Clinical and Immunomorphological Features of Liver Damage in Severe Preeclampsia
- Authors: Sidorova I.S.1, Nikitina N.A.1, Ageev M.B.1, Kokin A.A.1
-
Affiliations:
- I.M. Sechenov First Moscow State Medical University (Sechenov University)
- Issue: Vol 75, No 5 (2020)
- Pages: 481–489
- Section: OBSTETRICS AND GYNAECOLOGY: CURRENT ISSUES
- Published: 27.12.2020
- URL: https://vestnikramn.spr-journal.ru/jour/article/view/1319
- DOI: https://doi.org/10.15690/vramn1319
- ID: 1319
Cite item
Full Text
Abstract
Background. Liver diseases associated with pregnancy are recorded in 0.7–3% of pregnant women, often accompanied by the development of hepatic dysfunction/insufficiency, and are the cause of increased morbidity and mortality in both mother and child. A pathomorphological study helps to understand the pathophysiology of severe liver damage in preeclampsia, and to optimize the management of such patients. Aims — to study the clinical, morphological and immunohistochemical features of liver tissue lesions in the most severe forms of preeclampsia and eclampsia, which ended in death. Methods. Autopsy material analysis of 10 patients who died from preeclampsia, eclampsia and their complications (main group) and 3 patients who died from other causes (comparison group). Pathomorphological and immunohistochemical studies of organs and tissues (in particular, liver tissue) were performed using a marker of neurons and neuroendocrine cells γ-NSE and a marker of endotheliocytes CD-34. Results. An immunohistochemical study with a CD-34 endotheliocyte marker in the main group revealed a vascularization deficiency in the 2nd and 3rd zone of hepatic acini, there were also foci of necrosis. Such changes indicate deep and prolonged hypoperfusion. The use of the NSE marker in the group of patients who died from preeclampsia/eclampsia revealed a sharp increase in Kupffer cells in the first and second zones of acini with pronounced immunoexpression of NSE in the nuclei and cytoplasm of these cells, which indicates severe hepatic dysfunction (in particular, impaired detoxification and elimination functions of the liver). At the same time, only 3 out of 10 women in the main group are clinically registered with HELLP syndrome, while the rest had signs of multiple organ (including acute liver) failure. Conclusions. The clinical symptoms of liver damage, including those with severe preeclampsia, arise, as a rule, already against the background of severe morphological changes in its tissue and, as a rule, indicate functional decompensation. Liver immunology remains little studied, which requires further research on this problem.
Keywords
Full Text
Обоснование
Заболевания печени, связанные с беременностью, регистрируются у 0,7–3% беременных и часто сопровождаются развитием печеночной дисфункции/недостаточности. Тяжелые формы поражения печени являются причиной повышенной заболеваемости и смертности как матери, так и ребенка [1, 2]. HELLP-синдром развивается у 10–20% беременных с тяжелой преэклампсией, острый жировой гепатоз — от 1 на 7 тыс. до 1 на 20 тыс. беременностей [1].
Заболевания печени во время беременности делятся на две группы:
- связанные с беременностью (тяжелая рвота беременных, внутрипеченочный холестаз, поражения печени при гипертензивных нарушениях — преэклампсия, эклампсия, HELLP-синдром, острый жировой гепатоз, инфаркт печени / разрыв печени);
- не связанные с беременностью (предсуществующие заболевания печени — вирусные гепатиты, цирроз и портальная гипертензия, аутоиммунные поражения печения, осложнения трансплантации печени, различные формы тромботической микроангиопатии; заболевания, манифестирующие во время беременности, — аутоиммунные, вирусные, сосудистые, такие как Бадда–Киари, лекарственная гепатотоксичность).
Данная статья посвящена в основном поражениям печени, связанным с преэклампсией и эклампсией.
По данным Минздрава России за последние годы, в структуре причин материнской смертности от преэклампсии/эклампсии тяжелые поражения печени (острая печеночная недостаточность, HELLP-синдром, острый жировой гепатоз, гематомы печени с разрывом ее капсулы и летальным кровотечением) занимают одну из лидирующих позиций [3]. Так, частота острого жирового гепатоза и HELLP-синдрома в 2015 г. составила 61%; в 2016 — 80,8%; в 2017 — 57,1%; в 2018 — 53,3%; в 2019 – 57,1% среди всех причин смерти от преэклампсии [3].
По опубликованным данным, печеночная дисфункция отмечается почти у половины беременных с преэклампсией и часто является предиктором неблагоприятных материнских и перинатальных исходов [4, 5].
В настоящее время острый жировой гепатоз считается митохондриальной гепатопатией, сходной с синдромом Рея и лекарственной гепатотоксичностью (вызванной, например, вальпроевой кислотой), в основе патогенеза которой лежит дефект митохондриального β-окисления жирных кислот [5]. При этом плацента играет важную роль в патогенезе жирового гепатоза. Дефект окисления жирных кислот в митохондриях плаценты приводит к дисфункции митохондрий, усилению окислительного стресса в плаценте и сыворотке крови. В то же время дефектное окисление жирных кислот приводит к накоплению токсических промежуточных соединений (свободных жирных кислот, например арахидоновой) в плаценте и сыворотке крови беременных. Эти результаты были продемонстрированы в серии экспериментов еще в 2010 г. [6].
Было показано, что около 20% новорожденных, рожденных от матерей с жировым гепатозом, имеют дефект β-окисления жирных кислот и дефицит ключевого энзима LCHAD (long-chain 3-hydroxyacyl coenzyme A dehydrogenase) из-за гетерозиготной или даже гомозиготной мутации соответствующего аллеля [7]. Из-за генетического дефекта жирные кислоты плода накапливаются и трансплацентарно возвращаются матери, откладываются в клетках ее печени, что и приводит к развитию жирового гепатоза. Было показано, что у матерей новорожденных с дефицитом LCHAD вероятность развития жирового гепатоза или HELLP в 20 раз выше и достигает 80% [7].
Поскольку существует значительное сходство в клинических проявлениях HELLP-синдрома и острого жирового гепатоза, была изучена роль дефектов окисления жирных кислот и при синдроме HELLP. Определенная корреляция получена, но довольно слабая [5].
Тяжелую преэклампсию и HELLP-синдром в последние годы принято считать вторичными формами тромботической микроангиопатии (ТМА), к которым также относятся такие редкие и тяжелые заболевания, как атипичный гемолитико-уремический синдром (аГУС), тромботическая тромбоцитопеническая пурпура (ТТП), ночная пароксизмальная гемоглобинурия и др. Эти патологические состояния характеризуются микроангиопатической гемолитической анемией, тромбоцитопенией и полиорганной дисфункцией/недостаточностью, в том числе печеночной.
Однако несмотря на сходство клинических и лабораторных особенностей перечисленных форм ТМА, они имеют различные триггерные механизмы развития и соответственно требуют дифференцированного терапевтического подхода [8]. Основным методом лечения преэклампсии и HELLP-синдрома по-прежнему является родоразрешение, после чего симптоматика этих осложнений, как правило, исчезает. Но для купирования аГУС необходимо применение специфической терапии (экулизумаба — моноклонального антитела, блокирующего С5-компонент комплемента) [9], при ТТП требуется плазмообмен и не рекомендуется введение тромбоцитов, несмотря на выраженную тромбоцитопению [10], индивидуально решается также вопрос о назначении глюкокортикоидов, необходимости гемодиализа.
Ввиду схожести клинической симптоматики тяжелой преэклампсии, HELLP-синдрома, аГУС и ТТП, дифференциальная диагностика разных форм ТМА во время беременности и в послеродовом периоде часто либо отсутствует вовсе, либо крайне запоздалая. К примеру, задержка точной диагностики аГУС и отсутствие в связи с этим специфической терапии часто приводят к прогрессированию заболевания, вплоть до терминальной стадии почечной недостаточности, необходимости диализа или трансплантации почки. В то же время в Международном реестре сообщается только о 4 случаях применения экулизумаба во время беременности [9, 11], поэтому использование указанного препарата у данной категории пациенток пока не регламентировано соответствующими документами.
Как показали недавние исследования, аГУС, HELLP-синдром и тяжелая преэклампсия имеют много общих патогенетических особенностей, в частности системное повреждение эндотелия сосудов микроциркуляции с активацией тромбообразования. Триггером генерализованного эндотелиоза является чрезмерная активация альтернативного пути комплемента с образованием нитей фибрина в просвете сосудов, повышенным отложением конечного продукта активации C5b-9 (так называемого мембран-атакующего комплекса) на эндотелиальных клетках. Согласно исследованиям, отложение C5b-9 было увеличено у 100% пациенток с аГУС, у 100% с HELLP и у 90% женщин с тяжелой преэклампсией [2]. Поражение эндотелия гистологически проявляется отеком и отслойкой эндотелиальных клеток от базальной мембраны, расширением субэндотелиального пространства за счет отложения в нем клеточного детрита и белков. В местах эндотелиального повреждения запускается процесс микротромбообразования, происходит окклюзия сосудов с последующей воспалительной реакцией сосудистой стенки. На фоне эндотелиального повреждения фибрин образует так называемые crosslinked-сети в мелких кровеносных сосудах. Результатом этих процессов являются микроангиопатический (механический) гемолиз с анемией (неиммунной), тромбоцитопения потребления и полиорганная дисфункция [12]. При этом повреждение органов (почек и головного мозга, а также сердца, легких, печени, поджелудочной железы, кишечника, кожи и глаз), как считают многие авторы, носит ишемический характер.
В почках как при акушерских, так и при других формах ТМА эти гистологические изменения описывает термин «гломерулярный эндотелиоз». Как и при поражении других органов, повреждение и дисфункция эндотелия при преэклампсии приводят и к нарушениям микроциркуляции в печени с развитием в последующем гепатоцеллюлярного некроза.
Многими авторами высказывается предположение, что поражение печени при ТМА вторично. Отложение нитей фибрина в синусоидах печени приводит к синусоидальной обструкции и последующей печеночной гипоперфузии и ишемии, что в дальнейшем является причиной некроза, паренхиматозного кровотечения и возможного разрыва капсулы печени [8].
По данным других авторов, печень — это орган, который в первую очередь опосредует патологический иммунный ответ материнского организма на полуаллогенный плод, что характерно в том числе для преэклампсии [13].
Несмотря на то что острая печеночная недостаточность при тяжелых формах преэклампсии является одним из основных звеньев танатогенеза, морфологическим изменениям печени при данном осложнении беременности посвящено крайне мало исследований. В большинстве публикаций у умерших от преэклампсии и ее осложнений женщин описание патологических процессов в печени достаточно короткое: «значительное увеличение печени в размерах с развитием жировой дистрофии, центролобулярные некрозы и кровоизлияния» [14].
В практическом акушерстве поражение печени диагностируется главным образом на основании клинических данных. При этом симптомы довольно разнообразны и часто свидетельствуют об уже развившемся HELLP-синдроме или печеночной недостаточности: боли в правом верхнем квадранте живота или эпигастрии (65%), тошнота и рвота (35%), головная боль (30%) и более редкие жалобы (желтуха, гипертермия, диарея, кровотечение и др.) [2]. Лабораторные данные свидетельствуют о тяжелой тромбоцитопении, повышении печеночных ферментов и маркеров цитолиза, гемолитической анемии, нарушении в системе гемостаза.
Диагноз острого жирового гепатоза также часто ставится только на основании клинических данных. Хотя биопсия печени является «золотым стандартом» в диагностике этого осложнения, однако она проводится редко. Характерным гистологическим признаком, как известно, является микровезикулярный стеатоз. Современным диагностическим инструментом для улучшения диагностики жирового гепатоза выступают так называемые критерии Swansea, разработанные зарубежными коллегами: тошнота/рвота, боли в животе, полидипсия/полиурия, энцефалопатия, асцит, почечная дисфункция (креатинин сыворотки > 150 ммоль/л), микровезикулярный стеатоз при биопсии печени, лейкоцитоз > 11 × 106/л, мочевина > 47 ммоль/л, трансаминазы > 42 МЕ/л, билирубин > 14 ммоль/л, гипогликемия < 4 ммоль/л, мочевая кислота > 340 ммоль/л, коагулопатия (протромбиновое время > 14 с или AЧТВ > 34 с) [1].
Таким образом становится понятно, что по клиническим данным иногда крайне сложно дифференцировать тяжелую преэклампсию с HELLP-синдромом и острым жировым гепатозом, однако лечение этих трех состояний весьма сходно — стабилизация состояния матери и родоразрешение. В течение 1–2 нед после родов функция печени, как правило, восстанавливается полностью. Однако в некоторых ситуациях этого не происходит, и тогда возникает необходимость в пересадке печени [1, 5].
Патоморфологическое исследование помогает понять патофизиологию тяжелых поражений печени при преэклампсии, оптимизировать тактику ведения таких пациенток.
В связи с этим цель нашего исследования — изучение морфологических и иммуногистохимических особенностей поражения органов и тканей при наиболее тяжелых формах преэклампсии и эклампсии, закончившихся летальным исходом. В данной статье мы представляем результаты патоморфологического исследования печени.
Методы
Дизайн исследования
Проведен ретроспективный анализ первичной медицинской документации (медицинские карты амбулаторного больного, индивидуальные карты беременной и родильницы, истории родов, протоколы патологоанатомического исследования), а также исследование аутопсийного материала 10 пациенток, умерших от преэклампсии и эклампсии (основная группа), а также 3 женщин, умерших от других причин (группа сравнения).
Критерии соответствия
Из исследования были исключены пациентки с токсическими, нейродегенеративными и септическими заболеваниями.
Условия проведения
Патоморфологическое и иммуногистохимическое исследование выполнено в лаборатории патологии женской репродуктивной системы ФГБНУ Научно-исследовательский институт морфологии человека РАН (руководитель — д.м.н., профессор А.П. Милованов). Исследование проводилось с 2014 по 2018 г.
Описание методики исследования
Аутопсийный материал фиксировался в нейтральном 10%-м формалине, проводился по обычной схеме, заливался в парафин. На микротоме готовили срезы толщиной 3–5 мк и окрашивали их гематоксилином-эозином. После первого просмотра микропрепаратов отбирали те из них, которые были перспективны для иммуногистохимического исследования. После депарафинизации срезов их укладывали на предметные стекла, покрытые специальным полилизиновым покрытием. Использовались антитела фирмы Novocastra (Германия) для депарафинизированных срезов: 1) γ-NSE (γ-нейроспецифическая енолаза, клон 5Е2) — маркер нейронов и нейроэндокринных клеток; 2) цитокератин-8 (клон TS1) — маркер инвазирующих клеток (интерстициальный цитотрофобласт, многоядерные клетки); 3) CD-34 (клон QBend/10) — маркер эндотелиоцитов в капиллярах и других сосудах. Применялась единая система детекции Kit (NCL–RTV) по стандартной технологии.
Исследование одобрено Локальным комитетом по этике ГБОУ ВПО Первый Московский государственный медицинский университет имени И.М. Сеченова Минздрава России от 14.05.2014, выписка из протокола заседания № 06-14.
Результаты
Объекты (участники) исследования
Основные клинические данные и причины смерти 10 пациенток основной группы (умершие от преэклампсии, эклампсии и их осложнений) представлены в табл. 1. У всех женщин имело место развитие полиорганной недостаточности (в том числе острой печеночной недостаточности), HELLP-синдром зарегистрирован у 3 (30%).
Таблица 1. Основные клинические данные пациенток, умерших от преэклампсии/эклампсии (основная группа, n = 10)
Эклампсия (n = 5) | |||||
Пациентки | 1 | 2 | 3 | 4 | 5 |
Возраст, лет | 25 | 34 | 40 | 32 | 39 |
Беременность/роды | 5/3 | 8/2 | 4/2 | 1/1 (двойня) | 10/5 |
Появление первых симптомов ПЭ | У врача не наблюдалась | С 32-й нед | С 22-й нед | С 34-й нед | С 27-й нед (наблюдалась у врача нерегулярно) |
Развитие эклампсии | В 38 нед (дома) | В 36 нед | Через 16 ч после родоразрешения | В 38 нед | В 30–31 нед (дома) |
АД, мм рт. ст. | 180/100 | 140/93 на фоне массивной кровопотери | 180/100 | 160/110 | 200/110 |
Протеинурия, г/л | 5,1 | 3 | 0,98 | 1,6 | 2,6 |
Отеки | Умеренные на голенях | Выраженные | Выраженные | Умеренные | Анасарка |
Срок родоразрешения, нед | 38 (кесарево сечение) | 36 (кесарево сечение) | 40 (кесарево сечение) | 38 | 30–31 |
Осложнения | Преждевременная отслойка плаценты, антенатальная смерть плода, ПОН, ОНМК | Преждевременная отслойка плаценты, антенатальная смерть плода, геморрагический шок, ПОН | HELLP-синдром, ПОН, ишемический инсульт головного мозга | Гипотоническое маточное кровотечение, ПОН, ОНМК | Постэкламптическая кома, развернутый ДВС-синдром, ПОН, антенатальная смерть плода |
Время смерти после родоразрешения | 9-е сут | 21 ч | 3-и сут | 13-е сут | 2-е сут |
Причина смерти | Кровоизлияние в мозг | Отек и дислокация головного мозга с вклинением ствола мозга в большое затылочное отверстие | ПОН, отек мозга с дислокацией ствола | Отек и дислокация головного мозга с вклинением ствола мозга в большое затылочное отверстие | Отек и дислокация головного мозга с вклинением ствола мозга в большое затылочное отверстие |
Тяжелая преэклампсия (n = 5) | |||||
Пациентки | 6 | 7 | 8 | 9 | 10 |
Возраст, лет | 35 | 32 | 34 | 23 | 32 |
Беременность/роды | 9/3 | 2/1 | 4/2 | 2/1 | 1/1 (двойня после ЭКО) |
Появление первых симптомов ПЭ | 35-я нед | 30-я нед | У врача не наблюдалась | С 27-й нед | С 34-й нед |
АД, мм рт. ст. | 200/120 | 140/90–40/0 (на фоне отслойки плаценты) | 160/100–190/100 | 190/100 | 160/110 |
Протеинурия, г/л | 3 | 3,3 | 16,5–19,2 | 17 | 1,6 |
Отеки | Передней брюшной стенки, голеней и стоп | Выраженные на нижних конечностях | Умеренные голеней и передней брюшной стенки | Генерализованные | Умеренные |
Срок родоразрешения, нед | 37 (кесарево сечение) | 34 (кесарево сечение) | 28 (кесарево сечение) | 30 (кесарево сечение) | 38 (кесарево сечение) |
Осложнения | Преждевременная отслойка плаценты, ПОН, ОНМК | Преждевременная отслойка плаценты, антенатальная смерть плода, геморрагический шок, HELLP- синдром, ПОН, ОНМК | Преждевременная отслойка плаценты, антенатальная смерть плода, ПОН, анурия, ОНМК | HELLP- синдром, ПОН, мозговая кома | Гипотоническое маточное кровотечение, ПОН, ОНМК |
Время смерти, сут после родоразрешения | 17-е | 8-е | 5-е | 4-е | 13-е |
Причина смерти | Отек головного мозга с аксиальной дислокацией на фоне ОНМК по геморрагическому типу, внутримозговой гематомы ствола мозга | ОНМК по геморрагическому типу с явлениями отека головного мозга с дислокацией его ствола | Множественные внутримозговые кровоизлияния | ПОН | Отек и дислокация головного мозга с вклинением ствола мозга в большое затылочное отверстие |
Примечание. ПЭ — преэклампсия; ОНМК — острое нарушение мозгового кровообращения; ПОН — полиорганная недостаточность; АД — артериальное давление; ЭКО — экстракорпоральное оплодотворение.
В группу сравнения включены 3 женщины, умершие от других причин:
- n = 1 — от разрыва матки по рубцу с развитием геморрагического шока (38 лет, 6-я беременность, 4-е роды);
- n = 1 — от анафилактической реакции на кетамин (33 года, 3-я беременность, 2-е роды);
- n = 1 — от массивного кровотечения с развитием геморрагического шока на 32-й нед беременности на фоне острого лимфобластного лейкоза (39 лет, 2-я беременность, 2-е роды).
Основные результаты исследования
Печень — важнейший орган, участвующий в обмене белков, углеводов, жиров, в продукции и секреции желчи, а также детоксикации эндо- и экзотоксинов, депонировании белков, гликогена, витаминов и микроэлементов. Многообразные функции печени обеспечиваются ее сложным строением. В последние годы доминирует представление о структурно-функциональной единице — печеночном ацинусе (вместо печеночной дольки). Принято выделять три зоны ацинуса. Зона 1 (перипортальная) включает гепатоциты вокруг портальных трактов, в составе которых артериальные и венозные сосуды (из a. hepatica и v. portae). Смешанная кровь распространяется по густой сети синусоидов (зона 2), выстланных эндотелиоцитами и поэтому четко выявляемых маркером CD-34. Среди эндотелиоцитов располагаются отдельные звездчатые ретикулоэндотелиоциты (купферовские клетки), которые относятся к системе мононуклеарных фагоцитов (макрофагов). Кровоснабжение ацинуса происходит путем перемещения крови из портальной системы в кавальную, т.е. в центральную вену. Гепатоциты вокруг вены — зона 3, перивенулярная. Гепатоциты перивенулярной зоны слабо васкуляризированы, поэтому более уязвимы для гипоксического повреждения.
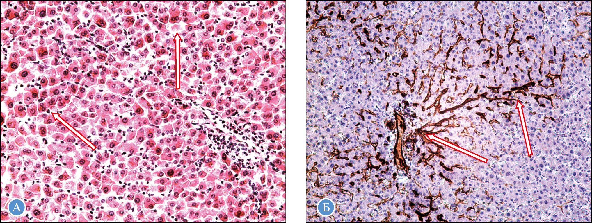
Патоморфология печени в группе сравнения. Беременность сопровождается существенной нагрузкой на печень. Так, в группе сравнения в микропрепаратах видна явная гипертрофия гепатоцитов в виде крупных ядер и двуядерных форм. Эти изменения сконцентрированы в перипортальной зоне (зона 1) печеночного ацинуса, где имеют место лучшие условия для кровоснабжения (рис. 1, А). Это подтверждается маркером CD-34, который четко контурирует сеть капилляров-синусоидов в зонах 1 и 2 ацинуса (рис. 1, Б) и практически отсутствует в перивенулярной зоне. Этим обусловлены преобладающие дистрофические изменения в гепатоцитах вокруг центральной вены вследствие снижения перфузии (как артериального, так и венозного кровотока). Наблюдаются также повреждение микроциркуляторного русла, очаговый некроз гепатоцитов, что характерно для острой циркуляторной недостаточности и разных видов шока, регистрируемых у женщин из группы сравнения.
Рис. 1. Группа сравнения: А — наличие гипертрофированных двуядерных гепатоцитов (стрелки) в перипортальной области (зона 1 ацинуса) (патоморфологическое исследование, окраска гематоксилином и эозином, ×100); Б — разветвленная капиллярная сеть (стрелки) в зоне 1 и отчасти в зоне 2 ацинусов (иммуногистохимическое исследование с маркером CD-34, ×50)
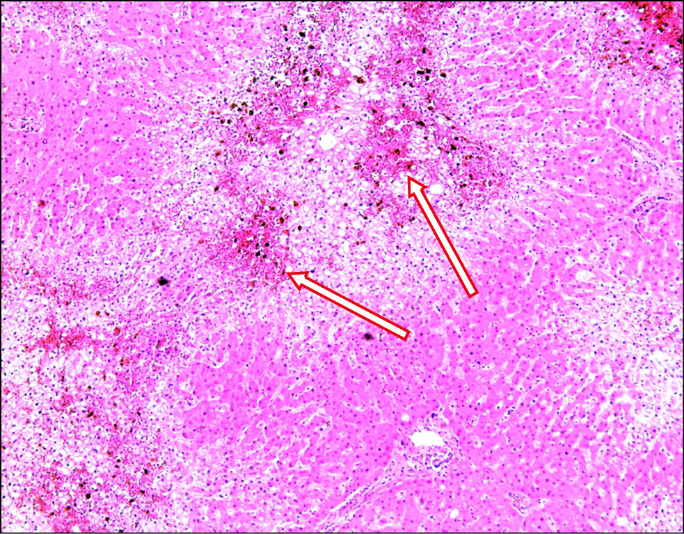
Патоморфология печени при преэклампсии и эклампсии. Патоморфология печени при преэклампсии и эклампсии широко известна в патологоанатомической литературе под названием «экламптическая печень», включающая крупные ландкартообразные поверхностные кровоизлияния, очаговые некрозы паренхимы и гемореологические нарушения.
В основной группе только у 4 умерших женщин выявлена «экламптическая печень» с кровоизлияниями под капсулой, очагами некроза и застойного полнокровия (рис. 2). Однако масса печени в 100% превышала норму на 80–120 г.
Рис. 2. Эклампсия — основная группа: тотальные некрозы гепатоцитов и очаговые кровоизлияния (стрелки) в трех зонах печеночного ацинуса (патоморфологическое исследование, окраска гематоксилином и эозином, ×50)
При иммуногистохимическом исследовании с иcполь-зованием маркера эндотелиоцитов CD-34 выявлен характерный дефицит капиллярной сети преимущественно в зоне 2 печеночного ацинуса (рис. 3, А), что соответствовало преобладающей там локализации очагов некроза.
Рис. 3. Преэклампсия — основная группа: А — разрежение капиллярной сети (стрелки) в зонах 1 и 2 печеночного ацинуса (иммуногистохимическое исследование, маркер CD-34, ×100); Б — выраженная иммуноэкспрессия NSE в ядрах и цитоплазме печеночных макрофагов (купферовских клеток) на фоне гипертрофированных ядер гепатоцитов (иммуногистохимическое исследование, маркер NSE, ×400)
Интересными оказались результаты NSE-экспрессии в печени женщин, погибших от преэклампсии: выявлено резкое увеличение звездчатых ретикулоцитов в составе эндотелия синусоидов в зонах 1 и 2 ацинусов (рис. 3, Б). Подобная необычная реакция купферовских клеток отсутствовала в группе сравнения. Поскольку основная функция этих клеток макрофагальная, то столь значительное их увеличение и поглощение ими избытка циркулирующей в крови NSE свидетельствуют о декомпенсации детоксикационной и элиминационной функций печени при тяжелой преэклампсии и эклампсии.
Обсуждение
Современные представления о заболеваниях печени, связанных с беременностью, достаточно подробно освещены в литературе, однако почти все публикации затрагивают исключительно клинические данные. Сведения об этиопатогенетических особенностях и, в частности, иммунологии указанных заболеваний и осложнений крайне скудны [13].
Беременность выступает определенным вызовом для иммунной системы матери. Развитие полуалогенного плода при одновременном сохранении иммунологической защиты матери и плода — довольно сложная задача. Печень является органом, который в первую очередь опосредует иммунологическую толерантность матери на полуаллогенный плод. Недавние исследования показали локальный и системный иммунный так называемый эффект толерантности печени, который осуществляется специализированными резидентными печеночными неклассическими антиген-презентирующими клетками (APCs), такими как эндотелиальные клетки синусоидов печени, звездчатые клетки печени и гепатоциты [15, 16]. Эти нетрадиционные APCs индуцируют анергию T-клеток (активная толерогенность), а не их эффекторные функции.
Важную роль в осуществлении толерогенной функции печени оказывает также неклассический лейкоцитарный антиген-G (HLA-G). HLA-G играет важную роль в стимулировании толерантности за счет иммуносупрессивного воздействия на все типы иммунных клеток. Обнаружено, что его экспрессия индуцируется в гепатоцитах и других эпителиальных клетках печени в ответ на повреждение печени, трансплантацию или злокачественные новообразования [17]. Подобный механизм развития иммунологической толерантности к полуалогенному плоду описан в настоящее время и в плаценте [18].
Тяжелая преэклампсия вносит существенный вклад в нарушение иммунологии печени, ее повреждение, развитие таких осложнений, как HELLP-синдром, жировой гепатоз, острая печеночная недостаточность, которые нередко заканчиваются летальным исходом.
Для изучения патологической анатомии тяжелой преэклампсии и эклампсии важны исследования не только органов, традиционно считаемых органами-мишенями (головной мозг, почки, печень), но и других, что необходимо для оценки системного характера повреждений, свойственных этому тяжелому акушерскому осложнению. Однако на аутопсийном материале трудно выделить специфические особенности, присущие именно преэклампсии и эклампсии, так как каждый летальный исход — это финал длительного течения данного осложнения, оперативных вмешательств, инфузионно-трансфузионной терапии, реанимационных мероприятий и, наконец, механизмов танатогенеза.
Соответственно, для выделения особенностей, спе-цифичных для преэклампсии/эклампсии, нами проведено сравнительное аутопсийное исследование сопоставимых групп пациенток с примерно одинаковым объемом лечения, но отличающихся по причинам смерти.
В частности, патоморфологическое и иммуногистохимическое исследование ткани печени у женщин, умерших от тяжелой преэклампсии и эклампсии, позволило выявить некоторые специфические особенности, не обнаруженные в группе сравнения.
Прослежены изменения в соответствии со структурно-функциональной организацией печени: в перипортальной зоне печеночных ацинусов (зона 1 — гепатоциты вокруг портальных трактов, в составе которых идут артериальные и венозные сосуды); в зоне 2 (густая сеть синусоидов, выстланных эндотелиоцитами, по которым циркулирует смешанная кровь, а также находятся отдельные звездчатые ретикулоэндотелиоциты (купферовские клетки) из системы мононуклеарных макрофагов); в перивенулярной зоне (зона 3 — гепатоциты вокруг центральной вены, зона слабо васкуляризованная и наиболее чувствительная к гипоксии).
У женщин группы сравнения выявлены тяжелые дистрофические изменения гепатоцитов вокруг центральной вены — в зоне, наиболее уязвимой к снижению перфузии шокового генеза. Кроме того, отмечены изменения, характерные для острой циркуляторной недостаточности, — очаговый некроз гепатоцитов, повреждение микроциркуляторного русла, развивающиеся в ответ на разные виды шока. Помимо этого, визуализируется гипертрофия гепатоцитов в зоне 1 печеночных ацинусов, имеющей оптимальные условия для кровоснабжения, что является компенсаторной реакцией печени на существенную нагрузку во время беременности.
В группе умерших от преэклампсии/эклампсии только в 40% случаев выявлена классическая патоморфологическая картина изменений, известных как «экламптическая печень» (крупные ландкартообразные поверхностные кровоизлияния, очаговые некрозы паренхимы и реологические нарушения). При специальном иммуногистохимическом исследовании с маркером эндотелиоцитов CD- 34 выявлен характерный дефицит васкуляризации в зонах 2 и 3 печеночных ацинусов, там же отмечались очаги некроза (подобное снижение плотности распространения капиллярной сети было выявлено нами также в почках, сердце и коре головного мозга женщин, умерших от преэклампсии/эклампсии).
Обнаруженное снижение плотности распределения капиллярной сети в органах-мишенях, в том числе в печени при тяжелой преэклампсии и эклампсии, по-видимому, можно объяснить выраженным антиангиогенным дисбалансом, свойственным данному осложнению беременности. Такие изменения свидетельствуют о глубокой и длительной гипоперфузии не только плаценты, как описывается многими авторами, но и других органов. Важное значение в подобной ситуации имеет грамотная тактика введения антигипертензивных и вазоактивных препаратов. Достаточно резкое или значительное снижение АД в условиях гипоперфузии тканей может привести к тяжелым некротическим изменениям.
Иммуногистохимическое исследование ткани печени с использованием маркера NSE позволило выявить некоторые патогенетические особенности тяжелой преэклампсии, не описанные ранее в литературе.
NSE (neuron-specific enolase) — гликолитический фермент, участвующий в процессах окисления глюкозы в клетках, маркер зрелых дифференцированных нейронов. Как показали исследования, NSE является не только уникальным цитологическим маркером нейронов, но и важнейшим показателем их дифференцировки [19]. Изоформа g-NSE в высокой концентрации определяется в нервной ткани, к этому белку отсутствует иммунологическая аутотолерантность. Ее повышенные уровни в сыворотке крови, как правило, свидетельствуют о патологических процессах в головном мозге и повреждении гематоэнцефалического барьера (ГЭБ) (эпилепсия, гипоксические поражения мозга, нейроинфекции, опухоли, травмы головного мозга и др.) [20, 21].
Повреждение эндотелия сосудов, свойственное преэклампсии, в том числе сосудов ГЭБ, приводит к повышению его проницаемости, выходу NSE в периферический кровоток матери, что сопровождается синтезом антител, образованием иммунных комплексов, активацией системы комплемента и системным воспалительным ответом. Связавшиеся с комплементом иммунные комплексы адсорбируются на мембранах эритроцитов и транспортируются в печень и селезенку, где иммунные комплексы захватываются макрофагами, распознающими Fc-фрагменты иммуноглобулинов и опсонизирующие фрагменты комплемента [22].
Использование маркера NSE позволило выявить в группе умерших от преэклампсии/эклампсии резкое увеличение купферовских клеток (звездчатых ретикулоэндотелиоцитов) в зонах 1 и 2 ацинусов с выраженной иммуноэкспрессией NSE в ядрах и цитоплазме этих клеток. Подобной реакции не было отмечено в группе сравнения. Купферовские клетки являются печеночными макрофагами, и накопление в них NSE свидетельствует о снижении и нарушении детоксикационной и элиминационной функций печени, в том числе нарушении феномена толерогенности печени. Последний факт отчасти может объяснить частое развитие преждевременной отслойки плаценты, антенатальной смерти плода, преждевременных родов, когда происходит «отторжение» аллогенной беременности. Кроме того, создаются условия для развития иммунокомплексных комплемент-опосредованных осложнений тяжелой преэклампсии (HELLP-синдром, сепсис, некоторые ТМА).
Механизм патогенеза этих осложнений, вероятно, опосредуется иммунной реакцией гиперчувствительности 3-го типа: в ответ на длительное или массивное попадание в кровоток чужеродного антигена (возможно, плодового) возникает транзиторный дефицит (истощение запасов) комплемента, который необходим для солюбилизации иммунных комплексов (поддержки их в растворимом состоянии). Это, в свою очередь, приводит к снижению эффективности транспортировки иммунных комплексов в печень и селезенку, оседанию их на сосудистой стенке с развитием провоспалительной реакции и системному повреждению эндотелия. Клиническим эквивалентом указанной цепочки событий является тяжелая полиорганная, в том числе печеночная, недостаточность.
Таким образом, сопоставляя полученные результаты собственных исследований аутопсийного материала печени и опубликованные данные, можно сделать следующее заключение: поражения печени при преэклампсии/ эклампсии имеют двойственный характер, что усугубляет тяжесть поражения.
С одной стороны, существуют патофизиологические изменения, характерные для преэклампсии, — первичное генерализованное повреждение эндотелия сосудов микроциркуляции (в том числе в печени), что активирует микротромбообразование, провоспалительное состояние, антиангиогенный дисбаланс, выраженная гипоперфузия вплоть до развития очагов некрозов в ткани печени. Наблюдаются иммунологические нарушения с активацией комплемента и образованием его конечного продукта С5b-9 (мембран-атакующий комплекс), который, встраиваясь в цитоплазматическую мембрану, вызывает лизис клеток (в первую очередь эндотелиоцитов, эритроцитов — гемолиз (!), а также клеток печени). По мере истощения резерва компонентов комплемента возникает блокада печеночных макрофагов антигенами и иммунными комплексами, что приводит к декомпенсации антитоксической и элиминационной функций печени.
С другой стороны, при наиболее тяжелых формах преэклампсии возникает вторичная тромботическая микроангиопатия с блокадой микроциркуляционного русла и синусоидов печени фибриновыми сгустками, микротромбами и дополнительным, уже механическим лизисом эритроцитов.
Ограничения исследования
К сожалению, мы не имели возможности сравнить изменения, описанные нами при патоморфологическом исследовании, и результаты прижизненной визуализации, так как аутопсийный материал был предоставлен архивом ФГБНУ Научно-исследовательский институт морфологии человека РАН.
Заключение
Таким образом, проведенное исследование показало необходимость оптимизации тактики ведения пациенток с тяжелой преэклампсией с учетом следующих рекомендаций.
- Преэкламптическая дисфункция печени, HELLP-синдром, острый жировой гепатоз — опасные для жизни неотложные состояния, при этом важное значение в сохранении жизни и здоровья как матери, так и плода имеют ранняя диагностика и адекватное лечение. Срочное родоразрешение является краеугольным камнем в лечении тяжелой преэкламптической дисфункции печени для предотвращения таких осложнений, как острая почечная недостаточность, судорожный синдром, инфаркт и разрыв капсулы печени.
- При развитии преэклампсии и особенно эклампсии необходимы тщательный мониторинг за динамикой АД, контролируемое введение антигипертензивных препаратов — недопустимо резкое и/или значительное снижение АД, что может привести к падению перфузии органов, вплоть до некротических изменений. В то же время длительная и высокая гипертензия также опасна возникновением кровоизлияния в мозг, отслойки плаценты, отслойки сетчатки и другими осложнениями.
- Назначение большого количества препаратов (полипрагмазия) может быть опасным, а терапевтический эффект непредсказуемым, учитывая снижение функциональных возможностей печени по детоксикации.
- Клинические симптомы поражения печени возникают уже на фоне тяжелых морфологических изменений ее ткани и, как правило, свидетельствуют о ее функциональной декомпенсации.
- Учитывая патогенетические особенности наиболее тяжелых форм преэклампсии, особое значение приобретает проведение дифференциально-диагностического поиска в отношении других форм ТМА для назначения специфической терапии таким пациенткам.
- Мультисистемный характер поражения при тяжелой преэклампсии делает обоснованным многопрофильный междисциплинарный подход к ведению таких пациенток (с привлечением нефрологов, гематологов, неврологов, гепатологов, анестезиологов-реаниматологов и др.).
About the authors
Iraida S. Sidorova
I.M. Sechenov First Moscow State Medical University (Sechenov University)
Email: sidorovais@yandex.ru
ORCID iD: 0000-0003-2209-8662
SPIN-code: 3823-8259
MD, PhD, Professor, Academician of the RAS
Russian Federation, MoscowNatalya A. Nikitina
I.M. Sechenov First Moscow State Medical University (Sechenov University)
Author for correspondence.
Email: natnikitina@list.ru
ORCID iD: 0000-0001-8659-9963
SPIN-code: 8344-1517
MD, PhD, Professor
Russian Federation, MoscowMikhail B. Ageev
I.M. Sechenov First Moscow State Medical University (Sechenov University)
Email: mikhaageev@yandex.ru
ORCID iD: 0000-0002-6603-804X
SPIN-code: 3122-7420
MD, PhD
Russian Federation, MoscowAlbert A. Kokin
I.M. Sechenov First Moscow State Medical University (Sechenov University)
Email: alberkokin@yandex.ru
ORCID iD: 0000-0001-7615-4530
MD, Resuscitator
Russian Federation, MoscowReferences
- Ma K, Berger D, Reau N. Liver Diseases During Pregnancy. Clin Liver Dis. 2019;23(2):345–361. doi: https://doi.org/10.1016/j.cld.2018.12.013
- Westbrook RH, Dusheiko G, Williamson C. Pregnancy and liver disease. Journal of Hepatology. 2016;64(4):933–945. doi: https://doi.org/10.1016/j.jhep.2015.11.030
- Филиппов О.С., Гусева Е.В., Малышкина А.И., и др. Материнская смертность в Российской Федерации в 2018 году. Методическое письмо Министерства здравоохранения Российской Федерации от 18.09.2019 № 15-4/10/2-8714. — 100 с. [Filippov OS, Guseva EV, Malyshkina AI, et al. Maternal mortality in the Russian Federation in 2018. Metodicheskoe pis’mo Ministerstva zdravookhraneniya Rossiiskoi Federatsii ot 18.09.2018 № 15-4/10/2-8714. 100 p. (in Russ.)]
- Kozic JR, Benton SJ, Hutcheon JA, et al. Abnormal liver function tests as predictors of adverse maternal outcomes in women with preeclampsia. J Obstet Gynaecol Can. 2011;33(10):995–1004. doi: https://doi.org/10.1016/S1701-2163(16)35048-4
- Goel A, Jamwal KD, Ramachandran A, et al. Pregnancy-related liver disorders. J Clin Exp Hepatol. 2014;4(2):151–162. doi: https://doi.org/10.1016/j.jceh.2013.03.220
- Natarajan SK, Thangaraj KR, Eapen CE. Liver injury in acute fatty liver of pregnancy: possible link to placental mitochondrial dysfunction and oxidative stress. Hepatology. 2010;51(1):191–200. doi: https://doi.org/10.1002/hep.23245
- Browning MF, Levy HL, Wilkins-Haug LE, et al. Fetal fatty acid oxidation defects and maternal liver disease in pregnancy. Obstet Gynecol. 2006;107(1):115–120. doi: https://doi.org/10.1097/01.AOG.0000191297.47183.bd
- Gupta M, Feinberg BB, Burwick RM. Thrombotic microangiopathies of pregnancy: Differential diagnosis. Pregnancy Hypertens. 2018;12:29–34. doi: https://doi.org/10.1016/j.preghy.2018.02.007
- Gupta M, Govindappagari S, Burwick RM. Pregnancy-Associated Atypical Hemolytic Uremic Syndrome: A Systematic Review. Obstet Gynecol. 2020;135(1):46–58. doi: https://doi.org/10.1097/AOG.0000000000003554
- Joly BS, Coppo P, Veyradier A. Thrombotic thrombocytopenic purpura. Blood. 2017;129(21):2836–2846. doi: https://doi.org/10.1182/blood-2016-10-709857
- Bruel A, Kavanagh D, Noris M, et al. Hemolytic uremic syndrome in pregnancy and post-partum. Clin J Am Soc Nephrol. 2017;12(8):1237–1247. doi: https://doi.org/10.2215/CJN.00280117
- Козловская Н.Л., Галстян Г.М., Степанюк В.Н. Сложные вопросы диагностики атипичного гемолитико-уремического синдрома в отделении реанимации и интенсивной терапии // Вестник анестезиологии и реаниматологии. — 2019. — Т. 16. – № 4. — С. 65–76. [Kozlovskaya NL, Galstyan GM, Stepanyuk VN. Difficult issues in diagnosing atypical hemolytic-uremic syndrome in the intensive care unit. Bulletin of anesthesiology and resuscitation. 2019;16(4):65–76 (In Russ.)] doi: https://doi.org/10.21292/2078-5658-2019-16-4-65-76
- Bremer L, Schramm C, Tiegs G. Immunology of hepatic diseases during pregnancy. Semin Immunopathol. 2016;38(6):669–685. doi: https://doi.org/10.1007/s00281-016-0573-1
- Mikhaleva LM, Gracheva NA, Biryukov AE. The clinical and anatomical aspects of preeclampsia: current features of its course. Arkh Patol. 2018;80(2):11–17. doi: https://doi.org/10.17116/patol201880211-17
- Thomson AW, Knolle PA. Antigen-presenting cell function in the tolerogenic liver environment. Nat Rev Immunol. 2010;10(11):753–766. doi: https://doi.org/10.1038/nri2858
- Mehrfeld C, Zenner S, Kornek M, Lukacs-Kornek V. The Contribution of Non-Professional Antigen-Presenting Cells to Immunity and Tolerance in the Liver. Front Immunol. 2018;9:635. doi: https://doi.org/10.3389/fimmu.2018.00635
- Amiot L, Vu N, Samson M. Biology of the immunomodulatory molecule HLA-G in human liver diseases. J Hepatol. 2015;62(6):1430–1437. doi: https://doi.org/10.1016/j.jhep.2015.03.007
- Ferreira LMR, Meissner TB, Tilburgs T, Strominger JL. HLA-G: At the Interface of Maternal-Fetal Tolerance. Trends Immunol. 2017;38(4):272–286. doi: https://doi.org/10.1016/j.it.2017.01.009
- Чехонин В.П., Гурина О.И., Дмитриева Т.Б. Моноклональные антитела к нейроспецифическим белкам. — М.: Медицина, 2007. — 344 с. [Chekhonin VP, Gurina OI, Dmitriyeva TB. Monoclonal antibodies to neurospecific proteins. Moscow: Medicine; 2007. 344 p. (In Russ.)]
- Isgrò MA, Bottoni P, Scatena R. Neuron-Specific Enolase as a Biomarker: Biochemical and Clinical Aspects. Adv Exp Med Biol. 2015;867:125–143. doi: https://doi.org/10.1007/978-94-017-7215-0_9
- Thelin EP, Zeiler FA, Ercole A, et al. Serial Sampling of Serum Protein Biomarkers for Monitoring Human Traumatic Brain Injury Dynamics: A Systematic Review. Front Neurol. 2017;8:300. doi: https://doi.org/10.3389/fneur.2017.00300
- Зорников Д.Л., Литусов Н.В., Новоселов А.В. Иммунопатология. — Екатеринбург: Изд-во УГМУ, 2017. — 35 с. [Zornikov DL, Litusov NV, Novoselov AV. Immunopathology. Yekaterinburg: Izdatel’stvo UGMU; 2017. 35 p. (In Russ.)]
Supplementary files










