эксперимент продемонстрировал, что экзогенное введение мышиного IL-6 подавляет экспрессию ABC-переносчиков, в том числе ABCB1, в клетках печени [42]. В материале утверждается, что опосредованное IL-6 подавление экспрессии АВС-транспортеров в клетках печени может происходить посредством активации NF-κB с помощью STAT3. Однако обнаруженная в нашей работе корреляция между экспрессией IL6 и ABCB1 является положительной, что может говорить о нарушении иммунной регуляции в случае специфического туберкулезного воспаления.
Методом секвенирования РНК в образцах аденокарциномы молочной железы было обнаружено, что экспрессия мРНК ABCB1 коррелировала с метастазированием в лимфатические узлы и низкой выживаемостью пациентов с раком молочной железы. Высокая экспрессия ABCB1 коррелировала с повышенной экспрессией IL6, CSF1, CSF3 [43]. Полученные авторами данные о корреляции экспрессии IL6 и ABCB1 согласуются с нашими и говорят в пользу присутствия влияния P-gp на экспрессию цитокинов при воспалении, в том числе продуктивном, к которому можно отнести туберкулезное воспаление и патологии молочной железы.
В исследованиях, посвященных роли ABCB1 в развитии нейродегенеративных заболеваний, показано, что блокирование P-gp во время индуцированной дендритными клетками активации Т-клеток предотвращало специфическую пролиферацию CD4+ и CD8+ Т-клеток, которая сопровождалась снижением секреции провоспалительных цитокинов TNF-α и IFN-γ [44]. Это согласуется с наблюдениями, полученными в нашей работе, так как экспрессия IL10 — гена противовоспалительного цитокина — значимо не отличалась в группах с разной активностью воспаления.
Другие наблюдения, полученные на опухолевых моделях, проясняют роль ABCB1 в формировании лекарственной устойчивости соматических клеток. В эксперименте in vitro клетки гепатоцеллюлярной карциномы развивали резистентность к ленватинибу путем активации EGFR и стимуляции нисходящего сигнального пути EGFR–STAT3–ABCB1, что сопровождалось нарушением метаболизма холестерина и активацией липидного рафта. ABCB1 активировался EGFR липидзависимым образом, что значительно усиливало экзоцитоз ленватиниба, опосредуя резистентность [45].
В эксперименте на клеточных линиях карциномы легкого исследование показало, что бутират натрия, применяемый для терапии злокачественных опухолей легких, может усиливать экспрессию белка MDR P-gp в клетках рака легких. Бутират натрия индуцировал экспрессию STAT3, которая впоследствии запускала активацию транскрипции ABCB1 [46].
Функциональная активность P-gp также может зависеть от присутствия в гене ABCB1 однонуклеотидных полиморфизмов (SNPs). Самым изученным в контексте туберкулеза легких является rs1045642 (С3435T), синонимичная замена в 26-м экзоне гена ABCB1. Имеются данные, что этот SNP влияет на всасываемость лекарств в кишечнике при пероральном приеме и на их фармакокинетику [47]. При этом данные о клинической значимости полиморфизма rs1045642 (С3435T) при химиотерапии туберкулеза легких достаточно противоречивы [48], подчеркивается необходимость увеличения размеров выборок [49] и дополнительных исследований, чтобы установить влияние полиморфизма ABCB1 на фармакокинетику противотуберкулезных препаратов. Открытым также остается вопрос о взаимосвязи между полиморфизмом ABCB1 и активностью туберкулезного воспаления у больных туберкулемами или другими формами туберкулеза легких.
Суммируя результаты нашего исследования и данные литературы, мы полагаем, что проведенный ПЦР-анализ операционного материала позволяет нам выделить экспрессию генов ABCB1, IL6 и IL10 как наиболее перспективных для оценки активности специфического воспаления и его тенденции к прогрессированию или заживлению. Мы предполагаем, что в группе ВА высокие уровни экспрессии гена IL6 могут свидетельствовать о прогрессировании воспаления, а низкие — о снижении активности воспаления и тенденции к заживлению. Мы предполагаем, что эта панель генов может быть биомаркером активности туберкулезного воспаления в рамках разработки подходов для персонализированной медицины у больных туберкулемами легких. Требуется дальнейший анализ экспрессии этих генов и сопоставление с данными уровней цитокинов IL-6 и IL-10 в операционном материале. Следует отметить, что использование ингибиторов IL-6 изучается для борьбы с цитокиновым штормом при туберкулезе [50] и предотвращения рецидивов туберкулеза у больных ревматоидным артритом [51]. Отдельно следует отметить возможность фармакологического ингибирования активности P-gp. В настоящее время разрабатывается новое поколение специфичных ингибиторов P-gp, в том числе и для повышения действия препаратов химиотерапии, которые являются субстратами для P-gp. Так как высокий уровень корреляции между ABCB1 и IL6, IL10 и IL6 указывает на их совместное участие в туберкулезном воспалении и общие сигнальные пути, то таким перспективным подходом может быть использование ингибиторов STAT3 [36].
Заключение
Принимая во внимание рост числа случаев туберкулеза с множественной лекарственной устойчивостью, противотуберкулезная терапия нуждается в повышении эффективности. Подход HDT как часть патогенетической терапии позволяет изменить ход клеточных механизмов собственно больного в процессе борьбы с патогеном, приводя к более положительному исходу заболевания. Глубокое понимание механизмов, лежащих в основе специфического воспаления, необходимо для разработки оптимальных стратегий терапии, направленной на пациента.
Наша работа расширяет имеющиеся данные о развитии туберкулезного воспаления и задействованных в нем молекулярных механизмах. В операционном материале больных туберкулезом легких нами была обнаружена положительная корреляция между экспрессией генов ключевых про-/противовоспалительных цитокинов и ABCB1. Зависимость экспрессии от активности воспаления и корреляция с ведущими цитокинами туберкулезного воспаления, особенно при его высокой активности, указывает на важную роль белка P-gp в патогенезе туберкулеза легких и регуляции активности воспаления. Дальнейшее уточнение функций P-gp при туберкулезном воспалении может быть важным шагом в разработке новых подходов к лечению туберкулеза в рамках HDT и персонализированной медицины.
Дополнительная информация
Источник финансирования. Статья подготовлена в рамках выполнения научно-исследовательской работы «Влияние противотуберкулезных препаратов на белки множественной лекарственной устойчивости клеток человека (МЛУ-СКМ) при туберкулезе легких», рег. № 122041100257-9. Рукопись подготовлена и публикуется за счет финансирования по месту работы авторов.
Конфликт интересов. Авторы данной статьи подтвердили отсутствие конфликта интересов, о котором необходимо сообщить.
Участие авторов. А.Э. Эргешов — осуществление общего руководства работой, прочтение и одобрение рукописи для публикации; М.В. Ерохина — руководство исследованием, дизайн исследования, анализ полученных данных, написание статьи; Е.Н. Павлова — дизайн исследования, проведение молекулярно-генетического исследования биоматериала, статистическая обработка данных, обсуждение полученных результатов, прочтение и одобрение рукописи для публикации; Л.Н. Лепеха — морфологический анализ операционного материала, прочтение и одобрение рукописи для публикации; Р.В. Тарасов — проведение хирургических операций, сбор операционного материала, обсуждение полученных результатов; Е.К. Тарасова — анализ полученных данных, обсуждение результатов, написание статьи. Все авторы внесли значимый вклад в подготовку статьи, прочли и одобрили финальную версию текста перед публикацией.
Выражение признательности. Авторы выражают признательность руководителю ЦКП Института биологии развития им. Н.К. Кольцова РАН д.б.н. Е.Е. Воронежской за возможность использования приборной базы для получения микрофотографий гистологических препаратов.
About the authors
Atadzhan E. Ergeshov
Central Tuberculosis Research Institute; Russian University of Medicine
Email: cniit@ctri.ru
ORCID iD: 0000-0002-2494-9275
SPIN-code: 8372-1666
д.м.н., профессор, член-корреспондент РАН
Russian Federation, Moscow; MoscowMaria V. Erokhina
Central Tuberculosis Research Institute; Lomonosov Moscow State University
Email: masha.erokhina@gmail.com
ORCID iD: 0000-0002-7256-4679
SPIN-code: 8033-0860
PhD in Biology, Associate Professor
Russian Federation, Moscow; MoscowEkaterina N. Pavlova
Lomonosov Moscow State University
Author for correspondence.
Email: guchia@gmail.com
ORCID iD: 0000-0001-5662-3715
SPIN-code: 8311-7260
PhD in Biology
Russian Federation, MoscowLarisa N. Lepekha
Central Tuberculosis Research Institute
Email: lep3@yandex.ru
ORCID iD: 0000-0002-6894-2411
SPIN-code: 6228-8382
PhD in Biology, Professor
Russian Federation, MoscowRuslan V. Tarasov
Central Tuberculosis Research Institute
Email: etavnai@yandex.ru
SPIN-code: 4245-1560
MD, PhD
Russian Federation, MoscowEkaterina K. Tarasova
Central Tuberculosis Research Institute
Email: shalioto6@gmail.com
ORCID iD: 0000-0003-0438-7233
SPIN-code: 5661-8640
Master of Biology
Russian Federation, MoscowReferences
- Global Tuberculosis Report. Available from: https://www.who.int/teams/global-tuberculosis-programme/tb-reports/global-tuberculosis-report-2022 (accessed: 25.06.2023).
- Стерликов С.А., Русакова Л.И., Обухова О.В. Методология оценки расходов на выявление, диагностику и лечение туберкулеза с множественной и широкой лекарственной устойчивостью // Менеджер здравоохранения. — 2019. — № 1. — С. 56–63. [Sterlikov SA, Rusakova LI, Obukhova OV. Methodology for estimating the costs of identifying, diagnosing and treating tuberculosis with multiple and extensive drug resistance. Manager Zdravoochranenia. 2019;1:56–63. (In Russ.)]
- Koehler N, Andres S, Merker M, et al. Pretomanid-resistant tuberculosis. J Infect. 2023;86(5):520–524. doi: https://doi.org/10.1016/j.jinf.2023.01.039
- Ismail NA, Omar SV, Moultrie H, et al. Assessment of epidemiological and genetic characteristics and clinical outcomes of resistance to bedaquiline in patients treated for rifampicin-resistant tuberculosis: a cross-sectional and longitudinal study. Lancet Infect Dis. 2022;22(4):496–506. doi: https://doi.org/10.1016/s1473-3099(21)00470-9
- Cubillos-Angulo JM, Nogueira BMF, Arriaga MB, et al. Host-directed therapies in pulmonary tuberculosis: Updates on anti-inflammatory drugs. Front Med (Lausanne). 2022;9:970408. doi: https://doi.org/10.3389/fmed.2022.970408
- Ahmed S, Raqib R, Guðmundsson GH, et al. Host-Directed Therapy as a Novel Treatment Strategy to Overcome Tuberculosis: Targeting Immune Modulation. Antibiotics (Basel). 2020;9(1):21. doi: https://doi.org/10.3390/antibiotics9010021
- Wallis RS, Ginindza S, Beattie T, et al. Lung and blood early biomarkers for host-directed tuberculosis therapies: Secondary outcome measures from a randomized controlled trial. PLoS One. 2022;17(2):e0252097. doi: https://doi.org/10.1371/journal.pone.0252097
- Wishart DS, Knox C, Guo AC, et al. Drugbank: a comprehensive resource for in silico drug discovery and exploration. Nucleic Acids Res. 2006;34(Database issue):D668–72. doi: https://doi.org/10.1093/nar/gkj067
- van der Deen M, Timens W, Timmer-Bosscha H, et al. Reduced inflammatory response in cigarette smoke exposed Mrp1/Mdr1a/1b deficient mice. Respir Res. 2007;8(1):49. doi: https://doi.org/10.1186/1465-9921-8-49
- Ерохина М.В., Лепеха Л.Н. Участие белков МЛУ клеток лtгкого в снижении эффективности действия противотуберкулtзных препаратов // Вестник ЦНИИТ. — 2020. —№ 1. — С. 5–20. [Erokhina MV, Lepekha LN. The impact of MDR associated proteins of lung cells on reducing effectiveness of TB drugs. Bulletin of the Central Research Institute of Telecommunications. 2020;1:5–20. (In Russ.)] doi: https://doi.org/10.7868/S258766782001001X
- Báez-Saldaña R, López-Arteaga Y, Bizarrón-Muro A, et al. A novel scoring system to measure radiographic abnormalities and related spirometric values in cured pulmonary tuberculosis. PLoS One. 2013;8(11):e78926. doi: https://doi.org/10.1371/journal.pone.0078926
- Bost P, Giladi A, Liu Y, et al. Host-Viral Infection Maps Reveal Signatures of Severe COVID-19 Patients. Cell. 2020;181(7):1475–1488.e12. doi: https://doi.org/10.1016/j.cell.2020.05.006
- Saunders BM, Frank AA, Orme IM, et al. Interleukin-6 induces early gamma interferon production in the infected lung but is not required for generation of specific immunity to Mycobacterium tuberculosis infection. Infect Immun. 2000;68(6):3322–3326. doi: https://doi.org/10.1128/iai.68.6.3322-3326.2000
- Nagabhushanam V, Solache A, Ting LM, et al. Innate inhibition of adaptive immunity: Mycobacterium tuberculosis-induced IL-6 inhibits macrophage responses to IFN-gamma. J Immunol. 2003;171(9):4750–4757. doi: https://doi.org/10.4049/jimmunol.171.9.4750
- Bohrer AC, Tocheny C, Assmann M, et al. Cutting Edge: IL-1R1 Mediates Host Resistance to Mycobacterium tuberculosis by Trans-Protection of Infected Cells. J Immunol. 2018;201(6):1645–1650. doi: https://doi.org/10.4049/jimmunol.1800438
- Lyadova IV, Tsiganov EN, Kapina MA, et al. In Mice, Tuberculosis Progression Is Associated with Intensive Inflammatory Response and the Accumulation of Gr-1dim Cells in the Lungs. PLoS One. 2010;5(5):e10469. doi: https://doi.org/10.1371/journal.pone.0010469
- Cooper AM, Mayer-Barber KD, Sher A. Role of innate cytokines in mycobacterial infection. Mucosal Immunol. 2011;4(3):252–260. doi: https://doi.org/10.1038/mi.2011.13
- Cohen SB, Gern BH, Delahaye JL, et al. Alveolar Macrophages Provide an Early Mycobacterium tuberculosis Niche and Initiate Dissemination. Cell Host Microbe. 2018;24(3):439–446.e4. doi: https://doi.org/10.1016/j.chom.2018.08.001
- He D, Bai F, Zhang S, et al. High incidence of tuberculosis infection in rheumatic diseases and impact for chemoprophylactic prevention of tuberculosis activation during biologics therapy. Clin Vaccine Immunol. 2013;20(6):842–847. doi: https://doi.org/10.1128/cvi.00049-13
- Tsao TCY, Hong Jh, Li LF et al. Imbalances between tumor necrosis factor-α and its soluble receptor forms, and interleukin-1β and interleukin-1 receptor antagonist in bal fluid of cavitary pulmonary tuberculosis. Chest. 2000;117(1):103–109. doi: https://doi.org/10.1378/chest.117.1.103
- Kumar NP, Moideen K, Banurekha VV, et al. Plasma Proinflammatory Cytokines Are Markers of Disease Severity and Bacterial Burden in Pulmonary Tuberculosis. Open Forum Infect Dis. 2019;6(7):ofz257. doi: https://doi.org/10.1093/ofid/ofz257
- Master SS, Rampini SK, Davis AS, et al. Mycobacterium tuberculosis Prevents Inflammasome Activation. Cell Host Microbe. 2008;3(4):224–232. doi: https://doi.org/10.1016/j.chom.2008.03.003
- Winchell CG, Mishra BB, Phuah JY, et al. Evaluation of IL-1 Blockade as an Adjunct to Linezolid Therapy for Tuberculosis in Mice and Macaques. Front Immunol. 2020;11:891. doi: https://doi.org/10.3389/fimmu.2020.00891
- Moore KW, de Waal Malefyt R, Coffman RL, et al. Interleukin-10 and the Interleukin-10 Receptor. Annu Rev Immunol. 2001;19(1):683–765. doi: https://doi.org/10.1146/annurev.immunol.19.1.683
- Saraiva M, O’Garra A. The regulation of IL-10 production by immune cells. Nat Rev Immunol. 2010;10(3):170–181. doi: https://doi.org/10.1038/nri2711
- Almeida AS, Lago PM, Boechat N, et al. Tuberculosis is associated with a down-modulatory lung immune response that impairs Th1-type immunity. J Immunol. 2009;183(1):718–731. doi: https://doi.org/10.4049/jimmunol.0801212
- Verbon A, Juffermans N, Van Deventer SJ, et al. Serum concentrations of cytokines in patients with active tuberculosis (TB) and after treatment. Clin Exp Immunol. 1999;115(1):110–113. doi: https://doi.org/10.1046/j.1365-2249.1999.00783.x
- Bonecini-Almeida MG, Ho JL, Boéchat N, et al. Down-modulation of lung immune responses by interleukin-10 and transforming growth factor beta (TGF-beta) and analysis of TGF-beta receptors I and II in active tuberculosis. Infect Immun. 2004;72(5):2628–2634. doi: https://doi.org/10.1128/IAI.72.5.2628-2634.2004
- Huard RC, Chitale S, Leung M, et al. The mycobacterium tuberculosis complex-restricted gene cfp32 encodes an expressed protein that is detectable in tuberculosis patients and is positively correlated with pulmonary interleukin-10. Infect Immun. 2003;71(12):6871–6883. doi: https://doi.org/10.1128/IAI.71.12.6871-6883.2003
- Azaiz MB, Jemaa AB, Sellami W, et al. Deciphering the balance of IL-6/IL-10 cytokines in severe to critical COVID-19 patients. Immunobiology. 2022;227(4):152236. doi: https://doi.org/10.1016/j.imbio.2022.152236
- Tanaka T, Narazaki M, Kishimoto T. IL-6 in inflammation, immunity, and disease. Cold Spring Harb Perspect Biol. 2014;6(10):a016295. doi: https://doi.org/10.1101/cshperspect.a016295
- Pavlova EN, Lepekha LN, Rybalkina EYu, et al. High and Low Levels of ABCB1 Expression Are Associated with Two Distinct Gene Signatures in Lung Tissue of Pulmonary TB Patients with High Inflammation Activity. Int J Mol Sci. 2023;24(19):14839. doi: https://doi.org/10.3390/ijms241914839
- Niemand C, Nimmesgern A, Haan S, et al. Activation of STAT3 by IL-6 and IL-10 in primary human macrophages is differentially modulated by suppressor of cytokine signaling 3. J Immunol. 2003;170(6):3263–3272. doi: https://doi.org/10.4049/jimmunol.170.6.3263
- Wang H, Lafdil F, Kong X, et al. Signal transducer and activator of transcription 3 in liver diseases: a novel therapeutic target. Int J Biol Sci. 2011;7(5):536–550. doi: https://doi.org/10.7150/ijbs.7.536
- Wu Q, Hossfeld A, Gerberick A, et al. Effect of Mycobacterium tuberculosis Enhancement of Macrophage P-Glycoprotein Expression and Activity on Intracellular Survival During Antituberculosis Drug Treatment. J Infect Dis. 2019;220(12):1989–1998. doi: https://doi.org/10.1093/infdis/jiz405
- Liu J, Zhou F, Chen Q, et al. Chronic inflammation up-regulates P-gp in peripheral mononuclear blood cells via the STAT3/Nf-κb pathway in 2,4,6-trinitrobenzene sulfonic acid-induced colitis mice. Sci Rep. 2015;5:13558. doi: https://doi.org/0.1038/srep13558
- Pavlova EN, Erokhina MV, Rybalkina EYu, et al. The Effect of Rifampicin on the Induction of MDR1/P-gp Activity in Proinflammatory Human Macrophages. Antibiot Khimioter = Antibiotics and Chemotherapy. 2022;67(3–4):16–22. (In Russ.). doi: https://doi.org/10.37489/0235-2990-2022-67-3-4-16-22
- Gupta S, Tyagi S, Bishai WR. Verapamil increases the bactericidal activity of bedaquiline against Mycobacterium tuberculosis in a mouse model. Antimicrob Agents Chemother. 2015;59(1):673–676. doi: https://doi.org/10.1128/AAC.04019-1
- Louw GE, Warren RM, Gey van Pittius NC, et al. Rifampicin reduces susceptibility to ofloxacin in rifampicin-resistant Mycobacterium tuberculosis through efflux. Am J Respir Crit Care Med. 2011;184(2):269–276. doi: https://doi.org/10.1164/rccm.201011-1924OC
- van der Deen M, Timens W, Timmer-Bosscha H, et al. Reduced inflammatory response in cigarette smoke exposed Mrp1/Mdr1a/1b deficient mice. Respir Res. 2007;8(1):49. doi: https://doi.org/10.1186/1465-9921-8-49
- Drach J, Gsur A, Hamilton G, et al. Involvement of P-glycoprotein in the transmembrane transport of interleukin-2 (IL-2), IL-4, and interferon-gamma in normal human T lymphocytes. Blood. 1996;88(5):1747–1754.
- Abualsunun WA, Sahin C, Cummins CL, et al. Essential role of STAT-3 dependent NF-κB activation on IL-6-mediated downregulation of hepatic transporters. Eur J Pharm Sci. 2020;143:105151. doi: https://doi.org/10.1016/j.ejps.2019.105151
- Chen HK, Chen YL, Wang CY, et al. ABCB1 Regulates Immune Genes in Breast Cancer. Breast Cancer (Dove Med Press). 2023;15:801–811. doi: https://doi.org/10.2147/BCTT.S421213
- Kooij G, Backer R, Koning JJ et al. P-Glycoprotein acts as an immunomodulator during neuroinflammation. PLoS One. 2009;4(12):e8212. doi: https://doi.org/10.1371/journal.pone.0008212
- Hu B, Zou T, Qin W, et al. Inhibition of EGFR Overcomes Acquired Lenvatinib Resistance Driven by STAT3–ABCB1 Signaling in Hepatocellular Carcinoma. Cancer Res. 2022;82(20):3845–3857. doi: https://doi.org/10.1158/0008-5472.CAN-21-4140
- Zhao L, Bin S, He HL, et al. Sodium butyrate increases P-gp expression in lung cancer by upregulation of STAT3 and mRNA stabilization of ABCB1. Anticancer Drugs. 2018;29(3):227–233. doi: https://doi.org/10.1097/cad.0000000000000588
- Woodahl EL, Ho RJ. The role of MDR1 genetic polymorphisms in interindividual variability in P-glycoprotein expression and function. Curr Drug Metab. 2004;5(1):11–19. doi: https://doi.org/10.2174/1389200043489108
- Naidoo A, Chirehwa M, Ramsuran V, et al. Effects of genetic variability on rifampicin and isoniazid pharmacokinetics in South African patients with recurrent tuberculosis. Pharmacogenomics. 2019;20(4):225–240. doi: https://doi.org/10.2217/pgs-2018-0166
- Hodges LM, Markova SM, Chinn LW, et al. Very important pharmacogene summary: ABCB1 (MDR1, P-glycoprotein). Pharmacogenetics Genomics. 2011;21(3):152–161. doi: https://doi.org/10.1097/FPC.0b013e3283385a1c
- Boni FG, Hamdi I, Koundi LM, et al. Cytokine storm in tuberculosis and IL-6 involvement. Infect Genet Evol. 2022;97:105166. doi: https://doi.org/10.1016/j.meegid.2021.105166
- Cantini F, Nannini C, Niccoli L, et al. Risk of Tuberculosis Reactivation in Patients with Rheumatoid Arthritis, Ankylosing Spondylitis, and Psoriatic Arthritis Receiving Non-Anti-TNF-Targeted Biologics. Mediators Inflamm. 2017;2017:8909834. doi: https://doi.org/10.1155/2017/8909834
Supplementary files







