Combination of Arrhythmogenic Right Ventricular Dysplasia with Left Ventricular Non-Compaction as a Special Form of Cardiomyopathy: Clinic, Diagnostics, Genetic, Natural Course
- Authors: Lutokhina Y.A.1, Blagova O.V.1, Shestak A.G.2, Polyak M.Е.2, Bukaeva A.A.2, Zaklyazminskaya E.V.2,3, Varionchik N.V.1, Sedov V.P.1, Kogan E.A.1, Alexandrova S.А.4, Nedostup A.V.1
-
Affiliations:
- I.M. Sechenov First Moscow State Medical University (Sechenov University)
- B.V.Petrovsky Russian Research Center of Surgery
- Pirogov Russian National Research Medical University
- A.N. Bakoulev Center for Cardiovascular Surgery
- Issue: Vol 75, No 6 (2020)
- Pages: 594-604
- Section: CARDIOLOGY AND CARDIOVASCULAR SURGERY: CURRENT ISSUES
- Published: 15.11.2020
- URL: https://vestnikramn.spr-journal.ru/jour/article/view/1245
- DOI: https://doi.org/10.15690/vramn1245
- ID: 1245
Cite item
Full Text
Abstract
Background. A few cases of combination of arrhythmogenic right ventricular dysplasia/cardiomyopathy (ARVC) with left ventricular noncompaction (LVNC) have been described. Aims — to study the genetics, diagnostical features and clinical course of the combination of ARVC with LVNC. Methods. 58 patients with ARVC diagnosis (26 men; mean age 39.1 ± 14.2 years; mean follow-up period — 21.5 [6; 60] months) and 125 patients with LVNC (74 men; mean age 46.4 ± 15.1 years; mean follow-up period — 14 [3; 40] months). All patients underwent electrocardiogram (ECG), echocardiography, 24-h ECG monitoring. Heart MRI was performed in 53 (91.4%) patients with ARVC and 60 (48%) with LVNC, heart CT — in 18 (31%) patients with ARVC and 89 (71.2%) with LVNC. For all patients with combination of ARVC and LVNC DNA-diagnostic was performed using both ARVC (PKP2, DSG2, DSP, DSC2, JUP, TMEM43, TGFB3, PLN, LMNA, DES, CTTNA3, EMD, SCN5A, LDB3, CRYAB, FLNC) and LVNC (MYH7, MYBPC3, TAZ, TPM1, LDB3, MYL2, MYL3, ACTC1, TNNT2, TNI3) gene panels. Results. Combination of ARVC and LVNC was found in 9 patients (15.5% of patients form ARVC cohort and 7.2% from LVNC cohort). These patients were distinguished from patients with isolated ARVC or LVNC by aggressive ventricular arrhythmias (frequent premature ventricular beats, sustained ventricular tachycardia, significantly worse antiarrhythmic therapy effect, appropriate shocks of implanted cardioverter-defibrillators (ICD) in all patients with ICD). Patients with combination of ARVC + LVNC were also distinguished from patients with isolated LVNC by the dilatation of RV, low QRS voltage on ECG, presence of AV block, absence of signs of LV hypertrophy on ECG. LV dilatation with reduction of its ejection fraction distinguished patients with mixed cardiomyopathy from patients with isolated ARVC. Potentially pathogenic variants (IV–V classes of pathogenicity) and variants of unclear clinical significance (III class of pathogenicity) were found in both desmosomal and non-desmosomal genes in 78% of patients, including 3 (33%) — in DSP gene. Conclusions. The combination of ARVC and LVNC can be caused by mutations in both desmosomal and non-desmosomal genes and has typical features: aggressive, resistant ventricular rhythm abnormalities leading to appropriate ICD shocks and a high risk of sudden cardiac death.
Full Text
Обоснование
В современной кардиологии большое внимание уделяется сложной и клинически значимой проблеме диагностики и лечения первичных генетически детерминированных кардиомиопатий. Еще более сложный и практически не изу-ченный вопрос — сочетание различных кардиомиопатий у одного пациента. В данной статье пойдет речь о сочетании аритмогенной дисплазии правого желудочка (АД ПЖ) и некомпактного миокарда левого желудочка (НКМ ЛЖ).
АД ПЖ — наследственное заболевание миокарда с преимущественным поражением правого желудочка (ПЖ), характеризующееся желудочковыми нарушениями ритма и высоким риском внезапной сердечной смерти (ВСС) [1]. Данная кардиомиопатия была описана в 1977 г. и изначально считалась редким заболеванием, однако по мере изучения клинических проявлений и разработки диагностических критериев АД ПЖ сведения о ее распространенности изменились: по данным различных исследований, частота АД ПЖ варьирует от 1:1000 до 1:5000 [2, 3].
НКМ ЛЖ характеризуется интенсивно развитыми желудочковыми трабекулами в сочетании с глубокими межтрабекулярными лакунами, выстланными эндокардом, не связанными с коронарным кровотоком и предрасполагающими к образованию тромбов. Первое описание синдрома НКМ ЛЖ у взрослых, опубликованное в 1990 г. [4], как считается, принадлежит T.K. Chin et al., однако в самостоятельный вид кардиомиопатии синдром НКМ ЛЖ был выделен только в 2008 г. [5]. Сведения о распространенности НКМ ЛЖ в популяции противоречивы. Среди здоровых взрослых его частота варьирует от 0,014 до 1,3% [6]. Достоверная частота НКМ ЛЖ среди детей неизвестна, однако на него приходится до 9% всех кардиомиопатий, диагностируемых у детей [7].
В литературе встречается лишь несколько описаний отдельных клинических случаев сочетания АД ПЖ и НКМ ЛЖ. Поиск диагностических признаков, позволяющих заподозрить сочетание этих кардиомиопатий, изучение генетической природы, клинического течения сочетания АД ПЖ и НКМ ЛЖ и лечения являются интересной и перспективной проблемой.
Цель исследования — изучить генетическую природу, диагностические признаки и клиническое течение сочетания АД ПЖ и НКМ ЛЖ.
Методы
Дизайн исследования
Исследование является обсервационным, одноцентровым, сплошным, частично ретроспективным, частично проспективным. Пациенты, которые наблюдались в нашей клинике с марта 2015 г. с диагнозом АД ПЖ или НКМ ранее, а также набирались новые пациенты, которым диагноз АД ПЖ или НКМ был установлен впервые. И те и другие больные включались в исследование и обследовались в объеме, описанном ниже. По результатам клинического обследования выявлялись пациенты с сочетанием АД ПЖ и НКМ ЛЖ. После включения в исследование пациенты продолжали наблюдаться в клинике (ежегодные повторные визиты с выполнением суточного мониторирования ЭКГ по Холтеру, контролем системы имплантируемого кардиовертера-дефибриллятора (ИКД) при ее наличии, титров антикардиальных антител). Для изучения особенностей диагностики, клинического течения и лечения смешанной кардиомиопатии проводилось сравнение пациентов с сочетанием АД ПЖ и НКМ ЛЖ с когортой больных с изолированной АД ПЖ и с когортой больных с изолированным НКМ ЛЖ. В объем анализируемых данных включались не только информация за период проспективного наблюдения, но и ретроспективные данные предшествующего наблюдения участников исследования. Регистрация конечных точек осуществлялась на всем протяжении периода наблюдения за пациентами.
Критерии соответствия
Критериями включения в исследование являлись наличие АД ПЖ и наличие НКМ ЛЖ. Диагноз АД ПЖ ставился в соответствии с модифицированными критериями 2010 г. (Task Force Criteria 2010) [8]. Для диагностики НКМ ЛЖ использовались общепринятые визуальные критерии [4, 9–11]. Наличие НКМ ЛЖ было в большинстве случаев подтверждено при помощи как минимум двух визуализирующих методов: эхокардиографии (ЭхоКГ), магниторезонансной томографии (МРТ) сердца или мультиспиральной компьютерной томографии (МСКТ).
Условия проведения
Исследование проводилось на базе Факультетской терапевтической клиники им. В.Н. Виноградова ФГАОУ ВО Первый МГМУ имени И.М. Сеченова Минздрава России (Сеченовский Университет). Генетическое обследование пациентов проводилось в лаборатории медицинской генетики ФГБНУ РНЦХ им. акад. Б.В. Петровского.
Продолжительность исследования
Исследование осуществлялось в период с марта 2015 по июль 2019 г. Данные пациентов, которые наблюдались в клинике ранее (ретроспективная часть исследования), оценивались в период с 1997 по 2015 г.
Описание медицинского вмешательства
В связи с участием пациентов в исследовании больным выполнялись обследования, описанные в разделе, посвященном регистрации исходов, а также однократный забор венозной крови в объеме 9 мл для определения титров антикардиальных антител, 4 мл — для выявления ДНК кардиотропных вирусов в крови, 4 мл — для проведения ДНК-диагностики.
Исходы исследования
Основные исходы исследования. В качестве конечных точек исследовании оценивалась частота адекватных срабатываний ИКД, летальных исходов, трансплантации сердца.
Дополнительные исходы исследования. У всех пациентов оценивались структурно-функциональные параметры сердца (размеры камер сердца, толщина стенок, систолическая функция ЛЖ, состояние клапанного аппарата), снижение вольтажа комплекса QRS и наличие АВ-блокады на ЭКГ, наличие желудочковой тахикардии (ЖТ) при суточном мониторировании ЭКГ по Холтеру и/или при проверке систем ИКД, потребность в выполнении радиочастотной абляции (РЧА), наличие хронической сердечной недостаточности (ХСН), наличие патогенных мутаций, а также наличие или отсутствие сопутствующего миокардита.
Методы регистрации исходов
Клиническое обследование. Всем пациентам проведены сбор жалоб и анамнеза, физикальное обследование, электрокардиография (ЭКГ) в 12 отведениях (использовались аппараты Schiller Cardiovit AT 101 и Marquette Mac 6), ЭхоКГ (с примененем аппаратов Acuson Sequoia С256 и General Electric Vivid 7), суточное мониторирование ЭКГ по Холтеру (с помощью техники Schiller МТ-100 и «Холтер ДМС МЭКГ-НС-02м»). При наличии ИКД осуществлялась проверка системы ИКД при помощи программатора соответствующего производителя (Medtronic, Biotronik, St. Jude Medical). МРТ сердца выполнена 53 (91,4%) пациентам с АД ПЖ и 60 (48%) с НКМ ЛЖ, МСКТ сердца — 18 (31%) пациентам с АД ПЖ и 89 (71,2%) с НКМ ЛЖ. Для выполнения МРТ сердца использовался томограф с напряженностью поля 1,5 Тл Siemens Magnetom Aera. При проведении МСКТ использовался 320-спиральный компьютерный томограф Toshiba Aquillion One.
Генетическое обследование. Поиск мутаций в выборке пациентов с сочетанием АД ПЖ + НКМ ЛЖ осуществляли методом высокопроизводительного полупроводникового секвенирования на платформе PGM IonTorrent (Thermo Fisher Scientific, USA) с использованием двух Ampliseq-панелей генов, дизайн которых был разработан в лаборатории медицинской генетики ФГБНУ РНЦХ им. акад. Б.В. Петровского. Панель генов АДПЖ включала 16 генов: PKP2, DSG2, DSP, DSC2, JUP, TMEM43, TGFB3, PLN, LMNA, DES, CTTNA3, EMD, SCN5A, LDB3, CRYAB, FLNC. Панель генов НКМ ЛЖ включала 10 генов: MYH7, MYBPC3, TAZ, TPM1, LDB3, MYL2, MYL3, ACTC1, TNNT2, TNNI3. Среднее покрытие кодирующих и прилежащих интронных областей исследуемых генов составило 91,9 и 95,5% для панелей АД ПЖ и НКМ ЛЖ соответственно. В одном образце ДНК (post-mortem) было проведено полноэкзомное секвенирование на приборе Illumina NovaSeq 6000 (Illumina Inc., USA). Валидацию генетических находок осуществляли методом прямого двунаправленного секвенирования по Сенгеру.
Для оценки потенциального клинического значения все выявленные генетические варианты с частотой минорного аллеля < 5%, указанной в базах данных Exome Sequencing Project, 1000 Genomes, ExAC, были охарактеризованы с использованием рекомендаций Американской коллегии медицинской генетики (ACMG) [12], Руководства по интерпретации данных, полученных методами массового параллельного секвенирования [13], литературных и биоинформатических данных.
Морфологическое исследование миокарда. Выполнено 6 больным из когорты АД ПЖ (4 — эндомиокардиальная биопсия ПЖ (ЭМБ), 2 — аутопсия). В когорте НКМ ЛЖ морфологическое исследование выполнено 23 пациентам (16 ЭМБ, 6 аутопсий (в том числе 1 после ЭМБ), 1 интраоперационная биопсия, 3 исследования эксплантированного сердца, в том числе 2 после ЭМБ). Проводились гистологическое исследование в световом микроскопе с окраской гематоксилин-эозином и пикрофуксином по Ван Гизону (для выявления соединительной ткани), по дополнительным показаниям — PAS-реакция с реактивом Шиффа (выявление гликогена и других сложных углеводов), окраска конго-рот на амилоид с исследованием препаратов в поляризующем свете, а также ПЦР-диагностика с целью определения в миокарде генома вирусов герпетической группы, парвовируса В19, в ряде случаев — вирусов гепатита В и С, аденовирусов для установления вирусной этиологии миокардита.
Комплексная диагностика миокардита. У большей части пациентов диагностика миокардита осуществлялась неинвазивным образом. Для этого использовался предложенный ранее алгоритм неинвазивной диагностики миокардита для больных с аритмическим вариантом и синдромом ДКМП. Алгоритм разработан на основе оценки значимости различных неинвазивных критериев в сопоставлении с данными морфологического исследования миокарда у 100 больных [14]. Важное значение в постановке диагноза имело наличие полной анамнестической триады (связь дебюта заболевания с перенесенной инфекцией, острое начало, давность заболевания менее года), системных иммунных проявлений, высоких титров антикардиальных антител, в качестве дополнительного признака использовалось отсроченное накопление контраста с субэпикардиальной локализацией при МРТ/МСКТ сердца.
Этическая экспертиза
Исследование одобрено Локальным комитетом по этике ФГАОУ ВО Первый МГМУ им. И.М. Сеченова Минздрава России (Сеченовский Университет) — протокол № 11-15 от 16.02.2015. Все больные подписали информированное согласие на участие в исследовании.
Статистический анализ
Методы статистического анализа данных. Статистическая обработка проводилась при помощи программы IBM SPSS Statistics v. 22. Дискретные данные представлены в виде распределения абсолютных значений и процентов. Непрерывные данные представлены в виде среднего арифметического ± среднеквадратичное отклонение в случае нормального распределения или в виде квартилей 50 [25, 75] в том случае, если распределение полученных значений отличается от нормального. Размер выборки предварительно не рассчитывался. Сравнение пациентов проводилось при помощи χ2, или точного теста Фишера, для категориальных дихотомических переменных, для остальных — при помощи U-теста Манна–Уитни. Для оценки различий при повторных измерениях использовался критерий Уилкоксона. Достоверными (статистически значимыми) считались различия при p < 0,05.
Результаты
Объекты (участники) исследования
В исследование вошли 58 пациентов с диагнозом АД ПЖ и 125 пациентов с диагнозом НКМ ЛЖ. Когорта пациентов с АД ПЖ состояла из 32 женщин и 26 мужчин (55,2 и 44,8% соответственно). Средний возраст больных составил 39,1 ± 14,2 года (от 18 до 79 лет). Достоверный диагноз АД ПЖ был установлен 37 (63,8%) пациентам, вероятный — 19 (32,8%), средний срок наблюдения составил 21,5 [6; 60] мес, от 1 мес до 19 лет. Cреди пациентов с НКМ ЛЖ преобладали мужчины (n = 74; 59,2%). Средний возраст больных — 46,4 ± 15,1 года (от 18 до 78 лет), средний срок наблюдения — 14 [3; 40] мес, от 1 мес до 10 лет. Медикаментозное лечение включало подбор оптимальной антиаритмической и кардиотропной терапии (бета-блокаторы, ингибиторы ангиотензинпревращающего фермента или антагонисты рецепторов к ангиотензину), назначение диуретиков при наличии клинических проявлений ХСН. Интервенционное лечение (при наличии показаний) включало выполнение у части больных радиочастотной аблации (РЧА) аритмогенного фокуса при частой мономорфной желудочковой экстрасистолии (ЖЭС) или устойчивой ЖТ и имплантацию ИКД.
Основные результаты исследования
Сочетание АД ПЖ и НКМ ЛЖ выявлено у 9 больных, что составило 15,5% пациентов в когорте АД ПЖ и 7,2% пациентов с НКМ ЛЖ.
Пациенты с сочетанием АД ПЖ и НКМ ЛЖ в сопоставлении с пациентами с изолированной АД ПЖ. Проведено сравнение пациентов с сочетанием АД ПЖ и НКМ ЛЖ и остальной частью больных из когорты с АД ПЖ (табл. 1). Пациентов с сочетанием АД ПЖ и НКМ ЛЖ отличали более агрессивные желудочковые нарушения ритма: частота ЖЭС за сутки у них была выше, достоверно чаще регистрировалась устойчивая ЖТ (рис. 1, Б), потребность в имплантации ИКД составила 44,4% против 18,4%. При этом адекватные срабатывания ИКД зарегистрированы у всех больных с АД ПЖ в сочетании с НКМ ЛЖ, в то время как частота адекватных срабатываний ИКД у пациентов изолированной АД ПЖ составила 55,5%. У больных с сочетанием АД ПЖ и НКМ ЛЖ в 2 раза чаще регистрировалось снижение вольтажа комплекса QRS на ЭКГ, что может указывать на более глубокое поражение миокарда и его электрическую неоднородность (рис. 1, А).
Рис. 1. ЭКГ пациентов с сочетанием аритмогенной дисплазии правого желудочка и некомпактного миокарда левого желудочка.
Скорость записи — 25 мм/с: А — фибрилляция предсердий, частая желудочковая экстрасистолия с морфологией блокады левой ножки пучка Гиса, низкий вольтаж комплексов QRS в стандартных отведениях, недостаточное нарастание зубца R в грудных отведениях, ε — волна в отведении V1; Б — пароксизм устойчивой желудочковой тахикардии с морфологией блокады левой ножки пучка Гиса и верхней осью
Таблица 1. Сравнительная характеристика пациентов с изолированными аритмогенной дисплазией правого желудочка, некомпактным миокардом левого желудочка и пациентов с сочетанием аритмогенной дисплазии правого желудочка и некомпактного миокарда левого желудочка
Параметр | АД ПЖ | p1 | АД ПЖ + НКМ ЛЖ | p2 | НКМ ЛЖ |
N | 49 | — | 9 | — | 116 |
ЖЭС, тыс./сут | 0,46 | <0,001 | |||
Пол, муж., % | 44,8 | 0,16 | 66,7 | 0,73 | 59,2 |
Возраст, лет | 39,1±14,2 | 0,44 | 40,9±7,6 | 0,32 | 46,4±15,1 |
Устойчивая ЖТ, % | 30,6 | 0,048 | 66,7 | <0,001 | 6,9 |
Снижение вольтажа комплекса QRS, % | 26,5 | 0,09 | 55,6 | 0,003 | 9,5 |
Гипертрофия ЛЖ, % | 2,0 | 0,85 | 0 | 0,011 | 37,1 |
АВ-блокада, % | 14,3 | 0,64 | 44,0 | 0,021 | 11,2 |
КДР ЛЖ, см (ЭхоКГ) | 5,1±0,7 | 0,001 | 6,0±0,6 | 0,98 | 6,1±0,9 |
КДО ЛЖ, мл (ЭхоКГ) | 107, 4±30,4 | 0,002 | 148,2±35,2 | 0,59 | 158,8±68,9 |
ФВ ЛЖ, % (ЭхоКГ) | 59,0±11,5 | <0,001 | 43,4±8,9 | 0,17 | 38,2±14,3 |
ПЗР ПЖ, см (ЭхоКГ) | 2,8±1,1 | 0,023 | 3,6±0,7 | 0,024 | 2,9±0,7 |
ПЖ КСР, см (МРТ) | 3,0±1,0 | 0,04 | 3,6±0,6 | —— | —— |
ПЖ КСО, мл (МРТ) | 77,4±28,3 | 0,008 | 125,0±32,3 | —— | —— |
ХСН, % | 36,7 | 0,027 | 77,8 | 0,47 | 83,6 |
ФК ХСН | 0 [0; 2] | 0,035 | 0,15 | 2 [1; 3] | |
Миокардит, % | 67,3 | 0,2 | 88,9 | 0,036 | 49,1 |
АНФ (титр) | 0 [0; 1:40] | 0,004 | 1:80–1:160 [0–1:40; 1:160] | 0,14 | 0 [0; 1:80] |
Примечание. р1 — уровень значимости различий между пациентами с изолированной АД ПЖ и пациентами с сочетанием АД ПЖ и НКМ ЛЖ; р2 — уровень значимости различий между пациентами с изолированным НКМ ЛЖ и пациентами с сочетанием АД ПЖ и НКМ ЛЖ; полужирным обозначены статистически значимые различия; АНФ — специфический антинуклеарный фактор (антитела к антигенам ядер кардиомиоцитов); АД ПЖ — аритмогенная дисплазия/кардиомиопатия правого желудочка; ЖТ — желудочковая тахикардия; ЖЭС — желудочковая экстрасистолия; КДО — конечный диастолический объем; КДР — конечный диастолический размер; КСО — конечный систолический объем; КСР — конечный систолический размер; ЛЖ — левый желудочек; НКМ ЛЖ — некомпактный миокард левого желудочка; ПЖ — правый желудочек; ПЗР — переднезадний размер; ФВ — фракция выброса; ФК — функциональный класс по NYHA; ХСН — хроническая сердечная недостаточность.
При оценке эффективности антиаритмической терапии (контрольное суточное мониторирование ЭКГ по Холтеру проведено 27 больным с изолированной АД ПЖ и 8 пациентам с сочетанием АД ПЖ и НКМ ЛЖ) у пациентов сизолированной АД ПЖ отмечалась достоверная положительная динамика как в отношении количества ЖЭС (16,8 [2, 8; 32, 2] vs 0,2 [0, 004; 3, 1] тыс./ сут; p < 0,001), так и в отношении частоты регистрации неустойчивой ЖТ (53,1% vs 4,1%; p = 0,001). При АД ПЖ в сочетании с НКМ ЛЖ достоверно снизилось только количество ЖЭС (23,6 [8, 7; 35, 6] vs 3,5 [1, 1; 7, 8] тыс./ сут; p = 0,017), достоверной положительной динамики в отношении неустойчивой ЖТ не отмечалось (77,8% vs 55,6%; p > 0,05). Устойчивая ЖТ при холтеровском мониторировании в динамике не регистрировалась ни у кого из пациентов обеих подгрупп. При сравнении количества ЖЭС и частоты неустойчивой ЖТ на фоне лечения между пациентами с изолированной АД ПЖ и с сочетанием АД ПЖ и НКМ ЛЖ желудочковые нарушения ритма регистрировались достоверно чаще у пациентов с сочетанием АД ПЖ и НКМ ЛЖ (ЖЭС — 0,2 [0, 004; 3, 1] vs 3,5 [1, 1; 7, 8] тыс./сут; p = 0,025; неустойчивая ЖТ — 4,1% vs 55,6%; p = 0,003 соответственно).
При анализе параметров, полученных при ЭхоКГ и МРТ сердца, отмечены достоверно большие размеры левого желудочка с достоверно более низкой его фракцией выброса (ФВ) у пациентов с сочетанием АД ПЖ и НКМ ЛЖ, что обусловлено наличием НКМ ЛЖ (рис. 2, 3). Клинически это отражается в виде вдвое большей частоты развития сердечной недостаточности и ее более высокого функционального класса, нежели чем у пациентов с изолированной АД ПЖ.
У пациентов с сочетанием АД ПЖ и НКМ ЛЖ чаще регистрировался сопутствующий миокардит (88,9% vs 67,3%). Уровень его серологической активности был достоверно выше, связь дебюта заболевания с перенесенной инфекцией отмечалась достоверно чаще, чем у пациентов с изолированной АД ПЖ (66,7% vs 36,7%; p = 0,021).
Пациенты с сочетанием АД ПЖ и НКМ ЛЖ в сопоставлении с пациентами с изолированным НКМ ЛЖ. Проведено аналогичное сравнение пациентов с сочетанием АД ПЖ и НКМ ЛЖ с остальной частью когорты больных с НКМ ЛЖ (см. табл. 1). У больных с сочетанием АД ПЖ и НКМ ЛЖ обращала на себя внимание частая ЖЭС, которая встречалась достоверно реже у пациентов с изолированным НКМ ЛЖ. Кроме того, устойчивая ЖТ регистрировалась у двух третей больных с сочетанием АД ПЖ и НКМ ЛЖ, что практически в 10 раз чаще, чем у пациентов с изолированным НКМ ЛЖ. На ЭКГ у пациентов с сочетанием АД ПЖ и НКМ ЛЖ достоверно чаще отмечалось снижение вольтажа комплекса QRS и не было признаков гипертрофии ЛЖ, в отличие от пациентов с изолированным НКМ ЛЖ, где они отмечены более чем у трети пациентов. АВ-блокада также достоверно чаще регистрировалась у пациентов с сочетанием АД ПЖ и НКМ ЛЖ.
При оценке ЭхоКГ-параметров достоверных отличий по размерам ЛЖ и его систолической функции не получено. У пациентов с сочетанием АД ПЖ и НКМ ЛЖ был достоверно больший переднезадний размер ПЖ.
Сопутствующий миокардит достоверно чаще встречался у пациентов с сочетанием АД ПЖ и НКМ ЛЖ. Каких-либо особенностей его клинического течения по сравнению с пациентами с изолированным НКМ ЛЖ не выявлено.
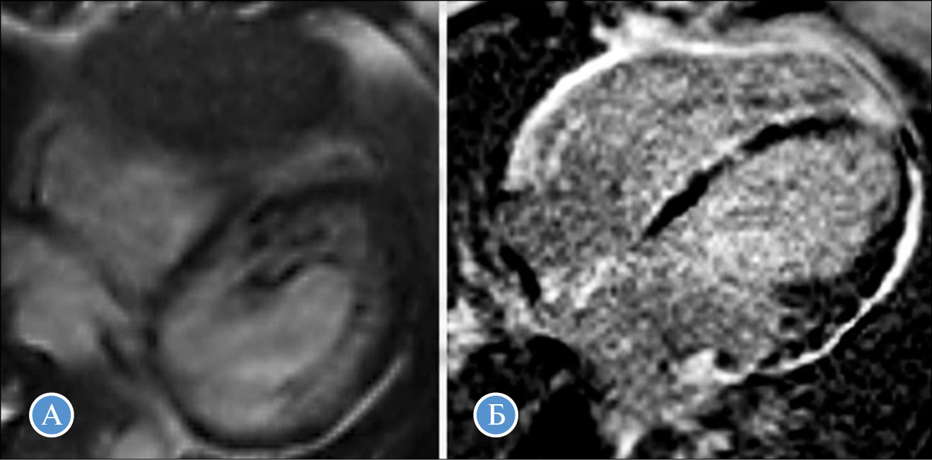
Рис. 2. МРТ сердца пациентки с сочетанием аритмогенной дисплазии правого желудочка и некомпактного миокарда левого желудочка и мутацией c.1141-2A>G в гене DSP (пробанд № 4).
А — некомпактный слой миокарда левого желудочка; Б — выраженная дилатация правого желудочка и отсроченное контрастирование в миокарде обоих желудочков и межжелудочковой перегородке со стороны правого желудочка (сопутствующий миокардит, верифицированный с помощью биопсии миокарда). Исследование выполнено в НЦССХ им. А.Н. Бакулева
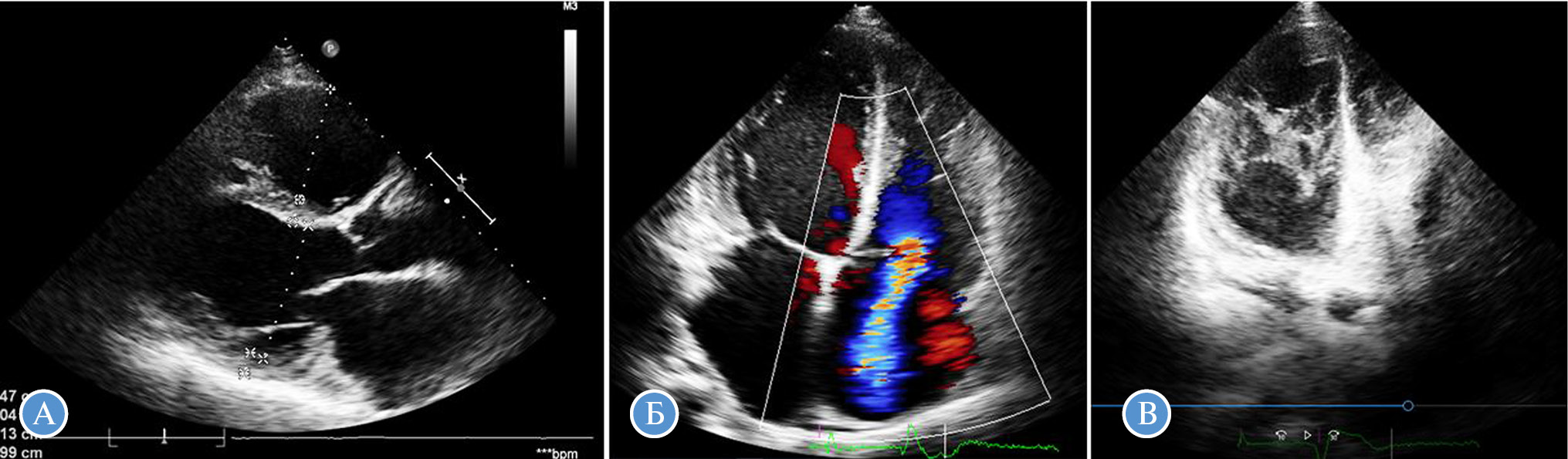
Рис. 3. ЭхоКГ пациента с сочетанием аритмогенной дисплазии правого желудочка и некомпактного миокарда левого желудочка (пробанд № 2).
А — дилатация левого желудочка и правого желудочка (конечный диастолический размер ЛЖ — 6,1 см, переднезадний размер правого желудочка — 5,0 см); Б — выраженная трикуспидальная регургитация; В — некомпактный слой в левом желудочке
Результаты проведенной ДНК-диагностики у пациентов с сочетанием АД ПЖ и НКМ ЛЖ. Всем пациентам с сочетанием АД ПЖ и НКМ ЛЖ был проведен поиск генетических вариантов в двух таргетных панелях, включающих последовательности кодирующих и прилежащих интронных областей 26 генов: PKP2, DSG2, DSP, DSC2, JUP, TMEM43, TGFB3, PLN, LMNA, DES, CTTNA3, EMD, SCN5A, LDB3, CRYAB, FLNC, MYH7, MYBPC3, TAZ, TPM1, LDB3, MYL2, MYL3, ACTC1, TNNT2, TNNI3. В отсутствие мутаций в таргетных панелях для одного образца ДНК пациента (post-mortem) было проведено полноэкзомное секвенирование с последующим анализом полученных результатов.
Потенциально патогенные варианты (IV–V классов патогенности) и варианты неясного клинического значения (VUCSes, III класс патогенности) в нашей выборке пациентов были обнаружены как в десмосомных генах, мутации в которых типичны для АД ПЖ, так и в недесмосомных генах, мутации в которых типичны для других форм первичных КМП (табл. 2).
Таблица 2. Результаты ДНК-диагностики у пациентов с сочетанием аритмогенной дисплазии правого желудочка и некомпактного миокарда левого желудочка
Номер пробанда | Диагноз АД ПЖ до проведения ДНК-диагностики | Выявленные варианты IV–V классов патогенности | Выявленные варианты III класса патогенности* |
1 | Достоверный | — | — |
2 | Достоверный | — | DSC2 c.1436G>A (p.R479H) |
3. | Достоверный | — | DSP c.2622C>G (p.I874M) |
4 | Достоверный | DSP c.1141-2A>G | - |
5 | Возможный | MYBPC3 c.3697C>T (p.Q1233) | MYH7 c.709C>T (p.R237W); LDB3 c.1051A>G (p.T351A) |
6 | Вероятный | MYH7 c.728G>A (p.R243H) | — |
7 | Достоверный | — | — |
8 | Достоверный | DSP c.3582delinsAATATAGT | — |
9 | Достоверный | — | TTN c.86160A>T (p.E28720D) |
* Варианты неясного клинического значения (VUCSes).
Рис. 4. Результаты секвенирования пробанда № 6 с сочетанием аритмогенной дисплазии правого желудочка и некомпактного миокарда левого желудочка и выявленной мутацией c.728G>A (p.R243H) в гене MYH7.
A — визуализация генетического варианта в программе Integrative Genomics Viewer; Б — фрагмент прямого секвенирования по Сенгеру последовательности экзона 8 гена MYH7, подтверждающий наличие мутации c.728G>A (p.R243H)
Варианты IV–V классов патогенности были выявлены у 4 пробандов как в генах десмосом (ген DSP), так и в саркомерных генах MYH7 (рис. 4) и MYBPC3. Фенотип пациента с сочетанием АД ПЖ и НКМ ЛЖ и выявленными генетическим вариантами в генах саркомерных белков (пробанд № 5) был подробно описан статье 2016 г. [15].
Кроме потенциально патогенных вариантов, у пробандов были выявлены варианты неясного клинического значения (VUCSes, III класс патогенности) как в десмосомных (DSP, DSC2), так и в недесмосомных (MYH7, LDB3, TTN) генах.
Были также выявлены, вероятно, доброкачественные генетические варианты I–II классов патогенности, которые в настоящей работе не приводятся.
По результатам полноэкзомного секвенирования образца умершего пациента (пробанд № 9) был выявлен вариант неясного клинического значения c.86160A>T (p.E28720D) в гене TTN, оценка функциональной значимости которого требует дополнительного исследования.
С учетом выявленных вариантов III–V классов патогенности диагностический «выход» проведенной ДНК-диагностики в группе пробандов составил 78%.
Конечные точки исследования. Показатели летальности, выполнения трансплантации сердца и частоты имплантации ИКД достоверно не отличались между собой (табл. 3). Тем не менее частота оправданных срабатываний ИКД была выше у пациентов с сочетанием АД ПЖ и НКМ ЛЖ.
Среди пациентов с сочетанием АД ПЖ и НКМ ЛЖ умер 1 больной с явлениями тяжелой бивентрикулярной ХСН. Больному за 4,5 года до смерти по поводу нарушений проводимости и синдрома слабости синусового узла был имплантирован электрокардиостимулятор, который в связи со снижением ФВ < 35%, резистентными к медикаментозной терапии нарушениями ритма было настоятельно рекомендовано заменить на CRT-D, от чего больной отказался, как и от трансплантации сердца. В памяти кардиостимулятора этого больного был зафиксирован эпизод фатальной ФЖ, которая и послужила непосредственной причиной смерти больного (рис. 5). Одному пациенту с сочетанием АД ПЖ и НКМ ЛЖ была выполнена трансплантация сердца по поводу рефрактерной ХСН.
Среди пациентов с изолированной АД ПЖ зарегистрировано 6 летальных исходов: 2 умерли внезапно, 2 — вследствие терминальной ХСН, у 1 причиной смерти стало острое нарушение мозгового кровообращения и у 1 — онкологическое заболевание. В когорте пациентов с изолированным НКМ ЛЖ умерло 16 пациентов: ведущими причинами смерти были терминальная ХСН (n = 8) и внезапная аритмическая смерть (n = 5). Один летальный исход наступил вследствие эмболического инфаркта миокарда и инсульта, один — в результате ОНМК, еще один — после трансплантации сердца. Трансплантация сердца выполнена 6 пациентам (5 — по поводу терминальной ХСН и 1 — в связи с массивным внутрисердечным тромбозом на фоне некурабельной мерцательной тахиаритмии).
Таблица 3. Конечные точки исследования у пациентов с изолированными аритмогенной дисплазией правого желудочка, некомпактным миокардом левого желудочка и пациентов с сочетанием аритмогенной дисплазии правого желудочка и некомпактного миокарда левого желудочка
Параметр | АД ПЖ | p1 | АД ПЖ + НКМ ЛЖ | p2 | НКМ ЛЖ |
Летальность, n (%) | 6 (12,2) | 0,7 | 1 (11,1) | 0,65 | 16 (13,8) |
Остановка сердца, n (%) | 1 (2) | 0,06 | 2(22,2) | — | — |
Трансплантация сердца, n (%) | 0 | 0,15 | 1 (11,1) | 0,33 | 6 (5,2) |
Имплантация ИКД, n (%) | 9 (18,4) | 0,1 | 4 (44,4) | 0,24 | 32 (27,6) |
Адекватные срабатывания ИКД, n (%) | 5 (55,5) | 0,18 | 4 (100,0) | 0,008 | 8 (25,0) |
Примечание. p1 — уровень значимости различий между сочетанием АД ПЖ + НКМ ЛЖ и изолированной АД ПЖ; p2 — уровень значимости различий между сочетанием АД ПЖ + НКМ ЛЖ и изолированным НКМ ЛЖ; полужирным обозначены статистически значимые различия; АД ПЖ — аритмогенная дисплазия/кардиомиопатия правого желудочка; ИКД — имплантируемый кардиовертер-дефибриллятор; НКМ ЛЖ — некомпактный миокард левого желудочка.
Рис. 5. Препараты миокарда умершего пациента с сочетанием аритмогенной дисплазии правого желудочка и некомпактного миокарда левого желудочка (пробанд № 9).
А — макропрепарат левого желудочка: выраженная сеть трабекул (некомпактный слой миокарда); Б — макропрепарат правого желудочка: выраженная дилатация, предсердный и желудочковые электроды электрокардиостимулятора; В — микропрепарат миокарда левого желудочка, окраска гематоксилин-эозином, большое увеличение: явления липоматоза, межуточные и периваскулярные лимфогистиоцитарные инфильтраты (более 14 клеток в поле зрения) как признак вирусного миокардита; Г — микропрепарат миокарда правого желудочка, окраска гематоксилин-эозином, малое увеличение: обширные поля жировой ткани, занимающие до 60–70% площади кусочка, в сочетании с выраженным фиброзом интерстиция и образованием соединительнотканных септ в миокарде (фиброзно-жировое замещение как критерий аритмогенной дисплазии правого желудочка)
ИКД были имплантированы 4 (44,4%) пациентам в группе с сочетанием АД ПЖ и НКМ ЛЖ, 9 (18,4%) пациентам с изолированной АД ПЖ и 32 (27,6%) пациентам с изолированным НКМ ЛЖ. Частота адекватных срабатываний ИКД среди пациентов с имплантированными устройствами составила 100; 55,5 и 25% соответственно. Неадекватные срабатывания отмечены у 1 (25%) пациента с сочетанием АД ПЖ и НКМ ЛЖ и у 18 (56,3%) пациентов с изолированным НКМ ЛЖ.
РЧА была выполнена 2 (22,2%) пациентам с сочетанием АД ПЖ и НКМ ЛЖ по поводу резистентных к терапии желудочковых нарушений ритма: пациентке с саркомерной кардиомиопатией (мутации в генах MYH7 и MYBPC3) и больному с сочетанием двух вариантов с неясным клиническим значением в генах DSP и TMEM4. Обоим пациентам РЧА выполнялась дважды (повторная РЧА второму пациенту — комбинированным эндо- и эпикардиальным доступом), и обе процедуры не дали полного антиаритмического эффекта. Среди пациентов с изолированной АД ПЖ РЧА по поводу желудочковых нарушений ритма проведена 13 (26,5%), из них 3 больным процедура выполнялась повторно. Полный антиаритмический эффект был достигнут у 8 больных, еще у 1 пациента РЧА была эффективна в отношении ЖТ, однако неполный эффект наблюдался в отношении ЖЭС. Еще 2 пациентам была проведена РЧА по поводу трепетания предсердий (у 1 она была эффективна). В когорте больных с изолированным НКМ ЛЖ РЧА выполнена 4 пациентам (1 пациенту — изоляция легочных вен, 1 — аблация АВ-соединения по поводу мерцательной аритмии, 1 — аблация дополнительного предсердно-желудочкового соединения, 1 — РЧА эктопического очага по поводу частой ЖЭС). В первых трех случаях процедура была эффективна, а у пациента с ЖЭС экстрасистолия сохранялась.
Дополнительные результаты исследования
Признаки, позволяющие заподозрить наличие сочетания АД ПЖ и НКМ ЛЖ. Для того чтобы выявить признаки, которые повышают вероятность сочетания этих двух кардиомиопатий, нами был проведен ROC-анализ с последующей оценкой чувствительности (Ч), специфичности (С), а также положительной (ППЦ) и отрицательной (ОПЦ) предсказательной ценности.
Среди пациентов с АД ПЖ наиболее значимым признаком, позволяющим предполагать наличие НКМ ЛЖ, стал КДР ЛЖ ≥ 5,65 см (AUC = 0,8; p = 0.004; Ч = 77,8%; C = 83%; ППЦ = 46,7%; ОПЦ = 95,1%).
Среди больных с НКМ ЛЖ признаками, позволяющими подозревать наличие сочетания с АД ПЖ, стали частая ЖЭС более 3000/сут (AUC = 0,7; p = 0,05; Ч = 66,7%; C = 72,7%; ППЦ = 16,7%; ОПЦ = 96,4%) и устойчивая ЖТ (AUC = 0,74; p = 0,016; Ч = 55,6%; C = 93,0%; ППЦ = 38,5%; ОПЦ = 96,3%).
Нежелательные явления
Поскольку всем пациентам индивидуально подбирались оптимальная антиаритмическая, кардиотропная и диуретическая терапия, а также персонализированно определялась необходимость в интервенционном лечении, частота нежелательных явлений была минимальна. У 2 из 9 пациентов с сочетанием АД ПЖ и НКМ ЛЖ развился амиодарон-индуцированный тиреотоксикоз, что потребовало замены амиодарона на соталекс и увеличения дозы метилпреднизолона, который пациенты получали ранее в небольших дозах в рамках базисной терапии миокардита, а также назначения тиреостатиков. В дальнейшем у обоих пациентов достигнут эутиреоидный статус.
Обсуждение
Резюме основного результата исследования
В нашем исследовании продемонстрировано, что случаи сочетания АД ПЖ и НКМ ЛЖ не являются единичными и отмечены у 15,5% пациентов в когорте АД ПЖ и 7,2% пациентов с НКМ ЛЖ. Эти пациенты принципиально отличаются от больных с изолированным АД ПЖ или с изолированным НКМ ЛЖ. Для них типичны агрессивные, резистентные к терапии желудочковые нарушения ритма, что влияет на выбор антиаритмических препаратов и требует особого подхода при стратификации риска ВСС во время отбора пациентов на имплантацию ИКД. Еще одной особенностью больных со смешанной кардиомиопатией является более высокая, чем при изолированных формах, частота сопутствующего миокардита.
Обсуждение основного результата исследования
Сочетание АД ПЖ с НКМ ЛЖ является совершенно особой клинической формой кардиомиопатии. В литературе удалось обнаружить лишь немногие публикации: группой турецких ученых в 2006 и 2015 гг. описаны два случая у молодых мужчин (во втором наличие НКМ ЛЖ подтверждено только при ЭхоКГ) [16, 17]; итальянцами описан один случай (женщине выполнена трансплантация сердца в связи с тяжелой ХСН) [18]. В работе из Варшавы 2009 г. описываются 9 пациентов с признаками АД ПЖ, у которых позже был диагностирован НКМ ЛЖ, имитировавший (?) клинику АД ПЖ [19]. Эта публикация вызвала целый ряд вопросов, в том числе у J. Finsterer и C. Stöllberger [20]: неясны критерии диагностики НКМ ЛЖ при МРТ, частота подтверждения НКМ ЛЖ при ЭхоКГ и при МРТ; наличие НКМ ЛЖ не объясняет дилатацию ПЖ у всех 9 пациентов, отсутствуют данные ДНК-диагностики. Возможно, у части пациентов имелось истинное сочетание АД ПЖ с НКМ ЛЖ, которого авторы не допускают. Имеются публикации о сочетании АД ПЖ с НКМ ПЖ (однако критерии последнего не разработаны, повышенная трабекулярность ПЖ может носить вторичный характер) [21, 22] и сочетании левожелудочковой формы АД ПЖ с НКМ ЛЖ [23].
Ключом к понимаю сути подобных сочетаний может стать уточнение их генетической природы. Ученые из Испании выявили новую терминирующую мутацию c.1339C>T в гене DSP у 3 пробандов и 15 членов семей пациентов с АД ПЖ с преимущественным поражением ЛЖ: у 5 из них выявлен НКМ ЛЖ. Они делают вывод о том, что данная мутация в гене DSP ассоциирована с сочетанием АД ПЖ и НКМ ЛЖ [24]. Однако вызывает вопросы достоверность диагнозов как АД ПЖ, так и НКМ ЛЖ в этой работе [25]. В нашей выборке больных генетические варианты в гене DSP были выявлены у 3 пациентов с достоверным диагнозом АД ПЖ в сочетании с НКМ ЛЖ: 2 потенциально патогенных варианта, 1 вариант неясного клинического значения.
У ребенка от родителей-родственников с НКМ ЛЖ и рефрактерной ХСН, приведшей к гибели в возрасте 12 дней, выявлена гомозиготная делеция в десмосомном гене PKP2, однако при аутопсии подтверждено лишь наличие НКМ ЛЖ без признаков АД ПЖ [26]. Наличие подобных перекрестных фенотипов говорит о том, что генетика кардиомиопатий гораздо сложнее, чем изначально представлялось, и один ген может отвечать сразу за несколько кардиомиопатий [27]. В подтверждение этого факта в нашей группе пациентов с сочетанием АД ПЖ и НКМ ЛЖ были обнаружены мутации как в десмосомных генах, типичных для АД ПЖ, так и в саркомерных генах.
Среди наших 9 пациентов с сочетанием АД ПЖ и НКМ ЛЖ диагноз АД ПЖ является достоверным у 6, вероятным — у 2 и возможным — у 1, наличие НКМ ЛЖ не вызывает сомнений ни у одного из этих больных (подтверждено, как минимум, двумя методами визуализации). Ряд характерных особенностей отличает этих пациентов от больных с изолированными формами АД ПЖ и НКМ ЛЖ: это в первую очередь агрессивные желудочковые нарушения ритма (частая ЖЭС, устойчивая ЖТ с достоверно худшим эффектом антиаритмической терапии в сравнении с изолированной АД ПЖ, адекватные срабатывания ИКД у 100% больных). От пациентов с изолированным НКМ ЛЖ больных с сочетанием АД ПЖ и НКМ ЛЖ отличали также увеличение ПЖ по данным ЭхоКГ, снижение вольтажа QRS на ЭКГ, наличие АВ-блокады, отсутствие признаков гипертрофии ЛЖ на ЭКГ. Дилатация ЛЖ со снижением его ФВ отличала пациентов со смешанной кардиомиопатией от больных с АД ПЖ, хотя она может быть следствием бивентрикулярного поражения в рамках АД ПЖ. Дополнительным указанием на возможность НКМ ЛЖ у больных с АД ПЖ и поражением ЛЖ должно, вероятно, служить обнаружение мутаций в гене DSP.
Потенциально патогенные варианты (IV–V классов патогенности) и варианты неясного клинического значения (VUCSes, III класс патогенности) в нашей группе больных были обнаружены как в десмосомных, так и в недесмосомных генах. Диагностический «выход» проведенной ДНК-диагностики составил 78%, что подчеркивает целесообразность секвенирования двух таргетных панелей генов. В случае невыявленных мутаций при исследовании панелей генов мы рекомендуем проведение полноэкзомного секвенирования.
Важной особенностью пациентов с сочетанием АД ПЖ и НКМ ЛЖ стало более частое, чем при изолированных формах, обнаружение сопутствующего миокардита, который также приводит к усугублению систолической дисфункции и аритмий. Очевидно, это обусловлено тем, что «вдвойне» генетически неполноценный миокард является особенно благоприятной мишенью для присоединения миокардита. Целесообразна активная диагностика миокардита у этих больных с его последующим лечением.
Самый важный момент в ведении пациентов — профилактика ВСС: все больные с сочетанием АД ПЖ и НКМ ЛЖ находятся в группе высокого риска. Необходимо проводить тщательную стратификацию риска ВСС и в неоднозначных случаях принимать решение в пользу имплантации ИКД. Возможно, сам диагноз сочетания АД ПЖ и НКМ ЛЖ, тем более генетически верифицированный, должен рассматриваться как показание к имплантации. Проявления ХСН у пациентов с сочетанием АД ПЖ и НКМ ЛЖ и у больных с изолированным НКМ ЛЖ мало отличались — это говорит о том, что симптомы ХСН обусловлены в первую очередь именно наличием НКМ ЛЖ. Для лечения проявлений ХСН целесообразно придерживаться стандартных схем.
Ограничения исследования
Основным ограничением исследования является относительно небольшое количество пациентов с сочетанием АД ПЖ и НКМ ЛЖ, что делает невозможным эффективное выполнение регрессионного анализа для расчета предикторов неблагоприятных исходов. Пока как о факторе, повышающем риск неблагоприятных исходов, можно в первую очередь говорить о самом факте наличия у больного сочетания этих двух кардиомиопатий. Поэтому, на наш взгляд, важная задача — продолжение набора больных в рамках данного исследования и расчет конкретных предикторов развития жизнеугрожающих нарушений ритма на большей выборке пациентов и при длительных сроках наблюдения.
Еще одним ограничением исследования может считаться сочетание ретроспективных данных пациентов с данными, полученными при проспективном наблюдении. Однако пациенты были исходно сопоставимы между собой, поскольку при включении их в исследование в 2015 г. проводилась переоценка диагностических критериев АД ПЖ и НКМ ЛЖ и в исследование вошли только больные, удовлетворяющие действующим критериям диагностики этих заболеваний. Использование ретроспективных данных позволило отследить наличие исходов за существенно больший период наблюдения, нежели тот, который был бы доступен для анализа только при проспективной части исследования.
Заключение
Сочетание АД ПЖ и НКМ ЛЖ встречается чаще, чем принято считать (отмечено у 15,5% пациентов с АД ПЖ и 7,2% больных с НКМ ЛЖ), и обладает характерными особенностями. К ним относятся агрессивные, резистентные к терапии желудочковые нарушения ритма (частая ЖЭС, устойчивая ЖТ), приводящие к адекватным срабатываниям ИКД, и высокий риск ВСС. Сочетание АД ПЖ и НКМ ЛЖ может быть обусловлено одной и более мутациями как в десмосомных, так и в недесмосомных генах. У пациентов с АД ПЖ наличие НКМ ЛЖ позволяют заподозрить мутации в гене DSP, дилатацию ЛЖ более 5,65 см со снижением его ФВ, неполный эффект от антиаритмической терапии. В этих случаях необходим прицельный анализ ЭхоКГ, МРТ и МСКТ. У больных с НКМ ЛЖ задуматься о возможной АД ПЖ следует при выявлении частой, более 3000/сут, ЖЭС, устойчивой ЖТ, АВ-блокады, снижения вольтажа комплекса QRS и дилатации ПЖ. При наличии подобных признаков целесообразен активный поиск критериев АД ПЖ. При ведении пациентов с сочетанием АД ПЖ и НКМ ЛЖ следует уделять особое значение профилактике ВСС, лечению ХСН, а также выявлению и лечению сопутствующего миокардита.
Дополнительная информация
Участие авторов. Ю.А. Лутохина — набор и ведение пациентов с изолированной АД ПЖ и сочетанием АД ПЖ и НКМ ЛЖ, выполнение статистического анализа, анализ полученных данных, написание основного текста статьи; О.В. Благова — руководство исследованием, набор и ведение пациентов с изолированными АД ПЖ и НКМ ЛЖ, с сочетанием АД ПЖ и НКМ ЛЖ, анализ полученных данных, работа с текстом статьи; А.Г. Шестак — разработка параметров генетического обследования пациентов, выполнение ДНК-диагностики, анализ полученных результатов, работа с текстом статьи; М.Е. Поляк — выполнение ДНК-диагностики, анализ полученных результатов, работа с текстом статьи; А.А. Букаева — выполнение ДНК-диагностики, анализ полученных результатов, работа с текстом статьи; Е.В. Заклязьминская — медико-генетическое консультирование пациентов, интерпретация результатов ДНК-диагностики, руководство процессом генетического обследования пациентов, работа с текстом статьи; Н.В. Вариончик — набор и ведение пациентов с изолированным НКМ ЛЖ, анализ полученных данных, работа с текстом статьи; В.П. Седов — выполнение пациентам ЭхоКГ, работа с текстом статьи; Е.А. Коган — выполнение морфологического исследования миокарда пациентам, работа с текстом статьи; С.А. Александрова — выполнение МРТ сердца пациентам, консультация по данным CD-дисков с записью проведенных ранее исследований, работа с текстом статьи; А.В. Недоступ — руководство исследованием, набор и ведение пациентов с изолированными АД ПЖ и НКМ ЛЖ, с сочетанием АД ПЖ и НКМ ЛЖ, анализ полученных данных, работа с текстом статьи.
About the authors
Yu. A. Lutokhina
I.M. Sechenov First Moscow State Medical University (Sechenov University)
Author for correspondence.
Email: lebedeva12@gmail.com
ORCID iD: 0000-0002-7154-6794
SPIN-code: 7061-5028
MD, PhD
Russian Federation, MoscowO. V. Blagova
I.M. Sechenov First Moscow State Medical University (Sechenov University)
Email: blagovao@mail.ru
ORCID iD: 0000-0002-5253-793X
SPIN-code: 7672-5142
MD, PhD
Russian Federation, MoscowA. G. Shestak
B.V.Petrovsky Russian Research Center of Surgery
Email: anna.shestak87@gmail.com
ORCID iD: 0000-0002-4596-8950
SPIN-code: 2301-9841
Russian Federation, Moscow
M. Е. Polyak
B.V.Petrovsky Russian Research Center of Surgery
Email: AmetaNe@yandex.ru
ORCID iD: 0000-0003-4923-1945
SPIN-code: 8278-4758
Russian Federation, Moscow
A. A. Bukaeva
B.V.Petrovsky Russian Research Center of Surgery
Email: 16_anna_02@mail.ru
ORCID iD: 0000-0002-5932-1744
SPIN-code: 9225-7084
Russian Federation, Moscow
E. V. Zaklyazminskaya
B.V.Petrovsky Russian Research Center of Surgery;Pirogov Russian National Research Medical University
Email: helenezak@gmail.com
ORCID iD: 0000-0002-6244-9546
SPIN-code: 9080-7523
MD, PhD, Professor
Russian Federation, MoscowN. V. Varionchik
I.M. Sechenov First Moscow State Medical University (Sechenov University)
Email: vanadya@gmail.com
ORCID iD: 0000-0002-8868-0623
SPIN-code: 3114-5637
Russian Federation, Moscow
V. P. Sedov
I.M. Sechenov First Moscow State Medical University (Sechenov University)
Email: vps52@mail.ru
ORCID iD: 0000-0003-2326-9347
SPIN-code: 8713-6849
MD, PhD, Professor
Russian Federation, MoscowE. A. Kogan
I.M. Sechenov First Moscow State Medical University (Sechenov University)
Email: koganevg@gmail.com
ORCID iD: 0000-0002-1107-3753
SPIN-code: 2709-2449
MD, PhD, Professor
Russian Federation, MoscowS. А. Alexandrova
A.N. Bakoulev Center for Cardiovascular Surgery
Email: svaleksandrova@yandex.ru
ORCID iD: 0000-0002-7795-9709
SPIN-code: 3480-0720
MD, PhD
Russian Federation, MoscowA. V. Nedostup
I.M. Sechenov First Moscow State Medical University (Sechenov University)
Email: avnedostup@mail.ru
ORCID iD: 0000-0002-5426-3151
SPIN-code: 9175-5816
MD, PhD, Professor
Russian Federation, MoscowReferences
- Corrado D, Wichter T, Link MS, et al. Treatment of arrhythmogenic right ventricular cardiomyopathy/ dysplasia: an international task force consensus statement. Eur Heart J. 2015;36:3227–3237. doi: https://doi.org/10.1093/eurheartj/ehv162
- Peters S, Trümmel M, Meyners W. Prevalence of right ventricular dysplasia-cardiomyopathy in a non-referral hospital. International Journal of Cardiology. 2004;97(3):499–501. doi: https://doi.org/10.1016/j.ijcard.2003.10.037
- Azaouagh A, Churzidse S, Konorza T, Erbel R. Arrhythmogenic right ventricular cardiomyopathy/dysplasia: a review and update. Clin Res Cardiol. 2011;100(5):383–394. doi: https://doi.org/10.1007/s00392-011-0295-2
- Chin TK, Perloff JK, Williams RG, et al. Isolated noncompaction of left ventricular myocardium. A study of eight cases. Circulation. 1990;82(2):507–513. doi: https://doi.org/10.1161/01.cir.82.2.507
- Elliott P, Andersson B, Arbustini E, et al. Classification of the cardiomyopathies: a position statement from the European Society of Cardiology Working Group on Myocardial and Pericardial Diseases. Eur Heart J. 2008;29(2):270–276. doi: https://doi.org/10.1093/eurheartj/ehm342
- Oechslin EN, Attenhofer Jost CH, Rojas JR, et al. Long-term follow-up of 34 adults with isolated left ventricular noncompaction: a distinct cardiomyopathy with poor prognosis. J Am Coll Cardiol. 2000;36(2):493–500. doi: https://doi.org/10.1016/s0735-1097(00)00755-5
- Nugent AW, Daubeney PE, Chondros P, et al. The epidemiology of childhood cardiomyopathy in Australia. N Engl J Med. 2003;348:1639–1646. doi: https://doi.org/10.1056/NEJMoa021737
- Marcus F, McKenna W, Sherrill D, et al. Diagnosis of arrhythmogenic right ventricular cardiomyopathy/dysplasia. Eur Heart J. 2010;31:806–814. doi: https://doi.org/10.1161/CIRCULATIONAHA.108.840827
- Jenni R, Oechslin E, van der Loo B. Isolated ventricular noncompaction of the myocardium in adults. Heart. 2007;93(1):11–15. doi: https://doi.org/10.1136/hrt.2005.082271
- Petersen SE, Selvanayagam JB, Wiesmann F, et al. Left ventricular non-compaction: insights from cardiovascular magnetic resonance imaging. J Am Coll Cardiol. 2005;46(1):101–105. doi: https://doi.org/10.1016/j.jacc.2005.03.045
- Stöllberger C, Finsterer J. Left ventricular hypertrabeculation/noncompaction. J Am Soc Echocardiogr. 2004;17(1):91–100. doi: https://doi.org/10.1016/S0894-7317(03)00514-5
- Richards S, Aziz N, Bale S, et al. Standards and guidelines for the interpretation of sequence variants: a joint consensus recommendation of the American College of Medical Genetics and Genomics and the Association for Molecular Pathology. Genet Med. 2015;17(5):405–424. doi: https://doi.org/10.1038/gim.2015.30
- Рыжкова О.П., Кардымон О.Л., Прохорчук Е.Б., и др. Руководство по интерпретации данных, полученных методами массового параллельного секвенирования (MPS) // Медицинская генетика. — 2017. — Т. 16. — № 7. — С. 4–17. [Ryzhkova OP, Kardymon OL, Prohorchuk EB, et al. Guide lines for the interpretation of massive parallelse quencing variants. Medical Genetics. 2017;16(7):4–17. (In Russ.)]
- Благова О.В., Осипова Ю.В., Недоступ А.В., и др. Клинические, лабораторные и инструментальные критерии миокардита, установленные в сопоставлении с биопсийным исследованием миокарда (алгоритм неинвазивной диагностики) // Терапевтический архив. — 2017. — Т. 89. — № 9. — С. 30–40. [Blagova OV, Osipova YuV, Nedostup AV, et al. Qinical, laboratory and instrumental criteria for myocarditis, established in comparison with myocardial biopsy: A non-invasive diagnostic algorithm. Therapeutic archive. 2017;89(9):30–40. (In Russ.)] doi: https://doi.org/10.17116/terarkh201789930-40
- Поляк М.Е., Букаева А.А., Шестак А.Г., и др. Сочетание двух мутаций у больной с аритмической формой синдрома некомпактного миокарда левого желудочка // Российский кардиологический журнал. — 2016. — Т. 10. — № 138. — С. 98–104. [Polyak МЕ, Bukaeva АА, Shestak АG, et al. Two mutations concomitance in female patient with arrhythmic type of non-compaction myocardium syndrome. Russian Journal of Cardiology. 2016;10(138):98–104. (In Russ.)] doi: https://doi.org/10.15829/1560-4071-2016-10-98-104
- Aras D, Ozeke O, Cay S, et al. Arrhythmogenic Noncompaction Cardiomyopathy: Is There an Echocardiographic Phenotypic Overlap of Two Distinct Cardiomyopathies? J Cardiovasc Ultrasound. 2015;23(3):186–190. doi: https://doi.org/10.4250/jcu.2015.23.3.186
- Tufekcioglu O, Aras D, Sahin O, et al. Two cardiomyopathies in one heart. Echocardiography. 2006;23(6):519–521. doi: https://doi.org/10.1111/j.1540-8175.2006.00253.x
- Ruperto C, Minà C, Brun F, et al. Arrhythmogenic cardiomyopathy with biventricular involvement and noncompaction. J Cardiovasc Med. 2016;17(Suppl 2):244–246. doi: https://doi.org/10.2459/JCM.0000000000000242
- Wlodarska EK, Wozniak O, Konka M, et al. Isolated ventricular noncompaction mimicking arrhythmogenic right ventricular cardiomyopathy — a study of nine patients. Int J Cardiol. 2010;145(1):107–111. doi: https://doi.org/10.1016/j.ijcard.2009.05.062
- Stöllberger C, Finsterer J. Morphology does not always explain pathogenesis. Intensive cardiac, neurologic, and genetic investigations are required for noncompaction. Int J Cardiol. 2010;145(2):254–255. doi: https://doi.org/10.1016/j.ijcard.2009.08.017
- Song ZZ. A combination of right ventricle hypertrabeculation/noncompaction and arrhythmogenic right ventricular cardiomyopathy. Cardiovasc Ultrasound. 2008;6:63. doi: https://doi.org/10.1186/1476-7120-6-63
- Ilyas S, Ganote C, Lajoie D, et al. Sudden death and isolated right ventricular noncompaction cardiomyopathy: report of 2 autopsied adult cases. Am J Forensic Med Pathol. 2013;34(3):225–227. doi: https://doi.org/10.1097/PAF.0b013e3182a0a46c
- Matsukuma S, Eishi K, Hashizume K, et al. Arrhythmogenic left ventricular cardiomyopathy associated with noncompaction. Ann Thorac Surg. 2010;90(6):2044–2046. doi: https://doi.org/10.1016/j.athoracsur.2010.06.004
- López-Ayala JM, Gómez-Milanés I, Sánchez Muñoz JJ, et al. Desmoplakin truncations and arrhythmogenic left ventricular cardiomyopathy: characterizing a phenotype. Europace. 2014;16(12):1838–1846. doi: https://doi.org/10.1093/europace/euu128
- Finsterer J, Stöllberger C. Role of desmoplakin mutations in the pathogenesis of non-compaction. Europace. 2015;7(2):334. doi: https://doi.org/10.1093/europace/euu266
- Ramond F, Janin A, Di Filippo S. Homozygous PKP2 deletion associated with neonatal left ventricle noncompaction. Clin Genet. 2017;91(1):126–130. doi: https://doi.org/10.1111/cge.12780
- Van Spaendonck-Zwarts KY, van den Berg MP, van Tintelen JP. DNA analysis in inherited cardiomyopathies: current status and clinical relevance. Pacing Clin Electrophysiol. 2008;31(Suppl1):46–49. doi: https://doi.org/10.1111/j.1540-8159.2008.00956.x
Supplementary files














