A retrospective study of the clinical and laboratory predictors and morphological characteristics of the parathyroid carcinoma
- Authors: Krupinova J.A.1, Voronkova I.A.1,2, Ajnetdinova A.R.1, Abrosimov A.Y.1, Kryukova I.V.2, Lukyanov S.V.3, Veretennikova J.S.1, Tevosyan L.K.2, Melnichenko G.A.1, Mokrysheva N.G.1
-
Affiliations:
- Endocrinology Research Centre
- Moscow Regional Research and Clinical Institute
- Rostov State Medical University
- Issue: Vol 76, No 1 (2021)
- Pages: 111-124
- Section: ENDOCRINOLOGY: CURRENT ISSUES
- Published: 12.04.2021
- URL: https://vestnikramn.spr-journal.ru/jour/article/view/1458
- DOI: https://doi.org/10.15690/vramn1458
- ID: 1458
Cite item
Full Text
Abstract
Background: there are no specific markers of the parathyroid carcinoma (PC) therefore, the development of algorithms for identifying high-risk patients is an urgent task.
Aims: to determine the clinical and laboratory predictors of PC and to identify the factors of a poor prognosis.
Materials and methods: A multicenter retrospective study included 242 patients with primary hyperparathyroidism (PHPT) who were divided into groups: 162 with adenomas, 30 with аtypical adenomas (АА) and 50 patients with PC. Data collection and analysis was carried out from 2017 to 2020. The primary goal— assessment of the possibility of PС using preoperative laboratory and instrumental data. The group of PC was divided into subgroups: the patients in recurrences (n=17) and remission (n=33). The level of the total calcium, albumin, alkaline phosphatase (ALP), ionized calcium (Ca ++) in the blood were determined on the automatic biochemical analyzer; the level of parathyroid hormone (PTH) by electrochemoluminescent analyzer. The size of the PG determined by the ellipse formula: V (cm3) = (A × B × C) × 0.49. Statistical analysis was performed with Statistica 13 and SPSS software packages. For multiple comparisons, the Bonferroni correction was applied.
Results: the group of patients with increased risk of PC include persons with increased level of PTH >443 pg/ml, Ca++ >1.5 mmol/l, total calcium >3.2 mmol/l, ALP >176 IU/L, V of tumors >2.6 cm3, largest size >22.5 mm (p <0,001). Heterogeneous structure is more typical to PC compared to the АА (p = 0,004 and р = 0,011), the same applies to indefinite contour (р = 0,001 и р = 0,011). Pathological mitosis is a prognostically unfavorable factor of recurrence of PC (р=0,007).
Conclusions: the patients with PC and AA are characterized with more aggressive course of PHPT compared to the group of adenomas.
Full Text
Обоснование
Рак околощитовидной железы (ОЩЖ) — редкое злокачественное новообразование с клинически агрессивным течением, распространенность которого около 0,005% среди всех карцином, а заболеваемость составляет 0,015 на 100 тыс. населения [1, 2]. В среднем рак ОЩЖ является причиной первичного гиперпаратиреоза (ПГПТ) менее чем в 1% случаев [3–5], при этом есть данные о более высокой распространенности (до 8%) [6]. По данным проекта RARECARE («Надзор за редким раком в Европе») в 2008 г. в Европейском союзе установлена заболеваемость раком ОЩЖ на уровне 2 новых случаев на 10 млн человеко-лет [7]. Проанализировав показатели редких форм эндокринных карцином с 2000 по 2012 г. по данным реестра SEER (Surveillance, Epidemiology and End Results) в США, В.С. James и соавт. сообщили о заболеваемости раком ОЩЖ 3,6 на 10 млн человеко-лет и ее снижении на 19,5% за период исследования [8]. При этом, согласно 16-летнему наблюдению SEER с включением 234 пациентов с карциномой ОЩЖ, зафиксировано увеличение заболеваемости на 60% (с 3,58 на 10 млн населения в 1988–1991 гг. до 5,73 в 2000–2003 гг., или 0,05 в период с 1988 по 2003 г.) [2]. Тенденция к росту распространенности в мире в целом и в России в частности может быть связана как с повышением интереса к данной проблеме и совершенствованием методов диагностики, так и с истинным изменением ситуации.
Диагностика рака ОЩЖ часто представляет собой сложную задачу. Несмотря на то что для пациентов с карциномой характерно более агрессивное течение ПГПТ с выраженным повышением уровня интактного паратгормона (иПТГ) и кальция в крови по сравнению с доброкачественными новообразованиями, в настоящее время маркеров предоперационной диагностики нет.
Методом выбора лечения остается резекция опухоли со смежными тканями. Основная цель расширенного объема хирургического вмешательства — избежать разрыва капсулы карциномы во время операции, что является неблагоприятным прогностическим фактором последующего рецидива заболевания [3–5, 9]. Минимальный объем операции при подозрении на рак ОЩЖ должен включать, помимо резекции самой железы, удаление прилежащей доли щитовидной железы (ЩЖ) и окружающей клетчатки, а также любой спаянной с опухолью ткани [3, 5, 10]. По результатам последних ретроспективных исследований профилактическая лимфодиссекция не влияет на выживаемость, при этом сопряжена с риском развития операционных осложнений [11]. Прогноз пациентов с раком ОЩЖ считается относительно благоприятным ввиду медленного опухолевого роста. Рецидивы развиваются в среднем в 50% случаях, треть метастазов поражают регионарные лимфатические узлы, в 25% случаях развиваются отдаленные метастазы в легкие (40%), печень (10%), кости, реже плевру, перикард, поджелудочную железу и головной мозг [12]. Пятилетняя выживаемость составляет 76–85%, 10-летняя — от 49 до 77% [13, 14]. В случае уже развившихся метастазов карциномы ОЩЖ 5-летняя выживаемость снижается до 50% [9, 15, 16]. Основная причина смерти связана не с опухолевой нагрузкой, а с осложнениями гиперкальциемии вследствие гормональной гиперпродукции и ПТГ вторичными очагами.
Ввиду сложности дооперационной диагностики злокачественного новообразования ОЩЖ большое значение имеет опыт хирурга, который может заподозрить карциному во время операции и провести необходимый объем первичного хирургического вмешательства. Для рака ОЩЖ характерны плотная консистенция, спаянность с окружающими тканями, также возможно наличие измененных лимфатических узлов [3, 5, 10]. В случае ретроспективной постановки диагноза и достижения ремиссии заболевания после селективной паратиреоидэктомии вопрос о повторной операции должен решаться в индивидуальном порядке.
Классификация опухолей эндокринных органов Всемирной организации здравоохранения (ВОЗ) (4-е издание, 2017 г.) выделяет две категории новообразований ОЩЖ: аденому и рак [17]. Аденома ОЩЖ — доброкачественное новообразование, которое может состоять из главных клеток, онкоцитов или «переходных» онкоцитов, или иметь смешанный клеточный состав. Согласно критериям экспертов ВОЗ, к карциномам ОЩЖ следует относить новообразования с достоверными признаками инвазивного роста в прилежащие структуры (ЩЖ, мягкие ткани, сосуды капсулы и/или окружающих тканей, периневральные пространства) и/ или с наличием документированных метастазов [17]. Атипические аденомы ОЩЖ — опухоли, в которых отсутствуют достоверные признаки инвазивного роста, но есть морфологические изменения, подозрительные в отношении злокачественности. К таким критериям относятся: широкие фиброзные тяжи, митотическую активность, сращение с соседними структурами без прорастания в них, наличие опухолевых комплексов в окружающей аденому капсуле, солидный или трабекулярный тип строения, ядерная атипия, четкие ядрышки. Какое именно количество из перечисленных критериев необходимо для постановки диагноза «атипическая аденома ОЩЖ», экспертами четко не определено, в связи с этим на сегодняшний день эти новообразования остаются самой спорной группой. Классификация опухолей эндокринных органов ВОЗ не выделяет атипическую аденому в отдельную группу новообразований ОЩЖ и относит их к вариантам аденом. Указано, что большинство пациентов с данным диагнозом имеют хороший клинический прогноз, хоть и требуют более прицельного и длительного динамического наблюдения. В настоящее время опубликовано небольшое количество исследований с неоднозначными результатами, посвященных прогнозу данной когорты больных [8, 19].
Мы представляем многоцентровое, одномоментное, ретроспективное сравнительное исследование клинико-морфологических характеристик пациентов с раком, атипической аденомой и аденомой ОЩЖ.
Цель исследования — определить клинико-лабораторные предикторы злокачественных новообразований ОЩЖ, охарактеризовать группы пациентов с и без рецидива карцином и выделить факторы неблагоприятного прогноза заболевания.
Методы
Дизайн исследования
В ходе многоцентрового, одномоментного ретроспективного исследования проведен анализ демографических, клинических, лабораторных, инструментальных и морфологических показателей пациентов с диагнозами «карцинома», «атипическая аденома» и «аденома» ОЩЖ. Дизайн исследования представлен на рис. 1.
На первом этапе проведен анализ данных всего регистра больных с ПГПТ (n = 3062). Регистр — это информационная база, созданная в ФГБУ «НМИЦ эндокринологии» Минздрава России в 2007 г., которая в 2017 г. была перенесена на онлайн-платформу «Астон Консалтинг» с технической поддержкой Aston Health (https://aston-health.com/). Пациенты со вторичным и третичным гиперпаратиреозом в регистр не вносились.
На втором этапе проведено многоцентровое ретроспективное исследование с включением трех центров, равнозначных по уровню квалификации специалистов, лабораторно-инструментального, хирургического и патологоанатомического оснащения. В сравнительный анализ клинико-морфологических характеристик были включены пациенты c диагнозами «рак» и «атипическая аденома», послеоперационный материал которых был пересмотрен и подтвержден двумя независимыми опытными патологами. Контрольная группа пациентов с диагнозом «аденома» была выбрана методом случайных чисел из базы пациентов НМИЦ эндокринологии, оперированных с 2016 по 2020 г. Все пациенты соответствовали критериям включения и исключения.
Рис. 1. Дизайн исследования
Критерии соответствия
Критерии включения:
- проведенное хирургическое лечение ПГПТ;
- установленные гистологические диагнозы «аденома», «атипическая аденома», «карцинома» ОЩЖ согласно критериям ВОЗ 2017 г. (диагнозы «атипическая аденома», «карцинома» были подтверждены двумя опытными независимыми морфологами);
- наличие добровольного письменного согласия на участие в исследовании.
Критерии исключения:
- пациенты с гистологическим диагнозом «гиперплазия» ОЩЖ;
- пациенты с неудовлетворительно заполненной медицинской документацией;
- отсутствие возможности пересмотра послеоперационного материала;
- пациенты, в отношении которых не удалось прийти к единому мнению о патологическом диагнозе ОЩЖ после пересмотра морфологического материала двумя независимыми патологами;
- отказ пациента от участия в исследовании (отказ от обработки персональных данных).
Условия проведения
Пациенты, включенные в исследование, находились на стационарном или амбулаторном лечении в ФГБУ «НМИЦ эндокринологии» Минздрава России, ГБУЗ МО МОНИКИ им. М.Ф. Владимирского и ФГБОУ ВО РостГМУ Минздрава России.
Продолжительность исследования
Сбор и анализ данных проводился с 2017 по 2020 г. В анализ были взяты электронные и бумажные истории болезни в период с 2014 по 2020 г.
Исходы исследования
Основной исход исследования. Оценка предикторов рака ОЩЖ на дооперационном этапе и прогноза пациентов на основании морфологических характеристик.
Анализируемые показатели основного исхода исследования:
- частота карцином, атипических аденом и аденом среди больных с ПГПТ;
- пол и возраст на момент постановки диагноза;
- лабораторные показатели до хирургического лечения ПГПТ: ионизированный кальций (Са++), альбумин-скорректированный кальций (скорректированный кальций), иПТГ, фосфор, щелочная фосфатаза, креатинин с расчетом скорости клубочковой фильтрации (СКФ) по EPI;
- частота развития осложнений ПГПТ на момент постановки диагноза: мочекаменная болезнь (МКБ), хроническая болезнь почек (ХБП), остеопороз, низкоэнергетические переломы, гиперкальциемический криз в анамнезе, сочетание новообразования ОЩЖ с папиллярным раком ЩЖ;
- инструментальные параметры образования ОЩЖ до хирургического лечения ПГПТ: размер (наибольший размер, мм), объем (V (см3) = (A × B × C) × 0,49), локализация по данным УЗИ и УЗИ-характеристики (эхогенность, структура, контур, кальцинаты);
- объем первичного хирургического лечения ПГПТ;
- частота достижения ремиссии ПГПТ после первичного хирургического лечения и частота развития рецидива заболевания;
- время до первого рецидива (месяцы), локализация метастазов рака ОЩЖ;
- морфологические характеристики новообразований: размер опухоли (мм), преимущественный клеточный тип, митотическая активность, патологические митозы, ядерная атипия, широкие фиброзные тяжи, кисты, некрозы, края резекции, наличие сосудистой и капсулярной инвазии, инвазии в окружающие мягкие ткани, в ЩЖ и другие органы, в крупные кровеносные сосуды, лимфатический статус;
Дополнительные исходы исследования. Дополнительно анализировалась группа больных с рецидивом рака ОЩЖ. Проведена сравнительная оценка демографических, лабораторных, клинических и морфологических характеристик пациентов с рецидивом и без.
Анализ в подгруппах
В соответствии с критериями включения и исключения для сравнительного анализа демографических, клинических, лабораторно-инструментальных и морфологических параметров были сформированы следующие группы:
- группа 1 — пациенты с диагнозом «карцинома ОЩЖ» (n = 50);
- группа 2 — пациенты с диагнозом «атипическая аденома» (n = 30);
- группа 3 — пациенты с диагнозом «аденома» (n = 162).
Для оценки факторов неблагоприятного прогноза группа пациентов с карциномой ОЩЖ была разделена на две подгруппы: больные с рецидивом (n = 17) и без рецидива (n = 33).
Методы регистрации исходов
Биохимические параметры крови натощак (общий кальций в сыворотке крови (референсный интервал (РИ) 2,15–2,55 ммоль/л), альбумин (РИ 34–48 г/л), щелочная фосфатаза (РИ 40–150 ед/л), Са++ (РИ 1,03–1,29 ммоль/л), креатинин (РИ 63–110 мкммоль/л)) определяли на автоматическом биохимическом анализаторе ARCHITECH с8000 (Abbott, CША, 2007 г.). Гормональный анализ крови с определением иПТГ (РИ 15–65 пг/ мл) выполнен на электрохемилюминесцентном анализаторе Cobas 6000 (Roche, Германия, 2014 г.). Расчет показателя СКФ проводился с учетом возраста и показателя креатинина сыворотки по формуле CKD-EPI. Объем ОЩЖ рассчитывался по формуле эллипса: V (см3) = (A × B × C) × 0,49. Количественная оценка состояния костной ткани проводилась в поясничных позвонках (L1–L4), проксимальном отделе бедра (шейке бедра (Neck), всем бедре (Total)) и лучевой кости (ультрадистальном отделе (RUD), средней трети (R33%), всей лучевой кости (RT)) с использованием двухэнергетической рентгеновской абсорбциометрии (DEXA). Минеральная плотность костной ткани (МПК) оценивалась по T-score (у женщин в постменопаузе и мужчин старше 50 лет) или Z-score (у женщин в пременопаузе и молодых мужчин). Дополнительные инструментальные методы обследования проводились в зависимости от конкретной клинической ситуации. Гистопатологические типы «аденома», «атипическая аденома», «карцинома» ОЩЖ были установлены согласно критериям ВОЗ 2017 г. [13]. Злокачественные опухоли классифицированы в соответствии с системой TNM и Grade (Low grade (LG)/High grade (HG)) от 2017 г. (классификации Американского объединенного комитета по изучению рака (American Joint Committee on Cancer), 8-е издание) [19].
Этическая экспертиза
Протокол исследования одобрен локальным этическим комитетом НМИЦ эндокринологии, выписка из протокола № 1 от 25.01.2017.
Статистический анализ
Принципы расчета размера выборки. Размер выборки предварительно не рассчитывался.
Методы статистического анализа данных. Статистический анализ проводили с использованием пакетов программ STATISTICA 13 (StatSoft, США, 2017 г.) и SPSS 26 (IBM, США, 2019 г.). Количественные данные представлены в виде медианы (Me), а также 1-го и 3-го квартилей [Q1; Q3], качественные — в виде абсолютных и относительных частот. Различия между двумя независимыми группами по количественным признакам оценивали с использованием критерия Манна–Уитни (U-тест). Сравнение трех независимых групп для количественных данных выполнялось с помощью критерия Краскела–Уоллиса. Для выявления критических значений отдельных параметров, показавших статистически значимые различия при сравнении групп пациентов с карциномами и аденомами, использовали ROC-анализ. Анализировали следующие параметры: AUC (площадь под ROC-кривой), диагностическая чувствительность (ДЧ), диагностическая специфичность (ДС), прогностическая ценность положительного результата (ПЦПР) и прогностическая ценность отрицательного результата (ПЦОР). Отрезная точка выбиралась с помощью критерия Юдена (сумма ДЧ и ДС должна была быть максимальной для данной точки). Частоты признаков сравнивались между собой с помощью критерия «хи-квадрат» (χ2). При необходимости применялась поправка Йетса. Критический уровень значимости при проверке статистических гипотез принимался равным 0,05. Для множественных сравнений применялась поправка Бонферрони.
Результаты
Объекты (участники) исследования
Для ретроспективного анализа проводился сбор данных как электронных историй болезни базы НМИЦ эндокринологии в системах MEDIALOG для 2014–2015 гг. и qMS для 2016–2020 гг., так и бумажных версий. Были проанализированы электронные и бумажные медицинские карты 242 пациентов с ПГПТ, из них 213 женщин и 29 мужчин в возрасте от 13 до 80 лет. Пациенты были разделены на группы по результатам морфологического заключения: 50 пациентов с карциномой (группа 1), 30 — с атипической аденомой (группа 2), 162 — с аденомой ОЩЖ (группа 3). Возраст в группе карцином — от 13 до 78 лет, в группе атипических аденом — от 18 до 75 лет, в группе аденом — от 15 до 80 лет.
Основные результаты исследования
- Сравнительная характеристика групп пациентов с карциномами, атипическими аденомами и аденомами ОЩЖ. Результаты сравнительной характеристики пациентов в группах представлена в табл. 1.
С учетом поправки Бонферрони p0 = 0,0063 для количественных параметров и p0 = 0,0045 для качественных выявлены статистически значимые различия по уровню Са++, иПТГ, скорректированного кальция, щелочной фосфатазы, наибольшему размеру и объему образования по УЗИ, частоте снижения СКФ менее 60 мл/мин/1,73 м2 и низкоэнергетических переломов в анамнезе. Эти показатели были проанализированы при попарном сравнении групп. Выявлены статистически значимые различия по всем изучаемым параметрам между группами карцином и аденом ОЩЖ (p < 0,001; U-тест; χ2; p0 = 0,017). Также выявлены различия по всем анализируемым параметрам, за исключением частоты низкоэнергетических переломов между группами атипических аденом и аденом ОЩЖ (р < 0,001; U-тест; χ2). Различий между группами карцином и атипическими аденомами не установлено (online приложение, табл. 1).
Таблица 1. Сравнение демографических, клинических, лабораторных и инструментальных параметров пациентов с карциномой, атипической аденомой и аденомой ОЩЖ
Показатель | Значение, Me (Q1; Q3) | р | ||
Карцинома (n = 50) | Атипическая аденома (n = 30) | Аденома (n = 162) | ||
Возраст на момент постановки диагноза, лет | 50,5 (38; 60) | 55,5 (46; 63) | 57 (50; 64) | 0,049* |
Пол | М — 11/50 (22%). Ж — 39/50 (78%) | М — 5/30 (17%). Ж — 25/30 (83%) | М — 13/162 (8%). Ж — 149/162 (92%) | 0,020** |
Соотношение М/Ж | 1:3,5 | 1:5 | 1:11,5 | |
Са++, ммоль/л | 1,59 (1,5; 1,76) | 1,7 (1,46; 1,87) | 1,31 (1,26; 1,42) | <0,001* |
иПТГ, пг/мл | 1083 (462; 1764) | 755 (341,7; 1450) | 169,7 (117,2; 290,9) | <0,001* |
Скорректированный кальций, ммоль/л | 3,36 (2,98; 3,74) | 3,26 (3; 3,5) | 2,75 (2,63; 2,94) | <0,001* |
Фосфор, ммоль/л | 0,75 (0,68; 0,94) | 0,77 (0,7; 0,87) | 0,83 (0,74; 0,92) | 0,081* |
Щелочная фосфатаза, ед/л | 245,4 (118,5; 649) | 364 (220; 428) | 97 (80; 129) | <0,001* |
СКФ менее 90, мл/мин/1,73 м2 | 32/47 (68%) | 19/28 (68%) | 86/149 (58%) | 0,329** |
СКФ менее 60, мл/мин/1,73 м2 | 17/47 (36%) | 11/28 (39%) | 17/149 (11%) | <0,001** |
Наибольший размер образования ОЩЖ, мм | 32,5 (25; 37) | 28,5 (21,5; 39,5) | 17 (13; 25) | <0,001* |
Объем образования ОЩЖ, см3 | 6,57 (2,95; 11,68) | 3,93 (1,83; 11,1) | 0,7 (0,32; 1,74) | <0,001* |
МКБ | 30/50 (60%) | 19/29 (66%) | 87/162 (54%) | 0,423** |
Низкоэнергетические переломы | 16/50 (32%) | 6/28 (21%) | 89/145 (8%) | <0,001** |
Снижение МПК до уровня остеопороза | 33/50 (66%) | 20/30 (67%) | 89/162 (55%) | 0,243** |
Переломы, снижение МПК до уровня остеопороза | 33/50 (66%) | 21/30 (70%) | 90/162 (56%) | 0,193** |
Костно-висцеральные поражения | 44/50 (88%) | 28/30 (93%) | 139/162 (86%) | 0,516** |
Сочетание с папиллярным раком ЩЖ | 3/50 (6%) | 4/30 (13%) | 3/162 (2%) | 0,012** |
Гиперкальциемический криз в анамнезе | 3/47 (6%) | 1/26 (4%) | — | 0,936*** |
Примечание. * — критерий Краскела–Уоллиса; ** — χ2; *** — χ2 с поправкой Йетса. Полужирным выделены значения р признаков, имеющих статистически значимые различия с учетом поправки Бонферрони.
При анализе локализаций объемных образований ОЩЖ статистически значимые различия частот поражения при карциноме, атипической аденоме и аденоме (р > 0,05; χ2) не получены (online приложение, табл. 2).
Таблица 2. УЗИ-характеристика карцином, атипических аденом и аденом ОЩЖ
УЗИ-признак | Карцинома | Атипические аденомы | Аденома | р, χ2 | |
Эхогенность | Гипоэхогенное | 29/30 (96%) | 21/22 (95%) | 145/145 (100%) | 0,056 |
Изоэхогенное | 1/30 (4%) | 1/22 (5%) | — | ||
Структура | Однородная | 38/50 (76%) | 22/30 (73%) | 148/162 (91%) | 0,004 |
Неоднородная | 12/50 (24%) | 8/30 (27%) | 14/162 (9%) | ||
Контур | Ровный | 15/23 (65%) | 15/15 (100%) | 50/52 (96%) | <0,001 |
Неровный | 8/23 (35%) | — | 2/52 (4%) | ||
Кальцинаты | Есть | 4/19 (21%) | 1/11 (9%) | — | 0,100 |
Нет | 15/19 (79%) | 10/11 (91%) | 19/19 (100%) | ||
Примечание. Полужирным выделены р признаков, имеющих статистические значимые различия с учетом поправки Бонферрони.
Результаты анализа УЗИ характеристик образований ОЩЖ в группах представлены в табл. 2. С учетом поправки Бонферрони p0 = 0,013 статистически значимые различия выявлены в частотах изменения контура и структуры образований. При попарном сравнении с учетом поправки Бонферрони p0 = 0,017 статистически значимые различия выявлены в частотах изменения структуры и контура образований ОЩЖ между группами карцином и аденом (p = 0,004; χ2; р = 0,001; χ2 с поправкой Йетса), а также в частотах изменения структуры образований ОЩЖ между группами атипических аденом и аденом (р = 0,011; χ2 с поправкой Йетса) (online приложение, табл. 3).
Таблица 3. Морфологические характеристики новообразований ОЩЖ
Характеристика | Карциномы (n = 50) | Атипические аденомы (n = 30) | Аденомы (n = 162) | р | |
Преимущественный клеточный тип | Главные | 40/45 (89%) | 27/30 (90%) | 130/151 (86%) | 0,736** |
Онкоцитарные (оксифильные) | 3/45 (7%) | 3/30 (10%) | 10/151 (7%) | ||
Транзиторные | 0 (0%) | 0 (0%) | 3/151 (2%) | ||
Водянисто-светлые | 2/45 (4%) | 0 (0%) | 8/151 (5%) | ||
Вакуолизированные | 0 (0%) | 0 (0%) | 0 (0%) | ||
Митотическая активность | Количество митозов на 50 РПЗ | 2 (0; 6) | 2 (0; 3,5) | — | 0,708* |
Качественная | Повышена (более 5 митозов на 50 РПЗ), 14/41 (34%) | Повышена (более 5 митозов на 50 РПЗ), 3/23 (13%) | — | 0,067** | |
Патологические митозы | 7/50 (14%) | 4/30 (13%) | — | 0,801*** | |
Ядерная атипия | 19/44 (43%) | 8/25 (32%) | 1/161 (0,6%) | <0,001** | |
Широкие фиброзные тяжи | 36/44 (82%) | 22/29 (78%) | 0,538** | ||
Кисты | 4/44 (9%) | 1/27 (4%) | 13/162 (8%) | 0,688** | |
Некрозы | 10/43 (23%) | 4/28 (14%) | 0 | 0,353** | |
Края резекции | R1 | 0 | 0 | — | 0,175** |
R0 | 31/50 (62%) | 23/30 (77%) | — | ||
Rx | 19/50 (38%) | 7/30 (23%) | — | ||
Примечание. * — U-тест; ** — χ2; *** — χ2 с поправкой Йетса; «тире» — нет данных. Полужирным выделены р признаков, имеющих статистические значимые различия с учетом поправки Бонферрони.
Селективная паратиреоидэктомия проведена в 26/50 (52%) случаях карцином, расширенный объем хирургического лечения en bloc — 24/50 (48%). В группе атипических аденом селективная паратиреоидэктомия проведена 24/30 (80%) пациентам, резекция в объеме en bloc — 6/30 (20%). Селективная паратиреоидэктомия среди аденом — 160/162 (99%), en bloc — 2/162 (1%), лимфодесекция в группе карцином —8/50 (16%).
- Одномерные модели с использованием отрезных точек лабораторных и инструментальных показателей для предоперационной дифференциальной диагностики карцином и аденом ОЩЖ. В качестве предоперационных предикторов дифференциальной диагностики образований ОЩЖ были выбраны параметры, при одномерном анализе которых выявлены статистически значимые различия между группами карцином и аденом ОЩЖ: иПТГ, Са++, скорректированный кальций, щелочная фосфатаза, наибольший размер и объем образования по данным УЗИ.
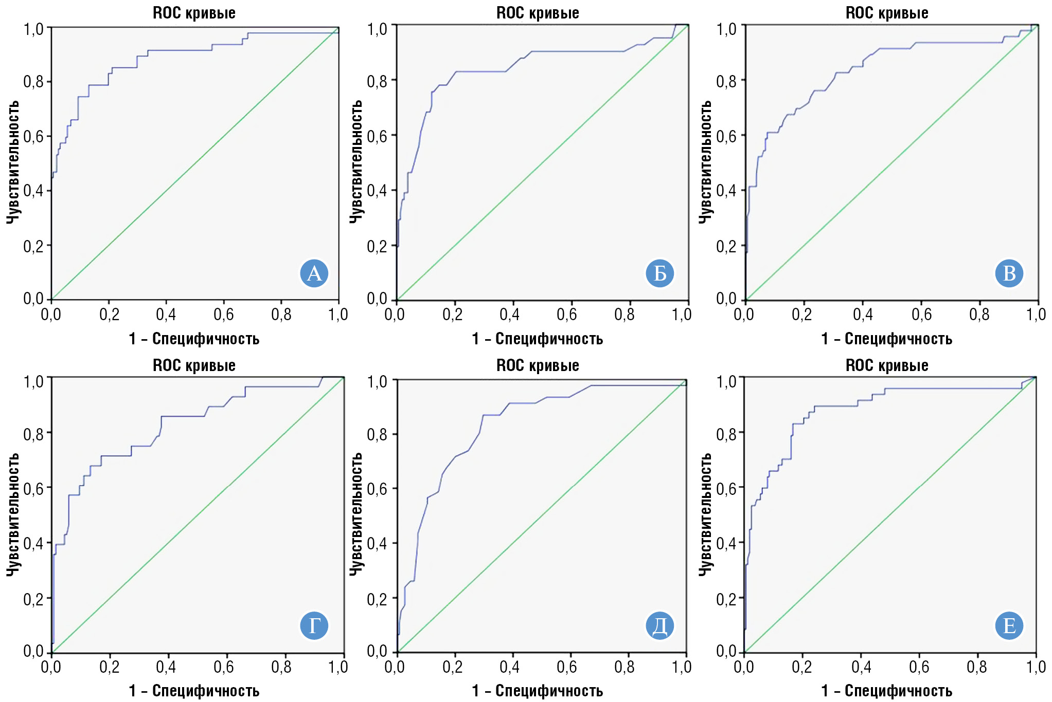
По данным ROC-анализа с помощью критерия Юдена получены отрезные точки:
- иПТГ — 443,55 пг/мл (ДЧ = 77% (95%-й ДИ 65–86%); ДС = 87% (95%-й ДИ 84–90%); ПЦПР = 64% (95%-й ДИ 54–72%); ПЦОР = 93% (95-й ДИ 89–96%));
- Са++ — 1,495 ммоль/л (ДЧ = 76% (95%-й ДИ 62–86%); ДС = 88% (95%-й ДИ 85–91%); ПЦПР = 62% (95%-й ДИ 51–71%); ПЦОР = 93% (95%-й ДИ 90–96%));
- скорректированный кальций — 3,235 ммоль/л (ДЧ = 61% (95%-й ДИ 49–71%); ДС = 93% (95%-й ДИ 89–95%); ПЦПР = 70% (95%-й ДИ 56–81%); ПЦОР = 89% (95%-й ДИ 86–92%));
- щелочная фосфатаза — 176 ед/л (ДЧ = 68% (95%-й ДИ 50–82%); ДС = 87% (95%-й ДИ 83–90%); ПЦПР = 51% (95%-й ДИ 38–62%); ПЦОР = 93% (95%-й ДИ 89–96%));
- наибольший размер образования по УЗИ — 22,5 мм (ДЧ = 85% (95%-й ДИ 71–93%); ДС = 70% (95%-й ДИ 67–73%); ПЦПР = 42% (95%-й ДИ 35–46%); ПЦОР = 95% (95%-й ДИ 90–98%));
- объем образования по УЗИ — 2,594 см3 (ДЧ = 83% (95%-й ДИ 71–91%); ДС = 83% (95%-й ДИ 80–86%); ПЦПР = 59% (95%-й ДИ 50–65%); ПЦОР = 98% (95%-й ДИ 94–99%)).
ROC-кривые иПТГ, Са++, скорректированного кальция, щелочной фосфатазы, размера и объема образования по УЗИ представлены на рис. 2.
- Оценка морфологических характеристик опухолей. Морфологические характеристики различных новообразований ОЩЖ представлены в табл. 3 (рис. 3–5).
С учетом поправки Бонферрони p0 = 0,0056 были выявлены различия по частоте ядерной атипии. При попарном сравнении частота ядерной атипии выше в группе карцином (p < 0,001; χ2) и атипических аденом (p < 0,001; χ2), чем в группе аденом ОЩЖ.
- Сравнительная характеристика групп пациентов с карциномами с рецидивом и без рецидива. Результаты сравнительного анализа групп пациентов с карциномой с рецидивом и без представлены в табл. 4. Установлена тенденция к статистически значимым различиям по предоперационному уровню иПТГ (р = 0,023) и по частоте патологических митозов (р = 0,007) между подгруппами карцином ОЩЖ с рецидивом и без. С учетом поправки Бонферрони р0 = 0,0083 для количественных параметров и p0 = 0,0028 для качественных статистически значимые различия между группами не выявлены.
Рис. 2. ROC-анализ лабораторных и инструментальных предикторов дифференциальной диагностики образований ОЩЖ: А — ROC- анализ иПТГ, AUC = 0,884 (95%-й ДИ 0,821–0,948); Б — ROC-анализ Са++, AUC = 0,840 (95%-й ДИ 0,756–0,924); В — ROC-анализ скорректированного кальция, AUC = 0,835 (95%-й ДИ 0,759–0,910); Г — ROC-анализ щелочной фосфатазы, AUC = 0,835 (95%-й ДИ 0,759–0,910); Д — ROC-анализ наибольшего размера образования по УЗИ, AUC = 0,832 (95%-й ДИ 0,766–0,899); Е — ROC-анализ объема образования по УЗИ, AUC = 0,877 (95%-й ДИ 0,812–0,941)
Дополнительные результаты исследования
Ремиссия ПГПТ после первичного хирургического лечения среди карцином ОЩЖ достигнута в 44/50 (88%), в группе атипических аденом — 29/30 (97%), в группе аденом ОЩЖ — 162/162 (100%). Рецидивы среди карцином развились в 17/50 (34%), в группе атипических аденом — 1/30 (3%). Медиана времени до рецидива в группе карцином составила 27 (10; 40,5) мес. Время до рецидива в группе атипических аденом — 99 мес.
Первый метастаз рака ОЩЖ чаще поражал регионарные лимфатические узлы — 12/16 (75%), реже кости — 2/16 (12,5%) и легкие — 1/16 (6,3%).
Локализация метастазов рака ОЩЖ за все время наблюдения была следующая: регионарные лимфатические узлы — 13/28 (46%); кости — 4/28 (14%); легкие — 6 (21%); печень — 2 (7%); головной мозг — 1 (4%); средостение — 1 (4%); другие органы и ткани — 1 (4%).
Рис. 3. Рак ОЩЖ: А — широкие фиброзные тяжи; Б — инвазия капсулы опухоли; В — повышенная митотическая активность карциномы ОЩЖ (3 митоза в 1 РПЗ); Г — прорастание рака ОЩЖ (1) в ткань щитовидной железы (2)
Нежелательные явления
Нежелательные явления отсутствовали.
Обсуждение
Резюме основного результата исследования
Результаты нашего исследования позволяют на предоперационном этапе определить группу лиц с повышенным риском наличия рака ОЩЖ. К этой группе следует относить пациентов с и ПТГ> 443,55 пг/мл, Са+> 1,5 ммоль/л; скорректированным кальцием> 3,2 ммоль/л, щелочной фосфатазой > 176 ед/л, размером образования > 22,5 мм и объемом образования > 2,6 см3 по данным УЗИ.
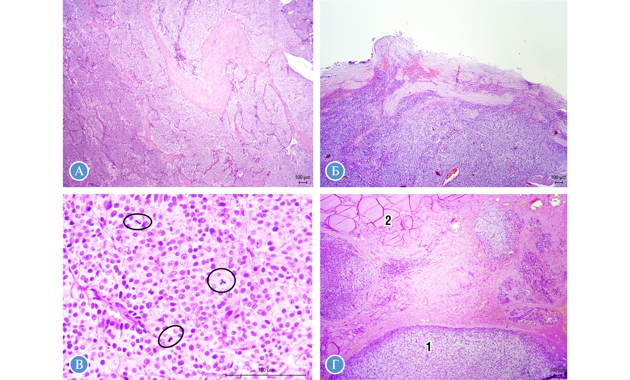
Рисунок 4. Инвазия сосудов капсулы и окружающих мягких тканей.
Предоперационная дифференциальная диагностика злокачественных и доброкачественных новообразований ОЩЖ
Данная работа представляет собой первое крупное исследование в России, посвященное анализу пациентов с карциномами и атипическими аденомами ОЩЖ. Все случаи были повторно пересмотрены опытными морфологами, специализирующимися на патологии эндокринных органов. Все полученные результаты дополнительно прошли статистическую поправку на множественные сравнения. Таким образом, мы повысили уровень и качество исследования по сравнению с нашей предыдущей работой [20]. Основная цель исследования — определить предоперационные параметры повышенного риска наличия у пациента карциномы ОЩЖ, и выделить критерии риска развития рецидива.
По нашим данным, медиана возраста на момент постановки диагноза в группе карцином меньше, чем в группе аденом (50,5 (38; 60) vs 57 (50; 64) лет), что согласуется с другими исследованиями [21]. По результатам отдельных работ рак ОЩЖ чаще встречается у мужчин, в то время как у женщин ПГПТ значительно чаще обусловлен доброкачественными новообразованиями ОЩЖ [3, 4, 5, 22]. В нашем исследовании соотношение мужчин и женщин в группе карцином значительно меньше по сравнению с группой аденом (1:3,5 vs 1:11,5). Таким образом, у женщин аденома развивалась в 3 раза чаще, чем рак ОЩЖ (p = 0,006; χ2). Причина такой разницы в распределении по полу не ясна.
По результатам дооперационного лабораторно-инструментального обследования уровни скорректированного кальция, Са++, иПТГ, щелочной фосфатазы, наибольший размер и объем новообразования ОЩЖ статистически значимо различались между карциномами и аденомами, а также между атипическими аденомами и аденомами (p < 0,001). Полученные результаты сопоставимы с другими исследованиями [21]. Различия между группами карцином и атипических аденом по этим показателям не установлены.
Согласно зарубежным исследованиям, пациентов с верифицированным диагнозом ПГПТ рекомендуют отнести в группу повышенного риска злокачественного поражения ОЩЖ при наличии следующих признаков: при комбинации гиперкальциемии более 3 ммоль/л и размера образования ОЩЖ более 3 см (правило трех — «The > 3 + > 3 rule») [23]; повышении уровня Ca++ в крови более 1,7 ммоль/л [22]; наличии симптомов «масс-эффекта» в отсутствие других объемных образований и операций в области шеи в анамнезе [24, 25]. «Масс-эффект» может проявляться ощущением инородного тела в области шеи, осиплостью голоса и дисфагией, что обычно не беспокоит пациентов с доброкачественным новообразованием ОЩЖ. Чувство кома в горле встречается примерно у 40% пациентов с карциномой ОЩЖ, что может быть ошибочно расценено как объемное образование щитовидной железы или тимуса.
В нашей предыдущей работе с включением 19 пациентов с карциномой ОЩЖ определены следующие критерии повышенного риска злокачественного поражения: Са++ > 1,60 ммоль/л; иПТГ > 600 пг/мл; объем образования > 6 см3 по данным УЗИ [20]. В настоящем исследовании с расширенной когортой больных по данным ROC-анализа определены другие отрезные точки со средней диагностической точностью: иПТГ — 443,55 пг/ мл; Са++ — 1,495 ммоль/л; скорректированный кальций — 3,235 ммоль/л; щелочная фосфатаза — 176 ед/л; наибольший размер образования — 22,5 мм и объем по УЗИ — 2,594 см3, при превышении значении которых увеличивался риск наличия рака ОЩЖ. Схожие данные для дифференциальной диагностики получены в исследовании R. Liu и соавт.: иПТГ — 509 пг/ мл (AUC = 0,836; 95%-й ДИ 0,740–0,931); щелочная фосфатаза — 152 ед/л (AUC = 0,907; 95%-й ДИ 0,846–0,967) и наибольший размер новообразования — 2,05 см (AUC = 0,690, 95%-й ДИ 0,579–0,800) [26]. Между ними статистически значимых различий нет (ДИ пересекаются).
Считается, что для рака ОЩЖ характерно более тяжелое течение с яркой клинической картиной и наличием осложнений со стороны почек (нефролитиаз, нарушение функции почек) и костей (снижение МПК, фиброзно-кистозный остеит) [21]. Согласно нашим данным, снижение СКФ менее 60 мл/мин/1,73 м2 наблюдалось чаще у пациентов с раком ОЩЖ и атипическими аденомами, чем у больных с аденомами (p < 0,001). Частота низкоэнергетических переломов была выше в группе карцином по сравнению с группой аденом (p < 0,001). Различия в частоте развития гиперкальциемического криза, снижения МПК до уровня остеопороза, МКБ в группах не установлены (p > 0,05). При этом не стоит забывать о бессимптомных случаях карцином (около 5% от всех случаев рака ОЩЖ), при которых клиническая картина может быть ограничена лишь механическим воздействием на окружающие ткани, вызывая тем самым «масс-эффект» [27].
УЗИ играет важную роль в предоперационной топической диагностике измененных ОЩЖ, однако специфические УЗ-критерии злокачественного поражения ОЩЖ пока не определены [28]. M. Nam и соавт. к подозрительным параметрам в отношении рака ОЩЖ отнесли неоднородную структуру (р = 0,0002), неправильную форму (р < 0,0001), размер более 3 см (р = 0,0133), наличие кальцинатов (р = 0,014), неровные края (р < 0,001), инвазивный рост (p = 0,0004) [29]. В одном из исследований соотношение между глубиной и шириной образования (depth and width, D/W) более единицы коррелировало с вероятностью злокачественного новообразования [30]. Согласно результатам нашего исследования, неровный контур и неоднородная структура более характерны для карциномы ОЩЖ, чем для аденомы (р = 0,004 и р < 0,001 соответственно).
Ведутся разработки по созданию предиктивных моделей, включающих комплекс параметров, в результате анализа которых будет получен предполагаемый диагноз с высокой точностью. Так, R. Liu и соавт. были разработаны две логистические регрессионные модели прогноза рака ОЩЖ [26]. Первая модель включает уровень иПТГ, отношение диаметров новообразования и признаки прорастания опухоли в окружающие ткани по УЗИ (AUC = 0,96), вторая — неровный контур, отношение диаметров образования и признаки инвазивного роста по УЗИ (AUC = 0,94). Однако в работе не представлены операционные характеристики, что не позволяет оценить точность полученных результатов.
Несмотря на представленные данные, на сегодняшний день отсутствуют высокоспецифичные критерии предоперационной дифференциальной диагностики злокачественных и доброкачественных новообразований ОЩЖ, и в большинстве случаев все бремя ответственности по-прежнему ложится на хирурга, который интраоперационно определяет риск рака ОЩЖ и соответственно объем хирургического вмешательства. При этом зачастую опыт хирурга в отношении рака ОЩЖ может ограничиваться несколькими случаями за всю практику, в связи с чем пациентов с подозрением на рак ОЩЖ необходимо направлять в узкопрофильные учреждения к специалистам экспертного уровня.
Результаты морфологического исследование
Распределение по клеточному составу новообразований в нашем исследовании соответствует международным данным, указывающим на преобладание карцином из главных клеток, редкие смешанные и оксифильно-клеточные варианты с единичными случаями светло-клеточных карцином [22, 25]. Подобное ранжирование характерно и для аденом ОЩЖ [31]. Различий в клеточном составе между группами не установлено (р = 0,736), что также объясняет невозможность дифференциальной диагностики доброкачественных и злокачественных опухолей с помощью цитологического исследования тонкоигольной аспирационной биопсии.
Широкие фиброзные тяжи — один из подозрительных в отношении карциномы признаков, однако важно помнить, что они также могут встречаться у пациентов с МЭН1 и МЭН4, при вторичном гиперпаратиреозе, в крупных и «старых» аденомах с дегенеративными изменениями [3, 18, 19]. В нашей работе этот морфологический критерий был выявлен в 82% карцином, что согласуется с данными литературы [22, 25] (см. рис. 3). Они также присутствовали и в атипических аденомах (78%) без значимой разницы с группой карцином (р = 0,538).
Доля карцином, демонстрирующих ядерную атипию в нашем исследовании, составила 43%, что соответствует литературным источникам [20, 25]. Следует отметить, что очаговая ядерная атипия, может встречаться в аденомах в рамках так называемой эндокринной атипии. По нашим данным частота ядерной атипии статистически значимо больше в карциномах и атипических аденомах по сравнению с группой доброкачественных аденом (р < 0,001 с учетом поправки Бонферони).
Митотическая активность в раках ОЩЖ варьирует в широком диапазоне [25]. В нашем исследовании статистически значимой разницы как по количественным, так и по качественным характеристикам митотической активности между группами не получено (p = 0,068 и р = 0,082 соответственно) (см. рис. 3). Важно учитывать, что методика подсчета митозов имеет свои ограничения, включая, но не ограничиваясь опытом патолога и качеством гистологических препаратов. Также следует иметь в виду, что редкие фигуры митозов могут встречаться и при третичном гиперпаратиреозе, синдромах МЭН и в некоторых аденомах ОЩЖ [16, 33-35]. Несмотря на то что атипические (патологические) митозы и участки некроза часто могут указывать на злокачественное новообразование [32, 34], в атипических аденомах эти признаки также могут встречаться [36, 37, 38]. По нашим данным статистически значимые различия между группами по этим признакам не выявлены (р = 0,801 и р = 0,353).
Таким образом, из всех анализируемых морфологических характеристик только частота ядерной атипии значимо различалась в группах (см. табл. 3).
Обсуждение прогноза постоперационного течения болезни
Рецидив рака ОЩЖ возник в 34% случаев, что соответствует зарубежным исследованиям, согласно которым он развивается в от 23 до 51% случаев [21]. Медиана времени до рецидива в группе карцином составила 27 (10; 40,5) мес. В соответствии с зарубежными данными медиана колеблется в диапазоне от 2 до 8,4 года. Однако описаны и более поздние рецидивы (спустя 23 года после первичного хирургического лечения) [1, 22, 39, 40]. По нашим результатам наиболее часто метастазы поражают регионарные лимфатические узлы (46%) и легкие (21%), реже — кости (14%) и печень (7%), единичный случай — поражение головного мозга (4%). Наши данные совпадают с результатами зарубежных коллег [21].
На сегодняшний день нет единого мнения о прогностических факторах, влияющих на исход болезни пациентов с раком ОЩЖ. В нашем исследовании пол, возраст, уровень кальция и размер образования не коррелировали с развитием рецидива рака ОЩЖ (p > 0,05), в отличие от других исследований [3, 12, 41]. Обнаружена тенденция к различиям по предоперационному уровню иПТГ (p = 0,023), однако с учетом поправки на множественные сравнения различия перестали быть значимыми.
48% пациентам с карциномой ОЩЖ проведено радикальное хирургическое лечение, несмотря на то что большая часть больных наблюдалось в учреждении с наибольшим опытом хирургических вмешательств на ОЩЖ в России. Считается, что радикальное хирургическое лечение снижает риск рецидивов и влияет на выживаемость. Ряд работ показал, что ограниченное иссечение ОЩЖ имеет худший прогноз по сравнению с расширенной резекцией [3, 5, 6]. При этом другие аналогичные исследования связь между объемом резекции и улучшением выживаемости не установили [12, 39]. Одним из объяснений противоречий может служить определенная гипердиагностика в отношении агрессивных случаев ПГПТ, обусловленных доброкачественной аденомой, которые могли оперироваться более радикально [42]. Также необходимо учитывать лимитированные возможности регистров в отношении адекватной оценки резекции опухоли ОЩЖ, которые вносят определенные ограничения в исследования [4, 11, 41]. Рекомендаций по объему операции атипических аденом в настоящее время нет, по нашим данным, 20% больных подверглись резекции en bloc.
В нашем исследовании мы разделили карциномы по степени выраженности ядерной атипии на LG и HG, по примеру градации, предложенной Американским объединенным комитетом по изучению рака (American Joint Committee on Cancer, AJCC) в 2017 г. [19], однако не рекомендованной к широкому клиническому применению. Большинство карцином было отнесено к LG (79,5%), что согласуется с данными S.А. Hundahl и соавт., в работе которых 80,4% карцином были высокодифференцированы [1] (см. рис. 5).
Рисунок 5. Карциномы ОЩЖ из главных клеток с разной выраженностью ядерной атипии: А — карцинома LG, с митозом в центре, округлые, относительно мономорфные ядра со слабым и умеренным ядерным плеоморфизмом, нечеткие ядрышки, особенности хроматина такие же, как у аденом ОЩЖ; Б — карцинома HG, выраженный клеточный и ядерный плеоморфизм и атипия; В — клетки с крупными ядрами, неровной ядерной мембраной, четкими ядрышками (тот же препарат, что и на рис. Б, большеe увеличение).
Сообщается, что сосудистая инвазия [3, 43], ядерная атипия и высокая митотическая активность [5] ассоциированы с агрессивным течением ПГПТ и повышенным риском развития рецидива рака ОЩЖ. В нашей работе статистически значимой разницы между группами карцином с рецидивом и без по наличию сосудистой инвазии (р = 0,567), ядерной атипии (р = 0,682) и степени ее выраженности (LG или HG, p = 0,189) выявлено не было (см. рис. 3, 4).
Обнаружена тенденция к различиям по частоте патологических митозов у пациентов с рецидивом рака (35%) по сравнению с больными в ремиссии (3%) (р = 0,007). Однако с учетом поправки на множественные сравнения различия потеряли статистическую значимость.
Таким образом, учитывая отсутствие высокоспецифичных предоперационных критериев дифференциальной диагностики злокачественных и доброкачественных новообразований ОЩЖ, единой системы стадирования рака и противоречивые данные о прогностических факторах заболевания, очевидна потребность в крупных международных исследованиях с накоплением и анализом информации на большей когорте пациентов с целью совершенствования качества медицинской помощи. Ввиду редкости заболевания прогностические факторы рака ОЩЖ не определены, и в настоящее время в большинстве случаев мы ориентируемся на результаты работы отдельных учреждений. Поскольку для подтверждения диагноза «рак ОЩЖ» морфологическое исследование необходимо и является основополагающим для определения прогноза заболевания, несомненно, важным становится формирование единой номенклатуры для систематизации данных по этому редкому заболеванию. Недавно созданная платформа Международного сотрудничества по регистрации онкологических заболеваний (International Collaboration on Cancer Reporting, ICCR) призвана унифицировать классификацию злокачественных новообразований, включая рак и атипические аденомы ОЩЖ, во всем мире [44]. Эта инициатива по универсальному коллаборативному сбору данных позволит объединить и валидизировать информацию по редким заболеваниям для лучшего понимания и прогнозирования отдаленных клинических исходов.
Таблица 4. Характеристики групп пациентов с карциномой с рецидивом и без
Показатель | С рецидивом (n = 17) | Без рецидива (n = 33) | р | |
Возраст на момент постановки диагноза, лет | 47 (31; 60) | 53 (40; 60) | 0,612* | |
Пол | М — 2 (12%). Ж — 15 (88%) | М — 9 (27%). Ж — 24 (73%) | 0,265*** | |
Са++, ммоль/л | 1,76 (1,51; 1,81) | 1,58 (1,48; 1,68) | 0,226* | |
иПТГ, пг/мл | 1640 (600; 2440) | 1019 (298; 1571) | 0,023* | |
Щелочная фосфатаза, ед/л | 422 (241; 1053) | 198 (110; 635) | 0,189* | |
Гиперкальциемический криз | Есть — 2/16 (13%). Нет — 14/16 (87%) | Есть — 1/31 (3%). Нет — 30/31 (97%) | 0,547*** | |
Осложнения со стороны почек (ХБП, МКБ) | Есть — 14/17 (82%). Нет — 3/17 (18%) | Есть — 27/33 (82%). Нет — 6/33 (18%) | 0,732*** | |
Осложнения со стороны костей (остеопороз, переломы) | Есть — 14/17 (82%). Нет — 3/17 (18%) | Есть — 19/33 (58%). Нет — 14/33 (42%) | 0,080** | |
Наибольший размер новообразований, мм | 35 (31; 40) | 30 (24; 38) | 0,143* | |
Объем первой операции | En bloc — 9 (53%). Селективная паратиреоидэктомия — 8 (47%) | En bloc — 16 (48%). Селективная паратиреоидэктомия — 17 (52%) | 0,765** | |
Инвазия | Капсулярная | 12/14 (70%) | 24/31 (77%) | 0,809*** |
Сосудистая | 11/13 (84%) | 22/31 (71%) | 0,567*** | |
Периневральная | 2/12 (17%) | 2/31 (6%) | 0,653*** | |
В окружающую жировую ткань (Т1) | 11/13 (84%) | 22/31 (71%) | 0,567*** | |
В ЩЖ (Т2) | 5/12 (42%) | 6/31 (19%) | 0,265*** | |
В пищевод (Т3) | 3/13 (23%) | 0 | - | |
В крупные кровеносные сосуды (Т4) | 1/12 (8%) | 0 | - | |
Лимфатический статус | N0 | 4/17 (23%) | 7/33 (21%) | 0,122** |
N1 | 2/17 (12%) | 0 | ||
Nx | 11/17 (65%) | 26/33 (79%) | ||
Метастазы | M0 | 10/17 (59%) | 33/33 (100%) | - |
M1 | 7/17(41%), | 0 | ||
Преимущественный тип клеток | Главные | 13/14 (93%) | 27/31 (87%) | 0,422** |
Оксифильные | 0 | 3/31 (10%) | ||
Водянисто-светлые | 1/14 (7%) | 1/31 (3%) | ||
Митотическая активность | Количество митозов на 50 РПЗ | 6 (0,5; 6) | 0 (0; 3) | 0,068* |
Качественная | Повышена (более 5 митозов на 50 РПЗ) 7/12 (58%) | Повышена (более 5 митозов на 50 РПЗ) 7/29 (24%) | 0,082*** | |
Патологический митоз | 6/17 (35%) | 1/33 (3%) | 0,007*** | |
Ядерная атипия | 5/13 (38%) | 14/31 (45%) | 0,682** | |
Широкие фиброзные тяжи | 12/13 (92%) | 24/31 (77%) | 0,459*** | |
Кисты | 0 | 4/31 (13%) | - | |
Некрозы | 5/12 (42%) | 5/31 (16%) | 0,169*** | |
Grade по АJСС | LG | 9/14 (64%) | 26/30 (87%) | 0,189*** |
HG | 5/14 (36%) | 4/30 (13%) | ||
Примечание. * — U-тест; ** — χ2; ***χ2 с поправкой Йетса.
Ограничения исследования
Гистологические препараты контрольной группы аденом не пересматривались вторым независимым морфологом, точное значение митотической активности не определялось.
Заключение
Проведенное исследование позволяет сделать заключение, что для пациентов с карциномами и атипическими аденомами характерны более агрессивное течение ПГПТ с более высокими уровнями Са++, скорректированного кальция, иПТГ, щелочной фосфатазы, большим диаметром и объемом образования ОЩЖ, а также более частые переломы по сравнению с группой доброкачественных аденом. К группе повышенного риска наличия рака ОЩЖ на предоперационном этапе следует относить лиц с иПТГ > 443,55 пг/мл, Са++ > 1,5 ммоль/л, скорректированным кальцием > 3,2 ммоль/л, щелочной фосфатазой > 176 ед/л, наибольшим размером новообразования > 22,5 мм и объемом >2,6 см3 по данным УЗИ. Между карциномами и атипическими аденомами по этим параметрам различий не установлено, что свидетельствует о необходимости повышенной настороженности к пациентам группы атипических аденом. По нашим данным установлена тенденция к различиям по частоте патологических митозов у пациентов с рецидивом рака ОЩЖ, что требует дальнейшего исследования этого фактора неблагоприятного прогноза в отношении рецидива.
Результаты нашего исследования позволяют определить группу пациентов, подозрительных в отношении злокачественного новообразования ОЩЖ, что будет способствовать своевременному направлению больного в специализированные центры с большим опытом ведения данной патологии и тем самым улучшит прогноз. В целом в отношении прогностических факторов рака ОЩЖ много противоречивых данных с отсутствием единой системы стратификации рисков, которая могла бы помочь врачам прогнозировать течение заболевания, предсказывать прогрессирование и рецидивирование рака ОЩЖ, определять и планировать послеоперационное ведение больных.
Дополнительная информация
Источник финансирования. Исследование проведено при финансовой поддержке (финансовом обеспечении) Министерства Здравоохранения РФ в рамках выполнения государственных заданий АААА-А18-118051590060-2 и АААА-А18-118051590057-2.
Конфликт интересов. Авторы данной статьи подтвердили отсутствие конфликта интересов, о котором необходимо сообщить.
Участие авторов. Ю.А. Крупинова — создание концепции и дизайна исследования, сбор и обработка материала, анализ полученных данных, написание текста статьи; И.А. Воронкова — просмотр гистологических препаратов и подготовка микрофотографий, редактирование текста статьи; А.Р. Айнетдинова — статистическая обработка данных; А.Ю. Абросимов — просмотр гистологических препаратов, редактирование текста статьи; И.В Крюкова, С.В. Лукьянов — сбор и обработка материала, редактирование текста; Ю.С. Веретенникова — сбор и обработка материала; Л.Х. Тевосян — сбор и обработка материала; Г.А. Мельниченко — редактирование текста статьи; Н.Г. Мокрышева — создание концепции и дизайна исследования, редактирование текста статьи. Все авторы утвердили окончательный вариант статьи и ответственны за целостность всех частей публикации.
Выражение признательности. Авторы выражают особую благодарность Сергею Анатольевичу Лукьянову, к.м.н., ассистенту кафедры общей и детской хирургии Южно-Уральского государственного медицинского университета, и Сергею Владимировичу Сергийко, д.м.н, заведующему кафедры общей и детской хирургии Южно-Уральского государственного медицинского университета за участие в наборе пациентов.
About the authors
Julia A. Krupinova
Endocrinology Research Centre
Author for correspondence.
Email: j.krupinova@gmail.com
ORCID iD: 0000-0001-7963-5022
SPIN-code: 6279-8247
MD, research associate
Russian Federation, MoscowIya A. Voronkova
Endocrinology Research Centre; Moscow Regional Research and Clinical Institute
Email: iya-v@yandex.ru
ORCID iD: 0000-0001-6687-3240
SPIN-code: 9685-1371
MD, PhD
Russian Federation, Moscow; MoscowAlina R. Ajnetdinova
Endocrinology Research Centre
Email: 9803005@mail.com
ORCID iD: 0000-0001-6935-3187
SPIN-code: 9617-7460
Doctor-Statistician
Russian Federation, MoscowAleksandr Y. Abrosimov
Endocrinology Research Centre
Email: nikitarusskikh@mail.ru
ORCID iD: 0000-0001-8284-9996
SPIN-code: 4089-9502
MD, PhD, Professor
Russian Federation, MoscowIrina V. Kryukova
Moscow Regional Research and Clinical Institute
Email: kiv200877@yandex.ru
ORCID iD: 0000-0002-7876-5105
SPIN-code: 7669-3010
MD, PhD, Assistant Professor
Russian Federation, MoscowStanislav V. Lukyanov
Rostov State Medical University
Email: svluk@rambler.ru
ORCID iD: 0000-0002-3317-0108
SPIN-code: 4181-8431
MD, PhD, Assistant Professor
Russian Federation, Rostov-on-DonJulia S. Veretennikova
Endocrinology Research Centre
Email: veretennikova-j@mail.ru
ORCID iD: 0000-0001-8849-9595
SPIN-code: 7410-9041
Clinical Resident
Russian Federation, MoscowLarisa K. Tevosyan
Moscow Regional Research and Clinical Institute
Email: tlh_moscou@mail.ru
ORCID iD: 0000-0002-8954-1633
SPIN-code: 7376-4180
MD
Russian Federation, MoscowGalina A. Melnichenko
Endocrinology Research Centre
Email: teofrast2000@mail.ru
ORCID iD: 0000-0002-5634-7877
SPIN-code: 8615-0038
MD, PhD, Professor, Academician of the RAS
Russian Federation, MoscowNatalia G. Mokrysheva
Endocrinology Research Centre
Email: parathyroid.enc@gmail.com
ORCID iD: 0000-0002-9717-9742
SPIN-code: 5624-3875
MD, PhD, Professor, Corresponding Member of the RAS
Russian Federation, MoscowReferences
- Hundahl SA, Fleming ID, Fremgen AM, Menck HR. Two hundred eighty-six cases of parathyroid carcinoma treated in the U.S. between 1985–1995: A national cancer data base report. The American College of Surgeons Commission on Cancer and the American Cancer Society. Cancer. 1999;86(3):538–544. doi: https://doi.org/10.1002/(sici)1097-0142(19990801)86:3<538::aid-cncr25>3.0.co;2-k
- Lee PK, Jarosek SL, Virnig BA, et al. Trends in the incidence and treatment of parathyroid cancer in the United States. Cancer. 2007;109(9):1736–1741. doi: https://doi.org/10.1002/cncr.22599
- Talat N, Schulte K-M. Clinical Presentation, Staging and Long-Term Evolution of Parathyroid Cancer. Ann Surg Oncol. 2010;17(8):2156–2174. doi: https://doi.org/10.1245/s10434-010-1003-6
- Sadler C, Gow KW, Beierle EA, et al. Parathyroid carcinoma in more than 1,000 patients: A population-level analysis. Surgery. 2014;156(6):1622–1629. doi: https://doi.org/10.1016/j.surg.2014.08.069
- Villar-del-Moral J, Jiménez-García A, Salvador-Egea P, et al. Prognostic factors and staging systems in parathyroid cancer: a multicenter cohort study. Surgery. 2014;156(5):1132–1144. doi: https://doi.org/10.1016/j.surg.2014.05.014
- Xue S, Chen H, Lv C, et al. Preoperative diagnosis and prognosis in 40 Parathyroid Carcinoma Patients. Clin Endocrinol (Oxf). 2016;85(1):29–36. doi: https://doi.org/10.1111/cen.13055
- van der Zwan JM, Mallone S, van Dijk B, et al. Carcinoma of endocrine organs: results of the RARECARE project. Eur J Cancer. 2012;48(13):1923–1931. doi: https://doi.org/10.1016/j.ejca.2012.01.029
- James BC, Aschebrook-Kilfoy B, Cipriani N, et al. The incidence and survival of rare cancers of the thyroid, parathyroid, adrenal, and pancreas. Ann Surg Oncol. 2016;23(2):424–433. doi: https://doi.org/10.1245/s10434-015-4901-9
- Asare EA, Sturgeon C, Winchester DJ, et al. Parathyroid carcinoma: An update on treatment outcomes and prognostic factors from the National Cancer Data Base (NCDB). Ann Surg Oncol. 2015;22(12):3990–3995. doi: https://doi.org/10.1245/s10434-015-4672-3
- Schulte KM, Talat N, Galata G, et al. Oncologic resection achieving r0 margins improves disease-free survival in parathyroid cancer. Ann Surg Oncol. 2014;21(6):1891–1897. doi: https://doi.org/10.1245/s10434-014-3530-z
- Hsu K-T, Sippel RS, Chen H, Schneider DF, et al. Is central lymph node dissection necessary for parathyroid carcinoma? Surgery. 2014;156(6:)1336–1341; discussion 1341. doi: https://doi.org/10.1016/j.surg.2014.08.005
- Silva-Figueroa AM, Hess KR, Williams MD, et al. Prognostic scoring system to risk stratify parathyroid carcinoma. J Am Coll Surg. 2017;5;S1072-7515(17)30179-5. doi: https://doi.org/10.1016/j.jamcollsurg.2017.01.060
- Brown S, O’Neill C, Suliburk J, et al. Parathyroid carcinoma: Increasing incidence and changing presentation. ANZ J Surg. 2011;81(7–8):528–532. doi: https://doi.org/10.1111/j.1445-2197.2010.05594.x
- Kebebew E. Parathyroid carcinoma. Curr Treat Options Oncol. 2001;2(4):347–354. doi: https://doi.org/10.1007/s11864-001-0028-2
- Lo WM, Good ML, Nilubol N, et al. Tumor size and presence of metastatic disease at diagnosis are associated with disease-specific survival in parathyroid carcinoma. Ann Surg Oncol. 2018;25(9):2535–2540. doi: https://doi.org/10.1245/s10434-018-6559-6
- Shane E. Clinical review 122: Parathyroid carcinoma. J Clin Endocrinol Metab. 2001;86(2):485–493. doi: https://doi.org/10.1210/jcem.86.2.7207
- DeLellis RA, Arnold A, Bilezikian JP WHO classification of tumours of endocrine organs. Parathyroid carcinoma. Lloyd RV, Osamura RY, Kloppel G, Rosai J. (eds). 2017. P. 147–158.
- Cetani F, Marcocci C, Torregrossa L, Pardi E. Atypical parathyroid adenomas: challenging lesions in the differential diagnosis of endocrine tumors. Endocr Relat Cancer. 2019;26(7):R441–R464. doi: https://doi.org/10.1530/ERC-19-0135
- Landry C, Wang T, Asare E. Parathyroid. AJCC Cancer Staging Manual. Springer; 2017. P. 903–910.
- Мокрышева Н.Г., Крупинова Ю.А., Мирная С.С. Клинические и лабораторно-инструментальные возможности предоперационной диагностики рака околощитовидных желез // Эндокринная хирургия. — 2017. — Т. 11. — № 3. — С. 136–145. [Mokrysheva NG, Krupinova JA, Mirnaya SS. Clinical, laboratory and instrumental methods of pre-surgical diagnosis of the parathyroid glands cancer. Endocrine Surgery. 2017;11(3):136–145. (In Russ.)] doi: https://doi.org/10.14341/serg20173136-145
- Rodrigo JP, Hernandez-Prera JC, Randolph GW, et al. Parathyroid cancer: An update. Cancer Treat Rev. 2020;86:102012. doi: https://doi.org/10.1016/j.ctrv.2020.102012
- Ryhänen EM, Leijon H, Metso S, et al. A nationwide study on parathyroid carcinoma. Acta Oncol. 2017;56(7):991–1003. doi: https://doi.org/10.1080/0284186X.2017.1306103
- Schulte K-M, Talat N. Diagnosis and management of parathyroid cancer. Nat Rev Endocrinol. 2012;8(10):612–622. doi: https://doi.org/10.1038/nrendo.2012.102
- Erovic BM, Goldstein DP, Kim D, et al. Parathyroid cancer: outcome analysis of 16 patients treated at the Princess Margaret Hospital. Head Neck. 2013;35(1):35–39. doi: https://doi.org/10.1002/hed.22908
- Busaidy NL, Jimenez C, Habra MA, et al. Parathyroid carcinoma: a 22-year experience. Head Neck. 2004;26(8):716–726. doi: https://doi.org/10.1002/hed.20049
- Liu R, Xia Y, Chen C, et al. Ultrasound combined with biochemical parameters can predict parathyroid carcinoma in patients with primary hyperparathyroidism. Endocrine. 2019;66(3):673–681 doi: https://doi.org/10.1007/s12020-019-02069-7
- Wang L, Han D, Chen W, et al. Non-functional parathyroid carcinoma: A case report and review of the literature. Cancer Biol Ther. 2015;16(11):1569–1576.
- Smith RB, Evasovich M, Girod DA, et al. Ultrasound for localization in primary hyperparathyroidism. Otolaryngol Head Neck Surg. 2013;149(3):366–371. doi: https://doi.org/10.1177/0194599813491063
- Nam M, Jeong H-S, Shin JH. Differentiation of parathyroid carcinoma and adenoma by preoperative ultrasonography. Acta Radiol. 2017;58(6):670–675. doi: https://doi.org/10.1177/0284185116666418
- Hara H, Igarashi A, Yano Y, et al. Ultrasonographic features of parathyroid carcinoma. Endocr J. 2001;48(2):213–217. doi: https://doi.org/10.1507/endocrj.48.213
- Bondenson L, et al. Parathyroid carcinoma. In: DeLellis RA, Lloyd RV, Heitz PU, Eng C (eds). Pathology and Genetics. Tumors of Endocrine Organs. WHO Classification of Tumours. Lyon: IARC Press; 2004. P. 124–127.
- DeLellis RA, et al. Parathyroid adenoma. In: Lloyd RV, Osamura RY, Kloppel G, Rosai J (eds). WHO classification of tumours of endocrine organs. Lyon: IARC; 2017. P. 153–158.
- Fernandez-Ranvier GG, Khanafshar E, Jensen K, et al. Parathyroid carcinoma, atypical parathyroid adenoma, or parathyromatosis? Cancer. 2007;110(2):255–264. doi: https://doi.org/10.1002/cncr.22790
- DeLellis RA. Parathyroid tumors and related disorders. Mod Pathol. 2011;24 Suppl 2:S78-93. doi: https://doi.org/10.1038/modpathol.2010.132
- Duan K, Mete Ö. Parathyroid Carcinoma: Diagnosis and Clinical Implications. Turk Patoloji Derg. 2015;31(Suppl1):80–97. doi: https://doi.org/10.5146/tjpath.2015.01316
- Katz L, Khalek MA, Crawford B, Kandil E. Robotic-assisted transaxillary parathyroidectomy of an atypical adenoma. Minim Invasive Ther Allied Technol. 2012;21(3):201–205. doi: https://doi.org/10.3109/13645706.2011.581291
- Silva-Figueroa A, Villalobos P, Williams MD, et al. Characterizing parathyroid carcinomas and atypical neoplasms based on the expression of programmed death-ligand 1 expression and the presence of tumor-infiltrating lymphocytes and macrophages. Surgery. 2018;164(5):960–964. doi: https://doi.org/10.1016/j.surg.2018.06.013
- Kar A, Kar T, Dha I, Panda S. Squash cytodiagnosis of synchronous papillary serous carcinoma of ovary and endometrium with demonstration of serous tubal intraepithelial carcinoma as a precursor lesion. Indian J Pathol Microbiol. 2017; 60(1):125-127 doi: https://doi.org/10.4103/0377-4929.200039
- Harari A, Waring A, Fernandez-Ranvier G, et al. Parathyroid carcinoma: a 43-year outcome and survival analysis. J Clin Endocrinol Metab. 2011;96(12):3679–3686 doi: https://doi.org/10.1210/jc.2011-1571
- Kebebew E, Arici C, Duk QY, Clark OH. Localization and reoperation results for persistent and recurrent parathyroid carcinoma. Arch Surg. 2001;136(8):878–885. doi: https://doi.org/10.1001/archsurg.136.8.878
- Asare EA, Sturgeon C, Winchester DJ, et al. Parathyroid Carcinoma: An Update on Treatment Outcomes and Prognostic Factors from the National Cancer Data Base (NCDB). Ann Surg Oncol. 2015;22(12):3990–3995. doi: https://doi.org/10.1245/s10434-015-4672-3
- Salcuni AS, Cetani F, Guarnieri V, et al. Parathyroid carcinoma. Best Pract Res Clin Endocrinol Metab. 2018;32(6):877–889. doi: https://doi.org/10.1,016/j.beem.2018.11.002
- Schulte K-M, Gill AJ, Barczynski M, et al. Classification of parathyroid cancer. Ann Surg Oncol. 2012;19(8):2620–2628. doi: https://doi.org/10.1245/s10434-012-2306-6
- Williams MD, DeLellis RA, Erickson LA, et al. Pathology Data Set for Reporting Parathyroid Carcinoma & Atypical Parathyroid Neoplasm: Recommendations from the International Collaboration on Cancer Reporting. Hum Pathol. 2020;S0046-8177(20)30131-3. doi: https://doi.org/10.1016/j.humpath.2020.07.008.
Supplementary files









